Stentless balloon angioplasty preserving growth in adolescent congenital focal abdominal aortic coarctation: a case report.

IF 1.5 4区 医学 Q3 CARDIAC & CARDIOVASCULAR SYSTEMS
Siping Peng, Tao Hu
{"title":"Stentless balloon angioplasty preserving growth in adolescent congenital focal abdominal aortic coarctation: a case report.","authors":"Siping Peng, Tao Hu","doi":"10.1186/s13019-025-03499-3","DOIUrl":null,"url":null,"abstract":"<p><strong>Background: </strong>Congenital focal abdominal aortic coarctation (CAAC) is a rare vascular malformation frequently misdiagnosed as mid-aortic syndrome (MAS). A significant challenge in managing CAAC, particularly in young individuals, is addressing the coarctation while accommodating ongoing vascular growth and development. This case highlights the value of multidisciplinary collaboration and imaging-guided stentless balloon angioplasty in preserving vascular growth potential.</p><p><strong>Case presentation: </strong>A 14-year-old male presented with a two-year history of refractory hypertension (peak:190/110mmHg) and exertional dizziness. Thoracoabdominal computed tomography angiography (CTA) revealed a focal coarctation (minimum luminal diameter: 4.2 mm, representing 70% stenosis) extending from the celiac artery origin to the superior mesenteric artery origin, without significant collateralization. Digital subtraction angiography (DSA)-guided balloon angioplasty (10 × 40 mm) resulted in a significant reduction of the transcoarctation pressure gradient from 45mmHg to 8mmHg, achieving normotension (120/80mmHg). At six-month follow-up, a 161% increase in aortic luminal diameter (to 11 mm) was observed, accompanied by complete regression of left ventricular hypertrophy (LVH), as evidenced by a decrease in interventricular septal thickness from 12 mm to 9 mm.</p><p><strong>Conclusions: </strong>Stentless balloon angioplasty is an effective strategy in treating CAAC in adolescents, achieving both immediate hemodynamic relief and facilitating growth-adaptive aortic remodeling. Comprehensive aortic imaging is crucial for the diagnosis and management of refractory hypertension in adolescents.</p>","PeriodicalId":15201,"journal":{"name":"Journal of Cardiothoracic Surgery","volume":"20 1","pages":"258"},"PeriodicalIF":1.5000,"publicationDate":"2025-06-04","publicationTypes":"Journal Article","fieldsOfStudy":null,"isOpenAccess":false,"openAccessPdf":"https://www.ncbi.nlm.nih.gov/pmc/articles/PMC12135217/pdf/","citationCount":"0","resultStr":null,"platform":"Semanticscholar","paperid":null,"PeriodicalName":"Journal of Cardiothoracic Surgery","FirstCategoryId":"3","ListUrlMain":"https://doi.org/10.1186/s13019-025-03499-3","RegionNum":4,"RegionCategory":"医学","ArticlePicture":[],"TitleCN":null,"AbstractTextCN":null,"PMCID":null,"EPubDate":"","PubModel":"","JCR":"Q3","JCRName":"CARDIAC & CARDIOVASCULAR SYSTEMS","Score":null,"Total":0}
引用次数: 0

Abstract

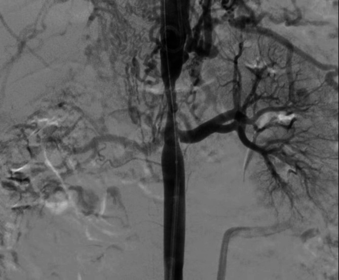
Background: Congenital focal abdominal aortic coarctation (CAAC) is a rare vascular malformation frequently misdiagnosed as mid-aortic syndrome (MAS). A significant challenge in managing CAAC, particularly in young individuals, is addressing the coarctation while accommodating ongoing vascular growth and development. This case highlights the value of multidisciplinary collaboration and imaging-guided stentless balloon angioplasty in preserving vascular growth potential.

Case presentation: A 14-year-old male presented with a two-year history of refractory hypertension (peak:190/110mmHg) and exertional dizziness. Thoracoabdominal computed tomography angiography (CTA) revealed a focal coarctation (minimum luminal diameter: 4.2 mm, representing 70% stenosis) extending from the celiac artery origin to the superior mesenteric artery origin, without significant collateralization. Digital subtraction angiography (DSA)-guided balloon angioplasty (10 × 40 mm) resulted in a significant reduction of the transcoarctation pressure gradient from 45mmHg to 8mmHg, achieving normotension (120/80mmHg). At six-month follow-up, a 161% increase in aortic luminal diameter (to 11 mm) was observed, accompanied by complete regression of left ventricular hypertrophy (LVH), as evidenced by a decrease in interventricular septal thickness from 12 mm to 9 mm.

Conclusions: Stentless balloon angioplasty is an effective strategy in treating CAAC in adolescents, achieving both immediate hemodynamic relief and facilitating growth-adaptive aortic remodeling. Comprehensive aortic imaging is crucial for the diagnosis and management of refractory hypertension in adolescents.

Abstract Image

Abstract Image

Abstract Image

无支架球囊血管成形术保存青少年先天性局灶性腹主动脉缩窄的生长:1例报告。
背景:先天性局灶性腹主动脉缩窄(CAAC)是一种罕见的血管畸形,常被误诊为中主动脉综合征(MAS)。管理CAAC的一个重大挑战,特别是在年轻人中,是在适应血管生长和发育的同时解决缩窄问题。本病例强调了多学科合作和成像引导的无支架球囊血管成形术在保持血管生长潜力方面的价值。病例介绍:一名14岁男性,有2年难治性高血压病史(峰值:190/110mmHg)和运动性头晕。胸腹ct血管造影(CTA)显示局灶性狭窄(最小管腔直径4.2 mm,狭窄70%),从腹腔动脉起源延伸至肠系膜上动脉起源,无明显侧支。数字减影血管造影术(DSA)引导的球囊血管成形术(10 × 40 mm)使血管收缩压力梯度从45mmHg显著降低到8mmHg,达到正常血压(120/80mmHg)。在6个月的随访中,观察到主动脉腔直径增加161%(至11mm),并伴有左室肥厚(LVH)的完全消退,室间隔厚度从12mm降至9mm。结论:无支架球囊血管成形术是治疗青少年CAAC的有效策略,既能立即缓解血流动力学,又能促进生长适应性主动脉重构。全面的主动脉造影对青少年难治性高血压的诊断和治疗至关重要。
本文章由计算机程序翻译,如有差异,请以英文原文为准。
求助全文
约1分钟内获得全文 求助全文
来源期刊
Journal of Cardiothoracic Surgery
Journal of Cardiothoracic Surgery 医学-心血管系统
CiteScore
2.50
自引率
6.20%
发文量
286
审稿时长
4-8 weeks
期刊介绍: Journal of Cardiothoracic Surgery is an open access journal that encompasses all aspects of research in the field of Cardiology, and Cardiothoracic and Vascular Surgery. The journal publishes original scientific research documenting clinical and experimental advances in cardiac, vascular and thoracic surgery, and related fields. Topics of interest include surgical techniques, survival rates, surgical complications and their outcomes; along with basic sciences, pediatric conditions, transplantations and clinical trials. Journal of Cardiothoracic Surgery is of interest to cardiothoracic and vascular surgeons, cardiothoracic anaesthesiologists, cardiologists, chest physicians, and allied health professionals.
×
引用
GB/T 7714-2015
复制
MLA
复制
APA
复制
导出至
BibTeX EndNote RefMan NoteFirst NoteExpress
×
提示
您的信息不完整,为了账户安全,请先补充。
现在去补充
×
提示
您因"违规操作"
具体请查看互助需知
我知道了
×
提示
确定
请完成安全验证×
copy
已复制链接
快去分享给好友吧!
我知道了
右上角分享
点击右上角分享
0
联系我们:info@booksci.cn Book学术提供免费学术资源搜索服务,方便国内外学者检索中英文文献。致力于提供最便捷和优质的服务体验。 Copyright © 2023 布克学术 All rights reserved.
京ICP备2023020795号-1
ghs 京公网安备 11010802042870号
Book学术文献互助
Book学术文献互助群
群 号:604180095
Book学术官方微信