Attention-enhanced residual U-Net: lymph node segmentation method with bimodal MRI images.

IF 2.9 4区 医学 Q3 ENGINEERING, BIOMEDICAL
Juping Qiu, Chunxia Chen, Ming Li, Jingde Hong, Binhua Dong, Shangyue Xu, Yongping Lin
{"title":"Attention-enhanced residual U-Net: lymph node segmentation method with bimodal MRI images.","authors":"Juping Qiu, Chunxia Chen, Ming Li, Jingde Hong, Binhua Dong, Shangyue Xu, Yongping Lin","doi":"10.1186/s12938-025-01400-w","DOIUrl":null,"url":null,"abstract":"<p><strong>Objectives: </strong>In medical images, lymph nodes (LNs) have fuzzy boundaries, diverse shapes and sizes, and structures similar to surrounding tissues. To automatically segment uterine LNs from sagittal magnetic resonance (MRI) scans, we combined T2-weighted imaging (T2WI) and diffusion-weighted imaging (DWI) images and tested the final results in our proposed model.</p><p><strong>Methods: </strong>This study used a data set of 158 MRI images of patients with FIGO staged LN confirmed by pathology. To improve the robustness of the model, data augmentation was applied to expand the data set. The training data was manually annotated by two experienced radiologists. The DWI and T2 images were fused and inputted into U-Net. The efficient channel attention (ECA) module was added to U-Net. A residual network was added to the encoding-decoding stage, named Efficient residual U-Net (ERU-Net), to obtain the final segmentation results and calculate the mean intersection-over-union (mIoU).</p><p><strong>Results: </strong>The experimental results demonstrated that the ERU-Net network showed strong segmentation performance, which was significantly better than other segmentation networks. The mIoU reached 0.83, and the average pixel accuracy was 0.91. In addition, the precision was 0.90, and the corresponding recall was 0.91.</p><p><strong>Conclusions: </strong>In this study, ERU-Net successfully achieved the segmentation of LN in uterine MRI images. Compared with other segmentation networks, our network has the best segmentation effect on uterine LN. This provides a valuable reference for doctors to develop more effective and efficient treatment plans.</p>","PeriodicalId":8927,"journal":{"name":"BioMedical Engineering OnLine","volume":"24 1","pages":"67"},"PeriodicalIF":2.9000,"publicationDate":"2025-06-02","publicationTypes":"Journal Article","fieldsOfStudy":null,"isOpenAccess":false,"openAccessPdf":"https://www.ncbi.nlm.nih.gov/pmc/articles/PMC12131717/pdf/","citationCount":"0","resultStr":null,"platform":"Semanticscholar","paperid":null,"PeriodicalName":"BioMedical Engineering OnLine","FirstCategoryId":"5","ListUrlMain":"https://doi.org/10.1186/s12938-025-01400-w","RegionNum":4,"RegionCategory":"医学","ArticlePicture":[],"TitleCN":null,"AbstractTextCN":null,"PMCID":null,"EPubDate":"","PubModel":"","JCR":"Q3","JCRName":"ENGINEERING, BIOMEDICAL","Score":null,"Total":0}
引用次数: 0

Abstract

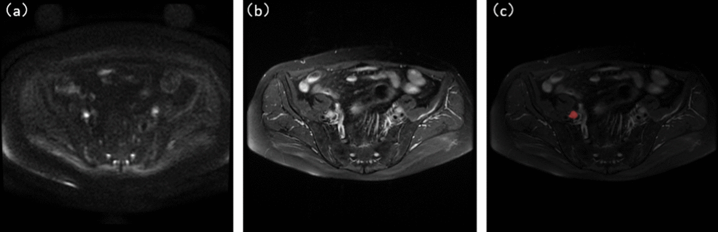
Objectives: In medical images, lymph nodes (LNs) have fuzzy boundaries, diverse shapes and sizes, and structures similar to surrounding tissues. To automatically segment uterine LNs from sagittal magnetic resonance (MRI) scans, we combined T2-weighted imaging (T2WI) and diffusion-weighted imaging (DWI) images and tested the final results in our proposed model.

Methods: This study used a data set of 158 MRI images of patients with FIGO staged LN confirmed by pathology. To improve the robustness of the model, data augmentation was applied to expand the data set. The training data was manually annotated by two experienced radiologists. The DWI and T2 images were fused and inputted into U-Net. The efficient channel attention (ECA) module was added to U-Net. A residual network was added to the encoding-decoding stage, named Efficient residual U-Net (ERU-Net), to obtain the final segmentation results and calculate the mean intersection-over-union (mIoU).

Results: The experimental results demonstrated that the ERU-Net network showed strong segmentation performance, which was significantly better than other segmentation networks. The mIoU reached 0.83, and the average pixel accuracy was 0.91. In addition, the precision was 0.90, and the corresponding recall was 0.91.

Conclusions: In this study, ERU-Net successfully achieved the segmentation of LN in uterine MRI images. Compared with other segmentation networks, our network has the best segmentation effect on uterine LN. This provides a valuable reference for doctors to develop more effective and efficient treatment plans.

Abstract Image

Abstract Image

Abstract Image

注意增强残余U-Net:双峰MRI图像的淋巴结分割方法。
目的:在医学图像中,淋巴结边界模糊,形状大小不一,结构与周围组织相似。为了从矢状面磁共振(MRI)扫描中自动分割子宫LNs,我们结合了t2加权成像(T2WI)和弥散加权成像(DWI)图像,并在我们提出的模型中测试了最终结果。方法:本研究采用158例经病理证实的FIGO分期LN患者的MRI图像。为了提高模型的鲁棒性,对数据集进行了扩充。训练数据由两名经验丰富的放射科医生手工注释。DWI和T2图像融合后输入U-Net。在U-Net中增加了有效信道注意(ECA)模块。在编解码阶段加入残差网络,称为高效残差U-Net (Efficient residual U-Net, ERU-Net),得到最终分割结果,并计算平均相交过并(mIoU)。结果:实验结果表明,ERU-Net网络具有较强的分割性能,明显优于其他分割网络。mIoU达到0.83,平均像素精度为0.91。精密度为0.90,召回率为0.91。结论:本研究中,ERU-Net成功实现了子宫MRI图像LN的分割。与其他分割网络相比,我们的网络对子宫LN的分割效果最好。这为医生制定更有效和高效的治疗方案提供了有价值的参考。
本文章由计算机程序翻译,如有差异,请以英文原文为准。
求助全文
约1分钟内获得全文 求助全文
来源期刊
BioMedical Engineering OnLine
BioMedical Engineering OnLine 工程技术-工程:生物医学
CiteScore
6.70
自引率
2.60%
发文量
79
审稿时长
1 months
期刊介绍: BioMedical Engineering OnLine is an open access, peer-reviewed journal that is dedicated to publishing research in all areas of biomedical engineering. BioMedical Engineering OnLine is aimed at readers and authors throughout the world, with an interest in using tools of the physical and data sciences and techniques in engineering to understand and solve problems in the biological and medical sciences. Topical areas include, but are not limited to: Bioinformatics- Bioinstrumentation- Biomechanics- Biomedical Devices & Instrumentation- Biomedical Signal Processing- Healthcare Information Systems- Human Dynamics- Neural Engineering- Rehabilitation Engineering- Biomaterials- Biomedical Imaging & Image Processing- BioMEMS and On-Chip Devices- Bio-Micro/Nano Technologies- Biomolecular Engineering- Biosensors- Cardiovascular Systems Engineering- Cellular Engineering- Clinical Engineering- Computational Biology- Drug Delivery Technologies- Modeling Methodologies- Nanomaterials and Nanotechnology in Biomedicine- Respiratory Systems Engineering- Robotics in Medicine- Systems and Synthetic Biology- Systems Biology- Telemedicine/Smartphone Applications in Medicine- Therapeutic Systems, Devices and Technologies- Tissue Engineering
×
引用
GB/T 7714-2015
复制
MLA
复制
APA
复制
导出至
BibTeX EndNote RefMan NoteFirst NoteExpress
×
提示
您的信息不完整,为了账户安全,请先补充。
现在去补充
×
提示
您因"违规操作"
具体请查看互助需知
我知道了
×
提示
确定
请完成安全验证×
copy
已复制链接
快去分享给好友吧!
我知道了
右上角分享
点击右上角分享
0
联系我们:info@booksci.cn Book学术提供免费学术资源搜索服务,方便国内外学者检索中英文文献。致力于提供最便捷和优质的服务体验。 Copyright © 2023 布克学术 All rights reserved.
京ICP备2023020795号-1
ghs 京公网安备 11010802042870号
Book学术文献互助
Book学术文献互助群
群 号:604180095
Book学术官方微信