Comparison of 68Ga-FAPI-04 and 68Ga-PSMA in a Case of Interstitial Lung Disease.

IF 1.1 Q4 RADIOLOGY, NUCLEAR MEDICINE & MEDICAL IMAGING
Hasan Önner, Abidin Kılınçer
{"title":"Comparison of <sup>68</sup>Ga-FAPI-04 and <sup>68</sup>Ga-PSMA in a Case of Interstitial Lung Disease.","authors":"Hasan Önner, Abidin Kılınçer","doi":"10.4274/mirt.galenos.2024.93270","DOIUrl":null,"url":null,"abstract":"<p><p>We present the <sup>68</sup>Ga-prostate-specific membrane antigen (PSMA) and <sup>68</sup>Ga-fibroblast activation protein inhibitor (FAPI)-04 positron emission tomography/computed tomography (PET/CT) findings comparatively of a 76-year-old man with a history of progressive dyspnea and evidence of interstitial lung disease (ILD) abnormalities on high-resolution CT. Moderate PSMA uptake was observed in areas with ILD abnormalities on <sup>68</sup>Ga-PSMA PET/CT. <sup>68</sup>Ga-FAPI-04 PET/CT showed relatively higher FAPI-04 uptake in these regions. These findings offer the potential to assess disease activity at the cellular and molecular levels. This approach may provide valuable insight into the pathophysiology of ILD beyond the structural changes captured by traditional imaging methods.</p>","PeriodicalId":44681,"journal":{"name":"Molecular Imaging and Radionuclide Therapy","volume":"34 2","pages":"129-131"},"PeriodicalIF":1.1000,"publicationDate":"2025-06-03","publicationTypes":"Journal Article","fieldsOfStudy":null,"isOpenAccess":false,"openAccessPdf":"https://www.ncbi.nlm.nih.gov/pmc/articles/PMC12134950/pdf/","citationCount":"0","resultStr":null,"platform":"Semanticscholar","paperid":null,"PeriodicalName":"Molecular Imaging and Radionuclide Therapy","FirstCategoryId":"1085","ListUrlMain":"https://doi.org/10.4274/mirt.galenos.2024.93270","RegionNum":0,"RegionCategory":null,"ArticlePicture":[],"TitleCN":null,"AbstractTextCN":null,"PMCID":null,"EPubDate":"","PubModel":"","JCR":"Q4","JCRName":"RADIOLOGY, NUCLEAR MEDICINE & MEDICAL IMAGING","Score":null,"Total":0}
引用次数: 0

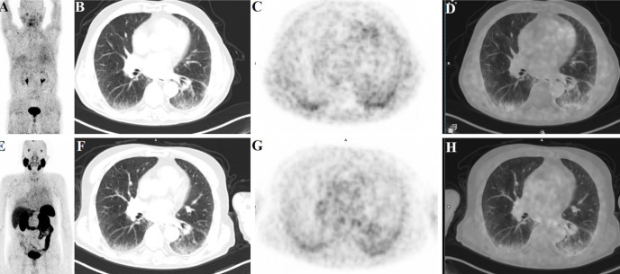
Abstract

We present the 68Ga-prostate-specific membrane antigen (PSMA) and 68Ga-fibroblast activation protein inhibitor (FAPI)-04 positron emission tomography/computed tomography (PET/CT) findings comparatively of a 76-year-old man with a history of progressive dyspnea and evidence of interstitial lung disease (ILD) abnormalities on high-resolution CT. Moderate PSMA uptake was observed in areas with ILD abnormalities on 68Ga-PSMA PET/CT. 68Ga-FAPI-04 PET/CT showed relatively higher FAPI-04 uptake in these regions. These findings offer the potential to assess disease activity at the cellular and molecular levels. This approach may provide valuable insight into the pathophysiology of ILD beyond the structural changes captured by traditional imaging methods.

Abstract Image

68Ga-FAPI-04与68Ga-PSMA在间质性肺疾病中的比较
我们报告了一位76岁男性患者的68ga -前列腺特异性膜抗原(PSMA)和68ga -成纤维细胞活化蛋白抑制剂(FAPI)-04正电子发射断层扫描/计算机断层扫描(PET/CT)的结果,该患者有进行性呼吸困难史,并有间质性肺疾病(ILD)异常的证据。68Ga-PSMA PET/CT在ILD异常区域观察到中度PSMA摄取。68Ga-FAPI-04 PET/CT显示这些区域的FAPI-04摄取相对较高。这些发现提供了在细胞和分子水平上评估疾病活动的潜力。这种方法可以为ILD的病理生理学提供有价值的见解,超越传统成像方法所捕获的结构变化。
本文章由计算机程序翻译,如有差异,请以英文原文为准。
求助全文
约1分钟内获得全文 求助全文
来源期刊
Molecular Imaging and Radionuclide Therapy
Molecular Imaging and Radionuclide Therapy RADIOLOGY, NUCLEAR MEDICINE & MEDICAL IMAGING-
CiteScore
1.30
自引率
0.00%
发文量
50
期刊介绍: Molecular Imaging and Radionuclide Therapy (Mol Imaging Radionucl Ther, MIRT) is publishes original research articles, invited reviews, editorials, short communications, letters, consensus statements, guidelines and case reports with a literature review on the topic, in the field of molecular imaging, multimodality imaging, nuclear medicine, radionuclide therapy, radiopharmacy, medical physics, dosimetry and radiobiology.
×
引用
GB/T 7714-2015
复制
MLA
复制
APA
复制
导出至
BibTeX EndNote RefMan NoteFirst NoteExpress
×
提示
您的信息不完整,为了账户安全,请先补充。
现在去补充
×
提示
您因"违规操作"
具体请查看互助需知
我知道了
×
提示
确定
请完成安全验证×
copy
已复制链接
快去分享给好友吧!
我知道了
右上角分享
点击右上角分享
0
联系我们:info@booksci.cn Book学术提供免费学术资源搜索服务,方便国内外学者检索中英文文献。致力于提供最便捷和优质的服务体验。 Copyright © 2023 布克学术 All rights reserved.
京ICP备2023020795号-1
ghs 京公网安备 11010802042870号
Book学术文献互助
Book学术文献互助群
群 号:604180095
Book学术官方微信