Pleomorphic lobular carcinoma in a cat: Clinical, histopathological, and immunohistochemical characterization.

Brazilian journal of veterinary medicine Pub Date : 2025-05-30 eCollection Date: 2025-01-01 DOI:10.29374/2527-2179.bjvm001725
Júlia Gabriela Wronski, Maíra Meira Nunes, Érica Almeida Viscone, Evelyn Ane Oliveira, Mariana da Silva Figueiredo, Geovanni Dantas Cassali, Karen Yumi Ribeiro Nakagaki
{"title":"Pleomorphic lobular carcinoma in a cat: Clinical, histopathological, and immunohistochemical characterization.","authors":"Júlia Gabriela Wronski, Maíra Meira Nunes, Érica Almeida Viscone, Evelyn Ane Oliveira, Mariana da Silva Figueiredo, Geovanni Dantas Cassali, Karen Yumi Ribeiro Nakagaki","doi":"10.29374/2527-2179.bjvm001725","DOIUrl":null,"url":null,"abstract":"<p><p>Mammary carcinomas in cats are highly aggressive neoplasms, often with the development of metastasis. Pleomorphic lobular carcinoma, on the other hand, is an invasive carcinoma with aggressive behavior, rarely diagnosed in humans and dogs. This report describes a case of pleomorphic lobular carcinoma in cats. The histopathological and immunohistochemical features of the neoplasm in this species were characterized. The neoplasm was diagnosed in a 10-year-old cat, with regional lymph node involvement at the time of diagnosis, but without systemic signs based on imaging tests performed prior to mastectomy. However, respiratory clinical signs developed approximately 40 days after surgery, accompanied by neoplastic pleural effusion, and the patient was euthanized due to the onset of neurological signs and poor prognosis. Although uncommon, pleomorphic lobular carcinoma is a neoplasm that can affect cats, and given its poor prognosis, it is important for oncologists and pathologists to be familiar with this entity.</p>","PeriodicalId":72458,"journal":{"name":"Brazilian journal of veterinary medicine","volume":"47 ","pages":"e001725"},"PeriodicalIF":0.0000,"publicationDate":"2025-05-30","publicationTypes":"Journal Article","fieldsOfStudy":null,"isOpenAccess":false,"openAccessPdf":"https://www.ncbi.nlm.nih.gov/pmc/articles/PMC12129236/pdf/","citationCount":"0","resultStr":null,"platform":"Semanticscholar","paperid":null,"PeriodicalName":"Brazilian journal of veterinary medicine","FirstCategoryId":"1085","ListUrlMain":"https://doi.org/10.29374/2527-2179.bjvm001725","RegionNum":0,"RegionCategory":null,"ArticlePicture":[],"TitleCN":null,"AbstractTextCN":null,"PMCID":null,"EPubDate":"2025/1/1 0:00:00","PubModel":"eCollection","JCR":"","JCRName":"","Score":null,"Total":0}
引用次数: 0

Abstract

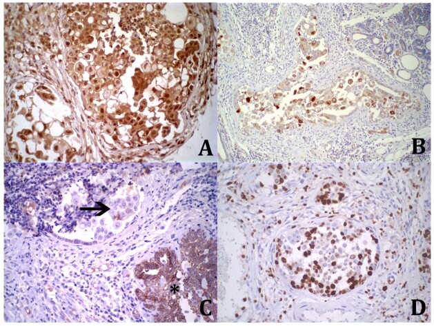
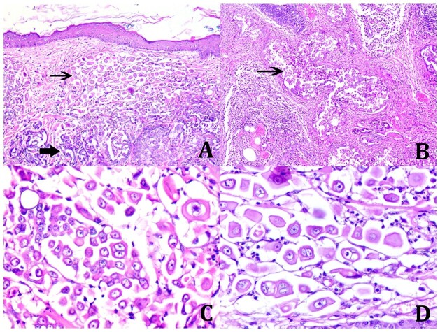
Mammary carcinomas in cats are highly aggressive neoplasms, often with the development of metastasis. Pleomorphic lobular carcinoma, on the other hand, is an invasive carcinoma with aggressive behavior, rarely diagnosed in humans and dogs. This report describes a case of pleomorphic lobular carcinoma in cats. The histopathological and immunohistochemical features of the neoplasm in this species were characterized. The neoplasm was diagnosed in a 10-year-old cat, with regional lymph node involvement at the time of diagnosis, but without systemic signs based on imaging tests performed prior to mastectomy. However, respiratory clinical signs developed approximately 40 days after surgery, accompanied by neoplastic pleural effusion, and the patient was euthanized due to the onset of neurological signs and poor prognosis. Although uncommon, pleomorphic lobular carcinoma is a neoplasm that can affect cats, and given its poor prognosis, it is important for oncologists and pathologists to be familiar with this entity.

Abstract Image

Abstract Image

猫多形性小叶癌:临床、组织病理学和免疫组织化学特征。
猫的乳腺癌是高度侵袭性的肿瘤,经常伴有转移的发展。另一方面,多形性小叶癌是一种具有侵袭性行为的浸润性癌,很少在人类和狗身上被诊断出来。本文报告一例猫多形性小叶癌。研究了该物种肿瘤的组织病理学和免疫组织化学特征。该肿瘤是在一只10岁的猫身上被诊断出来的,诊断时伴有局部淋巴结受累,但根据乳房切除术前的影像学检查,没有全身体征。然而,手术后约40天出现呼吸系统临床症状,并伴有肿瘤性胸腔积液,患者因神经系统症状和预后不良而被安乐死。虽然不常见,但多形性小叶癌是一种可以影响猫的肿瘤,鉴于其预后不良,肿瘤学家和病理学家熟悉这种肿瘤是很重要的。
本文章由计算机程序翻译,如有差异,请以英文原文为准。
求助全文
约1分钟内获得全文 求助全文
来源期刊
自引率
0.00%
发文量
0
×
引用
GB/T 7714-2015
复制
MLA
复制
APA
复制
导出至
BibTeX EndNote RefMan NoteFirst NoteExpress
×
提示
您的信息不完整,为了账户安全,请先补充。
现在去补充
×
提示
您因"违规操作"
具体请查看互助需知
我知道了
×
提示
确定
请完成安全验证×
copy
已复制链接
快去分享给好友吧!
我知道了
右上角分享
点击右上角分享
0
联系我们:info@booksci.cn Book学术提供免费学术资源搜索服务,方便国内外学者检索中英文文献。致力于提供最便捷和优质的服务体验。 Copyright © 2023 布克学术 All rights reserved.
京ICP备2023020795号-1
ghs 京公网安备 11010802042870号
Book学术文献互助
Book学术文献互助群
群 号:604180095
Book学术官方微信