Role of Lymphoscintigraphy in Repeat Sentinel Lymph Node Biopsy for cN0 Ipsilateral Breast Cancer Recurrence.

IF 1.1 Q4 RADIOLOGY, NUCLEAR MEDICINE & MEDICAL IMAGING
Burak Dinçer, Duygu Has Şimşek, Selman Emiroğlu, Mustafa Tükenmez, Mahmut Müslümanoğlu, Neslihan Cabıoğlu
{"title":"Role of Lymphoscintigraphy in Repeat Sentinel Lymph Node Biopsy for cN0 Ipsilateral Breast Cancer Recurrence.","authors":"Burak Dinçer, Duygu Has Şimşek, Selman Emiroğlu, Mustafa Tükenmez, Mahmut Müslümanoğlu, Neslihan Cabıoğlu","doi":"10.4274/mirt.galenos.2025.15932","DOIUrl":null,"url":null,"abstract":"<p><strong>Objectives: </strong>In patients with ipsilateral breast tumor recurrence (IBTR), lymphatic drainage may be altered due to factors such as prior axillary surgery and radiotherapy, thereby increasing the likelihood of sentinel lymph nodes (SLNs) in atypical locations. This study aimed to evaluate patients who underwent surgery for IBTR with lymphoscintigraphy for repeat SLN biopsy (re-SLNB), and to investigate the role of lymphoscintigraphy in re-SLNB in this patient group.</p><p><strong>Methods: </strong>Patients diagnosed with IBTR who were evaluated using preoperative lymphoscintigraphy and subsequently underwent surgery were included in the study. Patients with systemic or nodal metastases, as well as those who did not undergo lymphoscintigraphy, were excluded. Demographic, clinical, and pathological data of the included patients were analyzed.</p><p><strong>Results: </strong>A total of 16 patients were evaluated, with a median age of 56 years (range 30-73), all of whom were female. Lymphoscintigraphy successfully localized the SLN in 81.3% of the patients. In eight patients, the SLN was located in the ipsilateral axilla, while in five patients, it was found in the contralateral axilla. Axillary lymph node dissection (ALND) was performed in three patients (all in the contralateral axilla) due to metastatic involvement in the SLN. ALND during first surgery was associated with an increased likelihood of SLN detection in the contralateral axilla or Re-SLNB failure (p=0.043).</p><p><strong>Conclusion: </strong>In patients undergoing surgery for IBTR, the likelihood of the SLN being in atypical locations is high. Lymphoscintigraphy may enhance the success of Re--SLNB in this patient group.</p>","PeriodicalId":44681,"journal":{"name":"Molecular Imaging and Radionuclide Therapy","volume":"34 2","pages":"122-128"},"PeriodicalIF":1.1000,"publicationDate":"2025-06-03","publicationTypes":"Journal Article","fieldsOfStudy":null,"isOpenAccess":false,"openAccessPdf":"https://www.ncbi.nlm.nih.gov/pmc/articles/PMC12134969/pdf/","citationCount":"0","resultStr":null,"platform":"Semanticscholar","paperid":null,"PeriodicalName":"Molecular Imaging and Radionuclide Therapy","FirstCategoryId":"1085","ListUrlMain":"https://doi.org/10.4274/mirt.galenos.2025.15932","RegionNum":0,"RegionCategory":null,"ArticlePicture":[],"TitleCN":null,"AbstractTextCN":null,"PMCID":null,"EPubDate":"","PubModel":"","JCR":"Q4","JCRName":"RADIOLOGY, NUCLEAR MEDICINE & MEDICAL IMAGING","Score":null,"Total":0}
引用次数: 0

Abstract

Objectives: In patients with ipsilateral breast tumor recurrence (IBTR), lymphatic drainage may be altered due to factors such as prior axillary surgery and radiotherapy, thereby increasing the likelihood of sentinel lymph nodes (SLNs) in atypical locations. This study aimed to evaluate patients who underwent surgery for IBTR with lymphoscintigraphy for repeat SLN biopsy (re-SLNB), and to investigate the role of lymphoscintigraphy in re-SLNB in this patient group.

Methods: Patients diagnosed with IBTR who were evaluated using preoperative lymphoscintigraphy and subsequently underwent surgery were included in the study. Patients with systemic or nodal metastases, as well as those who did not undergo lymphoscintigraphy, were excluded. Demographic, clinical, and pathological data of the included patients were analyzed.

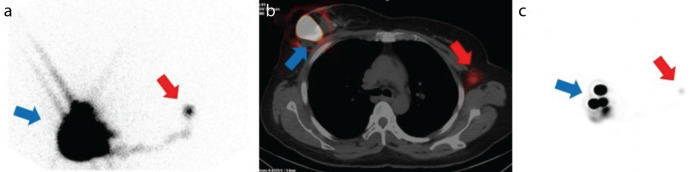
Results: A total of 16 patients were evaluated, with a median age of 56 years (range 30-73), all of whom were female. Lymphoscintigraphy successfully localized the SLN in 81.3% of the patients. In eight patients, the SLN was located in the ipsilateral axilla, while in five patients, it was found in the contralateral axilla. Axillary lymph node dissection (ALND) was performed in three patients (all in the contralateral axilla) due to metastatic involvement in the SLN. ALND during first surgery was associated with an increased likelihood of SLN detection in the contralateral axilla or Re-SLNB failure (p=0.043).

Conclusion: In patients undergoing surgery for IBTR, the likelihood of the SLN being in atypical locations is high. Lymphoscintigraphy may enhance the success of Re--SLNB in this patient group.

Abstract Image

Abstract Image

Abstract Image

淋巴显像在同侧乳腺癌复发重复前哨淋巴结活检中的作用。
目的:在同侧乳腺肿瘤复发(IBTR)患者中,由于既往腋窝手术和放疗等因素,淋巴引流可能发生改变,从而增加前哨淋巴结(sln)位于非典型部位的可能性。本研究旨在评估接受IBTR手术的患者进行淋巴显像重复SLN活检(re-SLNB),并探讨淋巴显像在该患者组中进行re-SLNB的作用。方法:研究纳入了术前淋巴显像检查诊断为IBTR并随后进行手术的患者。系统性或淋巴结转移患者以及未接受淋巴显像检查的患者被排除在外。对纳入患者的人口学、临床和病理资料进行分析。结果:共评估16例患者,中位年龄56岁(30-73岁),均为女性。81.3%的患者淋巴显像成功地定位了淋巴结转移。在8例患者中,SLN位于同侧腋窝,而在5例患者中,它位于对侧腋窝。腋窝淋巴结清扫术(ALND)在三个病人(所有在对侧腋窝)由于转移累及的SLN。首次手术时ALND与对侧腋窝SLN检测或Re-SLNB失败的可能性增加相关(p=0.043)。结论:在接受手术治疗的IBTR患者中,SLN位于非典型部位的可能性很高。淋巴显像可能会提高Re- SLNB在该患者组中的成功率。
本文章由计算机程序翻译,如有差异,请以英文原文为准。
求助全文
约1分钟内获得全文 求助全文
来源期刊
Molecular Imaging and Radionuclide Therapy
Molecular Imaging and Radionuclide Therapy RADIOLOGY, NUCLEAR MEDICINE & MEDICAL IMAGING-
CiteScore
1.30
自引率
0.00%
发文量
50
期刊介绍: Molecular Imaging and Radionuclide Therapy (Mol Imaging Radionucl Ther, MIRT) is publishes original research articles, invited reviews, editorials, short communications, letters, consensus statements, guidelines and case reports with a literature review on the topic, in the field of molecular imaging, multimodality imaging, nuclear medicine, radionuclide therapy, radiopharmacy, medical physics, dosimetry and radiobiology.
×
引用
GB/T 7714-2015
复制
MLA
复制
APA
复制
导出至
BibTeX EndNote RefMan NoteFirst NoteExpress
×
提示
您的信息不完整,为了账户安全,请先补充。
现在去补充
×
提示
您因"违规操作"
具体请查看互助需知
我知道了
×
提示
确定
请完成安全验证×
copy
已复制链接
快去分享给好友吧!
我知道了
右上角分享
点击右上角分享
0
联系我们:info@booksci.cn Book学术提供免费学术资源搜索服务,方便国内外学者检索中英文文献。致力于提供最便捷和优质的服务体验。 Copyright © 2023 布克学术 All rights reserved.
京ICP备2023020795号-1
ghs 京公网安备 11010802042870号
Book学术文献互助
Book学术文献互助群
群 号:604180095
Book学术官方微信