Post-Operative Endophthalmitis following Routine Photorefractive Keratectomy.

IF 0.6 Q4 OPHTHALMOLOGY
Case Reports in Ophthalmology Pub Date : 2025-04-29 eCollection Date: 2025-01-01 DOI:10.1159/000546142
Barry Power, Michael Wang, Alexandra Z Crawford, Shanu Subbiah
{"title":"Post-Operative Endophthalmitis following Routine Photorefractive Keratectomy.","authors":"Barry Power, Michael Wang, Alexandra Z Crawford, Shanu Subbiah","doi":"10.1159/000546142","DOIUrl":null,"url":null,"abstract":"<p><strong>Introduction: </strong>Endophthalmitis is an exceptionally rare but devastating complication following laser corneal refractive surgery.</p><p><strong>Case presentation: </strong>We present a case of <i>Pseudomonas aeruginosa</i> endophthalmitis following routine myopic photorefractive keratectomy with mitomycin C application. The patient was referred to a tertiary ophthalmic service with severe post-operative infectious keratitis following initial management at another centre and was treated with intensive fortified antibiotics. The eye subsequently developed endophthalmitis with corneal perforation, necessitating urgent pars plan vitrectomy facilitated by a temporary keratoprosthesis and subsequent therapeutic penetrating keratoplasty. During anaesthetic induction, the patient developed anaphylaxis, most likely secondary to succinylcholine. Aggressive posterior positive pressure was encountered intra-operatively, resulting in spontaneous extrusion of the crystalline lens. We postulate that the posterior positive pressure was caused by several factors, including massive inflammation, and fluid shifts secondary to anaphylaxis and its associated management. The positive pressure was successfully managed and a keratoprosthesis was secured, allowing completion of vitrectomy and therapeutic penetrating keratoplasty. At 6-month follow-up, the vision remains at light perception.</p><p><strong>Conclusion: </strong>Endophthalmitis is an exceptionally rare but devastating complication following laser corneal refractive surgery, and the use of mitomycin C might have contributed to the rapid progression observed in the current case. Our report also highlights that acute anaphylaxis and its management can lead to posterior positive pressure, and measures should be taken to reduce the potential impacts before intraocular surgery and full-thickness incisions are made.</p>","PeriodicalId":9635,"journal":{"name":"Case Reports in Ophthalmology","volume":"16 1","pages":"353-359"},"PeriodicalIF":0.6000,"publicationDate":"2025-04-29","publicationTypes":"Journal Article","fieldsOfStudy":null,"isOpenAccess":false,"openAccessPdf":"https://www.ncbi.nlm.nih.gov/pmc/articles/PMC12129440/pdf/","citationCount":"0","resultStr":null,"platform":"Semanticscholar","paperid":null,"PeriodicalName":"Case Reports in Ophthalmology","FirstCategoryId":"1085","ListUrlMain":"https://doi.org/10.1159/000546142","RegionNum":0,"RegionCategory":null,"ArticlePicture":[],"TitleCN":null,"AbstractTextCN":null,"PMCID":null,"EPubDate":"2025/1/1 0:00:00","PubModel":"eCollection","JCR":"Q4","JCRName":"OPHTHALMOLOGY","Score":null,"Total":0}
引用次数: 0

Abstract

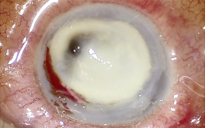
Introduction: Endophthalmitis is an exceptionally rare but devastating complication following laser corneal refractive surgery.

Case presentation: We present a case of Pseudomonas aeruginosa endophthalmitis following routine myopic photorefractive keratectomy with mitomycin C application. The patient was referred to a tertiary ophthalmic service with severe post-operative infectious keratitis following initial management at another centre and was treated with intensive fortified antibiotics. The eye subsequently developed endophthalmitis with corneal perforation, necessitating urgent pars plan vitrectomy facilitated by a temporary keratoprosthesis and subsequent therapeutic penetrating keratoplasty. During anaesthetic induction, the patient developed anaphylaxis, most likely secondary to succinylcholine. Aggressive posterior positive pressure was encountered intra-operatively, resulting in spontaneous extrusion of the crystalline lens. We postulate that the posterior positive pressure was caused by several factors, including massive inflammation, and fluid shifts secondary to anaphylaxis and its associated management. The positive pressure was successfully managed and a keratoprosthesis was secured, allowing completion of vitrectomy and therapeutic penetrating keratoplasty. At 6-month follow-up, the vision remains at light perception.

Conclusion: Endophthalmitis is an exceptionally rare but devastating complication following laser corneal refractive surgery, and the use of mitomycin C might have contributed to the rapid progression observed in the current case. Our report also highlights that acute anaphylaxis and its management can lead to posterior positive pressure, and measures should be taken to reduce the potential impacts before intraocular surgery and full-thickness incisions are made.

Abstract Image

Abstract Image

Abstract Image

常规光屈光性角膜切除术后眼内炎。
眼内炎是激光角膜屈光手术后非常罕见但具有破坏性的并发症。病例报告:我们报告一例铜绿假单胞菌在常规近视屈光性角膜切除术后并发眼内炎。患者在另一中心接受初步治疗后,因术后严重感染性角膜炎被转诊至三级眼科,并接受强化抗生素治疗。眼球随后发展为眼内炎并角膜穿孔,需要通过临时角膜假体和随后的穿透性角膜移植术进行紧急玻璃体切除术。在麻醉诱导期间,患者出现过敏反应,很可能继发于琥珀酰胆碱。术中遇到严重的后路正压,导致晶状体自发挤压。我们推测后路正压是由多种因素引起的,包括大量炎症、继发于过敏反应的液体移位及其相关的处理。成功控制正压并固定角膜假体,完成玻璃体切除术和治疗性穿透性角膜移植术。随访6个月,视力仍为光感。结论:眼内炎是激光角膜屈光手术后非常罕见但具有破坏性的并发症,丝裂霉素C的使用可能促成了本病例的快速进展。我们的报告还强调急性过敏反应及其处理可导致后眼正压,在眼内手术和全层切口前应采取措施减少潜在的影响。
本文章由计算机程序翻译,如有差异,请以英文原文为准。
求助全文
约1分钟内获得全文 求助全文
来源期刊
CiteScore
0.90
自引率
0.00%
发文量
129
审稿时长
12 weeks
期刊介绍: This peer-reviewed online-only journal publishes original case reports covering the entire spectrum of ophthalmology, including prevention, diagnosis, treatment, toxicities of therapy, supportive care, quality-of-life, and survivorship issues. The submission of negative results is strongly encouraged. The journal will also accept case reports dealing with the use of novel technologies, both in the arena of diagnosis and treatment. Supplementary material is welcomed. The intent of the journal is to provide clinicians and researchers with a tool to disseminate their personal experiences to a wider public as well as to review interesting cases encountered by colleagues all over the world. Universally used terms can be searched across the entire growing collection of case reports, further facilitating the retrieval of specific information. Following the open access principle, the entire contents can be retrieved at no charge, guaranteeing easy access to this valuable source of anecdotal information at all times.
×
引用
GB/T 7714-2015
复制
MLA
复制
APA
复制
导出至
BibTeX EndNote RefMan NoteFirst NoteExpress
×
提示
您的信息不完整,为了账户安全,请先补充。
现在去补充
×
提示
您因"违规操作"
具体请查看互助需知
我知道了
×
提示
确定
请完成安全验证×
copy
已复制链接
快去分享给好友吧!
我知道了
右上角分享
点击右上角分享
0
联系我们:info@booksci.cn Book学术提供免费学术资源搜索服务,方便国内外学者检索中英文文献。致力于提供最便捷和优质的服务体验。 Copyright © 2023 布克学术 All rights reserved.
京ICP备2023020795号-1
ghs 京公网安备 11010802042870号
Book学术文献互助
Book学术文献互助群
群 号:604180095
Book学术官方微信