High-resolution segmentation of the cavum septum pellucidum in young adult human brains.

IF 2.3 4区 医学 Q1 ANATOMY & MORPHOLOGY
Frontiers in Neuroanatomy Pub Date : 2025-05-16 eCollection Date: 2025-01-01 DOI:10.3389/fnana.2025.1566762
Andrew Rios, Achok Alier, Mihir Aneja, Farah Nimeri, Kayla Lavery, Jack Fisher, Rochana Wiyathunge, Marek Kubicki, Edward Yeterian, Sylvain Bouix, Nikos Makris, Hector Arciniega, R Jarrett Rushmore
{"title":"High-resolution segmentation of the cavum septum pellucidum in young adult human brains.","authors":"Andrew Rios, Achok Alier, Mihir Aneja, Farah Nimeri, Kayla Lavery, Jack Fisher, Rochana Wiyathunge, Marek Kubicki, Edward Yeterian, Sylvain Bouix, Nikos Makris, Hector Arciniega, R Jarrett Rushmore","doi":"10.3389/fnana.2025.1566762","DOIUrl":null,"url":null,"abstract":"<p><p>The cavum septum pellucidum (CSP) is a small cerebrospinal fluid-filled space found between the lateral ventricles of the forebrain that is often used as a biomarker for neurological disease and brain injury. The incidence of the CSP varies widely in different studies, with many reports finding that the CSP is frequently absent in healthy brains. Variables such as race, age and sex are typically not well-reported in CSP studies, presenting a challenge to understanding the normal distribution of the CSP in adult human brains. Moreover, the small size and frequently indistinct borders present a challenge for automated segmentation of the CSP. To address these issues, we developed a novel manual parcelation approach to volumetrically segment the CSP in high-resolution T1-weighted structural MRIs from male and female participants in the young adult dataset of the Human Connectome Project (HCP). We identified the CSP in 95.6% of subjects, compared to 57.1% when the automated segmentation approach was used on the same subjects. The CSP volume was significantly larger in male than female brains, both in terms of raw volume and volumes normalized for intracranial volume. To our knowledge, this study is the first to develop and validate a segmentation protocol for CSP volume, and to evaluate both the incidence and volume of the CSP in a representative population of young adults. Overall, these results provide a more accurate representation of the CSP in control populations, laying an improved foundation for its potential use as a biomarker for various disorders.</p>","PeriodicalId":12572,"journal":{"name":"Frontiers in Neuroanatomy","volume":"19 ","pages":"1566762"},"PeriodicalIF":2.3000,"publicationDate":"2025-05-16","publicationTypes":"Journal Article","fieldsOfStudy":null,"isOpenAccess":false,"openAccessPdf":"https://www.ncbi.nlm.nih.gov/pmc/articles/PMC12131514/pdf/","citationCount":"0","resultStr":null,"platform":"Semanticscholar","paperid":null,"PeriodicalName":"Frontiers in Neuroanatomy","FirstCategoryId":"3","ListUrlMain":"https://doi.org/10.3389/fnana.2025.1566762","RegionNum":4,"RegionCategory":"医学","ArticlePicture":[],"TitleCN":null,"AbstractTextCN":null,"PMCID":null,"EPubDate":"2025/1/1 0:00:00","PubModel":"eCollection","JCR":"Q1","JCRName":"ANATOMY & MORPHOLOGY","Score":null,"Total":0}
引用次数: 0

Abstract

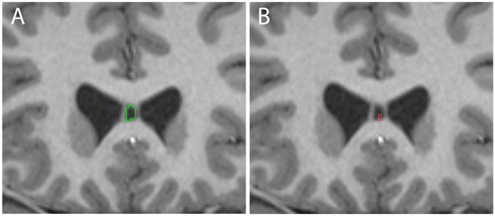
The cavum septum pellucidum (CSP) is a small cerebrospinal fluid-filled space found between the lateral ventricles of the forebrain that is often used as a biomarker for neurological disease and brain injury. The incidence of the CSP varies widely in different studies, with many reports finding that the CSP is frequently absent in healthy brains. Variables such as race, age and sex are typically not well-reported in CSP studies, presenting a challenge to understanding the normal distribution of the CSP in adult human brains. Moreover, the small size and frequently indistinct borders present a challenge for automated segmentation of the CSP. To address these issues, we developed a novel manual parcelation approach to volumetrically segment the CSP in high-resolution T1-weighted structural MRIs from male and female participants in the young adult dataset of the Human Connectome Project (HCP). We identified the CSP in 95.6% of subjects, compared to 57.1% when the automated segmentation approach was used on the same subjects. The CSP volume was significantly larger in male than female brains, both in terms of raw volume and volumes normalized for intracranial volume. To our knowledge, this study is the first to develop and validate a segmentation protocol for CSP volume, and to evaluate both the incidence and volume of the CSP in a representative population of young adults. Overall, these results provide a more accurate representation of the CSP in control populations, laying an improved foundation for its potential use as a biomarker for various disorders.

Abstract Image

Abstract Image

Abstract Image

青年人大脑透明隔腔的高分辨率分割。
透明隔腔(CSP)是在前脑侧脑室之间发现的充满脑脊液的小间隙,常被用作神经系统疾病和脑损伤的生物标志物。在不同的研究中,CSP的发生率差异很大,许多报告发现CSP在健康大脑中经常缺失。种族、年龄和性别等变量在CSP研究中通常没有得到很好的报道,这对理解成人大脑中CSP的正态分布提出了挑战。此外,小尺寸和经常模糊的边界给CSP的自动分割带来了挑战。为了解决这些问题,我们开发了一种新的手动分割方法,在高分辨率t1加权结构mri中对人类连接组计划(HCP)的年轻人数据集中的男性和女性参与者的CSP进行体积分割。我们在95.6%的受试者中识别出了CSP,而在同一受试者中使用自动分割方法时,这一比例为57.1%。无论是原始体积还是颅内体积归一化后的体积,男性的CSP体积都明显大于女性。据我们所知,这项研究首次开发并验证了CSP体积的分割方案,并评估了CSP在年轻人代表性人群中的发病率和体积。总的来说,这些结果提供了对照人群中CSP更准确的代表,为其作为各种疾病的生物标志物的潜在应用奠定了更好的基础。
本文章由计算机程序翻译,如有差异,请以英文原文为准。
求助全文
约1分钟内获得全文 求助全文
来源期刊
Frontiers in Neuroanatomy
Frontiers in Neuroanatomy ANATOMY & MORPHOLOGY-NEUROSCIENCES
CiteScore
4.70
自引率
3.40%
发文量
122
审稿时长
>12 weeks
期刊介绍: Frontiers in Neuroanatomy publishes rigorously peer-reviewed research revealing important aspects of the anatomical organization of all nervous systems across all species. Specialty Chief Editor Javier DeFelipe at the Cajal Institute (CSIC) is supported by an outstanding Editorial Board of international experts. This multidisciplinary open-access journal is at the forefront of disseminating and communicating scientific knowledge and impactful discoveries to researchers, academics, clinicians and the public worldwide.
×
引用
GB/T 7714-2015
复制
MLA
复制
APA
复制
导出至
BibTeX EndNote RefMan NoteFirst NoteExpress
×
提示
您的信息不完整,为了账户安全,请先补充。
现在去补充
×
提示
您因"违规操作"
具体请查看互助需知
我知道了
×
提示
确定
请完成安全验证×
copy
已复制链接
快去分享给好友吧!
我知道了
右上角分享
点击右上角分享
0
联系我们:info@booksci.cn Book学术提供免费学术资源搜索服务,方便国内外学者检索中英文文献。致力于提供最便捷和优质的服务体验。 Copyright © 2023 布克学术 All rights reserved.
京ICP备2023020795号-1
ghs 京公网安备 11010802042870号
Book学术文献互助
Book学术文献互助群
群 号:604180095
Book学术官方微信