Cancer Integrin Imaging with [68Ga]Ga-Trivehexin PET/CT for a Patient with Breast Cancer and Neuroendocrine Neoplasm: A Case of Both (18F)FDG PET/CT and [68Ga]Ga-DOTATATE Positive but Integrin αvβ6 Negative Lesion on [68Ga]Ga-Trivehexin PET.

IF 1.1 Q4 RADIOLOGY, NUCLEAR MEDICINE & MEDICAL IMAGING
Gamze Beydağı, Nalan Alan Selçuk, Kaan Akçay, Onur Yaprak, Murat Kalaycı, Levent Kabasakal
{"title":"Cancer Integrin Imaging with [<sup>68</sup>Ga]Ga-Trivehexin PET/CT for a Patient with Breast Cancer and Neuroendocrine Neoplasm: A Case of Both (<sup>18</sup>F)FDG PET/CT and [<sup>68</sup>Ga]Ga-DOTATATE Positive but Integrin αvβ6 Negative Lesion on [<sup>68</sup>Ga]Ga-Trivehexin PET.","authors":"Gamze Beydağı, Nalan Alan Selçuk, Kaan Akçay, Onur Yaprak, Murat Kalaycı, Levent Kabasakal","doi":"10.4274/mirt.galenos.2024.60320","DOIUrl":null,"url":null,"abstract":"<p><p>Integrins play crucial roles in the migration of tumor cells during angiogenesis and metastasis. Consequently, αvβ6-integrin-targeted positron emission tomography (PET) radiopharmaceuticals have been developed and tested in humans, with clinical trials highlighting their applications in idiopathic pulmonary fibrosis and carcinomas. However, data on integrins are limited, and the role of [<sup>68</sup>Ga]Ga-Trivehexin tomography/computed tomography (CT) PET/CT is not well-established. Some studies have suggested that [<sup>68</sup>Ga]Ga-Trivehexin PET/CT is more specific than <sup>18</sup>F-fluorodeoxyglucose (<sup>18</sup>F-FDG) PET/CT, which can yield false-positive results. It has been shown to be more efficient in evaluating pancreatic lesions and head and neck tumors. The role of [<sup>68</sup>Ga]Ga Trivehexin PET/CT in neuroendocrine tumors is not yet clearly defined. In our case, integrin was negative in the pancreatic neuroendocrine tumor but positive in the breast lobular tumor. Additionally, we observed that the lobular carcinoma lesion in the right breast is somatostatin receptor+positive on [<sup>68</sup>Ga]Ga-DOTATATE PET/CT.</p>","PeriodicalId":44681,"journal":{"name":"Molecular Imaging and Radionuclide Therapy","volume":"34 2","pages":"143-145"},"PeriodicalIF":1.1000,"publicationDate":"2025-06-03","publicationTypes":"Journal Article","fieldsOfStudy":null,"isOpenAccess":false,"openAccessPdf":"https://www.ncbi.nlm.nih.gov/pmc/articles/PMC12134958/pdf/","citationCount":"0","resultStr":null,"platform":"Semanticscholar","paperid":null,"PeriodicalName":"Molecular Imaging and Radionuclide Therapy","FirstCategoryId":"1085","ListUrlMain":"https://doi.org/10.4274/mirt.galenos.2024.60320","RegionNum":0,"RegionCategory":null,"ArticlePicture":[],"TitleCN":null,"AbstractTextCN":null,"PMCID":null,"EPubDate":"","PubModel":"","JCR":"Q4","JCRName":"RADIOLOGY, NUCLEAR MEDICINE & MEDICAL IMAGING","Score":null,"Total":0}
引用次数: 0

Abstract

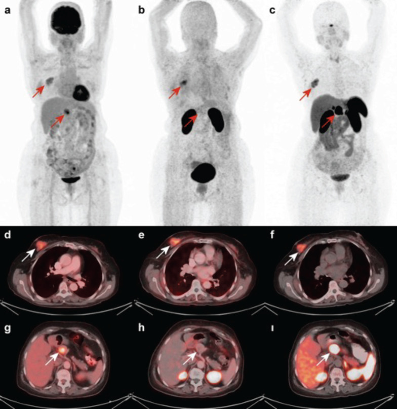
Integrins play crucial roles in the migration of tumor cells during angiogenesis and metastasis. Consequently, αvβ6-integrin-targeted positron emission tomography (PET) radiopharmaceuticals have been developed and tested in humans, with clinical trials highlighting their applications in idiopathic pulmonary fibrosis and carcinomas. However, data on integrins are limited, and the role of [68Ga]Ga-Trivehexin tomography/computed tomography (CT) PET/CT is not well-established. Some studies have suggested that [68Ga]Ga-Trivehexin PET/CT is more specific than 18F-fluorodeoxyglucose (18F-FDG) PET/CT, which can yield false-positive results. It has been shown to be more efficient in evaluating pancreatic lesions and head and neck tumors. The role of [68Ga]Ga Trivehexin PET/CT in neuroendocrine tumors is not yet clearly defined. In our case, integrin was negative in the pancreatic neuroendocrine tumor but positive in the breast lobular tumor. Additionally, we observed that the lobular carcinoma lesion in the right breast is somatostatin receptor+positive on [68Ga]Ga-DOTATATE PET/CT.

Abstract Image

[68Ga]Ga-Trivehexin PET/CT对乳腺癌合并神经内分泌肿瘤的肿瘤整合素成像:(18F)FDG PET/CT和[68Ga]Ga-DOTATATE阳性而整合素αvβ6阴性病变1例[68Ga]Ga-Trivehexin PET
整合素在肿瘤细胞血管生成和转移过程中的迁移中起着至关重要的作用。因此,αvβ6-整合素靶向的正电子发射断层扫描(PET)放射性药物已经被开发出来并在人体中进行了测试,临床试验突出了它们在特发性肺纤维化和癌症中的应用。然而,关于整合素的数据有限,[68Ga]Ga-Trivehexin断层扫描/计算机断层扫描(CT) PET/CT的作用尚未确定。有研究认为[68Ga]Ga-Trivehexin PET/CT比18F-fluorodeoxyglucose (18F-FDG) PET/CT特异性更高,可能产生假阳性结果。它已被证明是更有效的评估胰腺病变和头颈部肿瘤。[68Ga]Ga Trivehexin PET/CT在神经内分泌肿瘤中的作用尚未明确。在我们的病例中,整合素在胰腺神经内分泌肿瘤中呈阴性,而在乳腺小叶肿瘤中呈阳性。此外,我们观察到右乳腺小叶癌病变在[68Ga]Ga-DOTATATE PET/CT上呈生长抑素受体阳性。
本文章由计算机程序翻译,如有差异,请以英文原文为准。
求助全文
约1分钟内获得全文 求助全文
来源期刊
Molecular Imaging and Radionuclide Therapy
Molecular Imaging and Radionuclide Therapy RADIOLOGY, NUCLEAR MEDICINE & MEDICAL IMAGING-
CiteScore
1.30
自引率
0.00%
发文量
50
期刊介绍: Molecular Imaging and Radionuclide Therapy (Mol Imaging Radionucl Ther, MIRT) is publishes original research articles, invited reviews, editorials, short communications, letters, consensus statements, guidelines and case reports with a literature review on the topic, in the field of molecular imaging, multimodality imaging, nuclear medicine, radionuclide therapy, radiopharmacy, medical physics, dosimetry and radiobiology.
×
引用
GB/T 7714-2015
复制
MLA
复制
APA
复制
导出至
BibTeX EndNote RefMan NoteFirst NoteExpress
×
提示
您的信息不完整,为了账户安全,请先补充。
现在去补充
×
提示
您因"违规操作"
具体请查看互助需知
我知道了
×
提示
确定
请完成安全验证×
copy
已复制链接
快去分享给好友吧!
我知道了
右上角分享
点击右上角分享
0
联系我们:info@booksci.cn Book学术提供免费学术资源搜索服务,方便国内外学者检索中英文文献。致力于提供最便捷和优质的服务体验。 Copyright © 2023 布克学术 All rights reserved.
京ICP备2023020795号-1
ghs 京公网安备 11010802042870号
Book学术文献互助
Book学术文献互助群
群 号:604180095
Book学术官方微信