Neurodegeneration, Intracranial Calcifications, Microcephaly and Drug-Resistant Epilepsy Caused by a Novel Homozygous Missense Variant in the NRROS Gene: A Case Report.

IF 0.7 Q3 MEDICINE, GENERAL & INTERNAL
International Medical Case Reports Journal Pub Date : 2025-05-30 eCollection Date: 2025-01-01 DOI:10.2147/IMCRJ.S516299
Mohammed A Al-Omari
{"title":"Neurodegeneration, Intracranial Calcifications, Microcephaly and Drug-Resistant Epilepsy Caused by a Novel Homozygous Missense Variant in the <i>NRROS</i> Gene: A Case Report.","authors":"Mohammed A Al-Omari","doi":"10.2147/IMCRJ.S516299","DOIUrl":null,"url":null,"abstract":"<p><p>Negative regulator of reactive oxygen species (<i>NRROS</i>)-related microgliopathy (MIM# 618875) is a rare autosomal recessive neurodegenerative disorder. This case report describes a Saudi Arabian child with a novel homozygous <i>NRROS</i> variant, NM_198565.2: c.257T>C (p.Leu86Pro) presenting with drug-resistant epilepsy, rapid developmental regression, microcephaly, dystonia, and intracranial calcifications. Neuroimaging revealed bilateral intracranial calcifications, generalized brain volume loss, and connatal cysts; EEG showed a slow, suppressed background with multifocal epileptiform discharges. The variant is predicted to be deleterious by multiple in silico tools, suggesting a pathogenic effect on microglial function. This case underscores the importance of considering <i>NRROS</i>-related microgliopathy in children with early-onset neurodegeneration, drug-resistant epilepsy, and intracranial calcifications, enabling targeted genetic testing, diagnosis, and counseling.</p>","PeriodicalId":14337,"journal":{"name":"International Medical Case Reports Journal","volume":"18 ","pages":"651-655"},"PeriodicalIF":0.7000,"publicationDate":"2025-05-30","publicationTypes":"Journal Article","fieldsOfStudy":null,"isOpenAccess":false,"openAccessPdf":"https://www.ncbi.nlm.nih.gov/pmc/articles/PMC12132063/pdf/","citationCount":"0","resultStr":null,"platform":"Semanticscholar","paperid":null,"PeriodicalName":"International Medical Case Reports Journal","FirstCategoryId":"1085","ListUrlMain":"https://doi.org/10.2147/IMCRJ.S516299","RegionNum":0,"RegionCategory":null,"ArticlePicture":[],"TitleCN":null,"AbstractTextCN":null,"PMCID":null,"EPubDate":"2025/1/1 0:00:00","PubModel":"eCollection","JCR":"Q3","JCRName":"MEDICINE, GENERAL & INTERNAL","Score":null,"Total":0}
引用次数: 0

Abstract

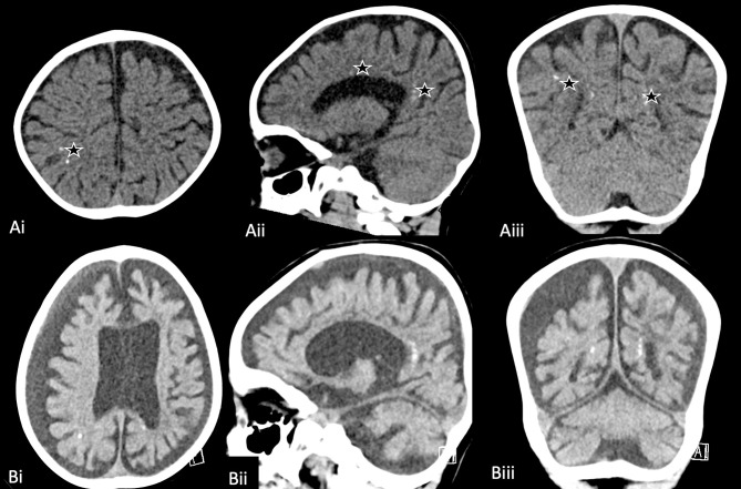
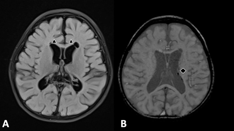
Negative regulator of reactive oxygen species (NRROS)-related microgliopathy (MIM# 618875) is a rare autosomal recessive neurodegenerative disorder. This case report describes a Saudi Arabian child with a novel homozygous NRROS variant, NM_198565.2: c.257T>C (p.Leu86Pro) presenting with drug-resistant epilepsy, rapid developmental regression, microcephaly, dystonia, and intracranial calcifications. Neuroimaging revealed bilateral intracranial calcifications, generalized brain volume loss, and connatal cysts; EEG showed a slow, suppressed background with multifocal epileptiform discharges. The variant is predicted to be deleterious by multiple in silico tools, suggesting a pathogenic effect on microglial function. This case underscores the importance of considering NRROS-related microgliopathy in children with early-onset neurodegeneration, drug-resistant epilepsy, and intracranial calcifications, enabling targeted genetic testing, diagnosis, and counseling.

Abstract Image

Abstract Image

一种新型NRROS基因纯合错义变异引起的神经退行性变、颅内钙化、小头畸形和耐药癫痫一例报告。
负调节活性氧(NRROS)相关的小胶质病(MIM# 618875)是一种罕见的常染色体隐性神经退行性疾病。本病例报告描述了一名患有新型纯合NRROS变异NM_198565.2: C . 257t >C (p.Leu86Pro)的沙特阿拉伯儿童,其表现为耐药癫痫、快速发育倒退、小头畸形、肌痉挛障碍和颅内钙化。神经影像学显示双侧颅内钙化、广泛性脑容量减少和先天性囊肿;脑电图显示缓慢,抑制背景多灶性癫痫样放电。多种计算机工具预测该变异是有害的,表明对小胶质细胞功能有致病作用。该病例强调了在早发性神经退行性变、耐药癫痫和颅内钙化的儿童中考虑nrros相关小胶质病变的重要性,从而实现有针对性的基因检测、诊断和咨询。
本文章由计算机程序翻译,如有差异,请以英文原文为准。
求助全文
约1分钟内获得全文 求助全文
来源期刊
International Medical Case Reports Journal
International Medical Case Reports Journal MEDICINE, GENERAL & INTERNAL-
CiteScore
1.40
自引率
0.00%
发文量
135
审稿时长
16 weeks
期刊介绍: International Medical Case Reports Journal is an international, peer-reviewed, open access, online journal publishing original case reports from all medical specialties. Submissions should not normally exceed 3,000 words or 4 published pages including figures, diagrams and references. As of 1st April 2019, the International Medical Case Reports Journal will no longer consider meta-analyses for publication.
×
引用
GB/T 7714-2015
复制
MLA
复制
APA
复制
导出至
BibTeX EndNote RefMan NoteFirst NoteExpress
×
提示
您的信息不完整,为了账户安全,请先补充。
现在去补充
×
提示
您因"违规操作"
具体请查看互助需知
我知道了
×
提示
确定
请完成安全验证×
copy
已复制链接
快去分享给好友吧!
我知道了
右上角分享
点击右上角分享
0
联系我们:info@booksci.cn Book学术提供免费学术资源搜索服务,方便国内外学者检索中英文文献。致力于提供最便捷和优质的服务体验。 Copyright © 2023 布克学术 All rights reserved.
京ICP备2023020795号-1
ghs 京公网安备 11010802042870号
Book学术文献互助
Book学术文献互助群
群 号:604180095
Book学术官方微信