Penile Metastasis as the Presenting Symptom of Colorectal Carcinoma: A Rare Case Report.

Case Reports in Urology Pub Date : 2025-05-26 eCollection Date: 2025-01-01 DOI:10.1155/criu/8856762
Mann Patel, Alain Kaldany, Farida Tanko, Andrew Parrott, Thomas L Jang
{"title":"Penile Metastasis as the Presenting Symptom of Colorectal Carcinoma: A Rare Case Report.","authors":"Mann Patel, Alain Kaldany, Farida Tanko, Andrew Parrott, Thomas L Jang","doi":"10.1155/criu/8856762","DOIUrl":null,"url":null,"abstract":"<p><p><b>Background:</b> Secondary penile cancer, despite the region's rich vascularization, is a rare phenomenon with only around 500 cases ever reported, typically of genitourinary origin and in even rarer cases, of colorectal adenocarcinoma. Unfortunately, the underlying mechanisms are not well elucidated, and prognosis remains poor with a late onset and median overall survival of 9 months for colon adenocarcinoma. Secondary penile cancer often presents alongside concurrent metastases months or years following successful treatment of the primary tumor. However, we report a case of an isolated penile metastasis as the presenting symptom of colon adenocarcinoma with no identifiable primary lesion or history of malignancy. <b>Case Summary:</b> A 67-year-old African-American male presented with a 1-month history of voiding symptoms, whereupon follow-up revealed a penile mass near the left base of the penis. Postoperative histopathological, immunohistochemical, and genomic analyses revealed characteristics of invasive and metastatic colorectal adenocarcinoma. Initial diagnostic testing revealed elevations in serum tumor markers CA 19-9 and carcinoembryonic antigen, while whole body PET/CT scan and colonoscopy failed to identify any tumorigenic lesions or primary colorectal malignancy. Although hypermetabolic activity was noted near the base of the penis and bilateral inguinal lymph nodes, the patient is currently on chemotherapy with a modified FOLFOX-6 regimen with active surveillance and no adverse effects. <b>Conclusion:</b> Here, we report a rare case of isolated penile metastasis as the first presentation of colon adenocarcinoma with no primary lesion. Regardless of origin, secondary penile cancer is a rare phenomenon with a poor prognosis. While the exact mechanism of spread is uncertain, the most probable mode of dissemination is through venous networks. There is also no standard of treatment relying on surgical, therapeutic, and palliative management. Although unclear, our unique presentation may portend a more favorable prognosis with continued treatment and observation.</p>","PeriodicalId":30323,"journal":{"name":"Case Reports in Urology","volume":"2025 ","pages":"8856762"},"PeriodicalIF":0.0000,"publicationDate":"2025-05-26","publicationTypes":"Journal Article","fieldsOfStudy":null,"isOpenAccess":false,"openAccessPdf":"https://www.ncbi.nlm.nih.gov/pmc/articles/PMC12129613/pdf/","citationCount":"0","resultStr":null,"platform":"Semanticscholar","paperid":null,"PeriodicalName":"Case Reports in Urology","FirstCategoryId":"1085","ListUrlMain":"https://doi.org/10.1155/criu/8856762","RegionNum":0,"RegionCategory":null,"ArticlePicture":[],"TitleCN":null,"AbstractTextCN":null,"PMCID":null,"EPubDate":"2025/1/1 0:00:00","PubModel":"eCollection","JCR":"","JCRName":"","Score":null,"Total":0}
引用次数: 0

Abstract

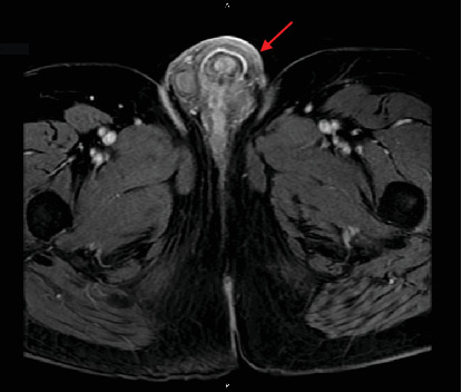
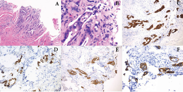
Background: Secondary penile cancer, despite the region's rich vascularization, is a rare phenomenon with only around 500 cases ever reported, typically of genitourinary origin and in even rarer cases, of colorectal adenocarcinoma. Unfortunately, the underlying mechanisms are not well elucidated, and prognosis remains poor with a late onset and median overall survival of 9 months for colon adenocarcinoma. Secondary penile cancer often presents alongside concurrent metastases months or years following successful treatment of the primary tumor. However, we report a case of an isolated penile metastasis as the presenting symptom of colon adenocarcinoma with no identifiable primary lesion or history of malignancy. Case Summary: A 67-year-old African-American male presented with a 1-month history of voiding symptoms, whereupon follow-up revealed a penile mass near the left base of the penis. Postoperative histopathological, immunohistochemical, and genomic analyses revealed characteristics of invasive and metastatic colorectal adenocarcinoma. Initial diagnostic testing revealed elevations in serum tumor markers CA 19-9 and carcinoembryonic antigen, while whole body PET/CT scan and colonoscopy failed to identify any tumorigenic lesions or primary colorectal malignancy. Although hypermetabolic activity was noted near the base of the penis and bilateral inguinal lymph nodes, the patient is currently on chemotherapy with a modified FOLFOX-6 regimen with active surveillance and no adverse effects. Conclusion: Here, we report a rare case of isolated penile metastasis as the first presentation of colon adenocarcinoma with no primary lesion. Regardless of origin, secondary penile cancer is a rare phenomenon with a poor prognosis. While the exact mechanism of spread is uncertain, the most probable mode of dissemination is through venous networks. There is also no standard of treatment relying on surgical, therapeutic, and palliative management. Although unclear, our unique presentation may portend a more favorable prognosis with continued treatment and observation.

Abstract Image

Abstract Image

阴茎转移为结直肠癌的主要症状:一罕见病例报告。
背景:继发性阴茎癌,尽管该地区血管丰富,是一种罕见的现象,只有大约500例报道,通常起源于泌尿生殖系统,在更罕见的情况下,结直肠腺癌。不幸的是,潜在的机制尚未很好地阐明,预后仍然很差,结肠腺癌的发病晚,中位总生存期为9个月。继发性阴茎癌通常在原发肿瘤成功治疗数月或数年后出现并发转移。然而,我们报告一例孤立的阴茎转移作为结肠癌的主要症状,没有可识别的原发病变或恶性肿瘤史。病例总结:67岁非裔美国男性,有1个月的排尿症状,随访发现阴茎左基部附近有阴茎肿块。术后组织病理学、免疫组织化学和基因组分析显示了侵袭性和转移性结直肠癌的特征。最初的诊断测试显示血清肿瘤标志物CA 19-9和癌胚抗原升高,而全身PET/CT扫描和结肠镜检查未能发现任何致瘤性病变或原发性结直肠恶性肿瘤。虽然在阴茎底部和双侧腹股沟淋巴结附近发现了高代谢活动,但患者目前正在接受改进的FOLFOX-6方案的化疗,并进行积极监测,无不良反应。结论:在此,我们报告一例罕见的孤立性阴茎转移为结肠癌的第一个表现,没有原发病变。不论起源,继发性阴茎癌是一种罕见的现象,预后较差。虽然传播的确切机制尚不确定,但最可能的传播方式是通过静脉网络。也没有标准的治疗依赖于手术,治疗和姑息管理。虽然尚不清楚,但我们独特的表现可能预示着继续治疗和观察的预后更有利。
本文章由计算机程序翻译,如有差异,请以英文原文为准。
求助全文
约1分钟内获得全文 求助全文
来源期刊
自引率
0.00%
发文量
28
审稿时长
13 weeks
×
引用
GB/T 7714-2015
复制
MLA
复制
APA
复制
导出至
BibTeX EndNote RefMan NoteFirst NoteExpress
×
提示
您的信息不完整,为了账户安全,请先补充。
现在去补充
×
提示
您因"违规操作"
具体请查看互助需知
我知道了
×
提示
确定
请完成安全验证×
copy
已复制链接
快去分享给好友吧!
我知道了
右上角分享
点击右上角分享
0
联系我们:info@booksci.cn Book学术提供免费学术资源搜索服务,方便国内外学者检索中英文文献。致力于提供最便捷和优质的服务体验。 Copyright © 2023 布克学术 All rights reserved.
京ICP备2023020795号-1
ghs 京公网安备 11010802042870号
Book学术文献互助
Book学术文献互助群
群 号:604180095
Book学术官方微信