Progressive hepatopathy after central division hepatectomy in a dog

IF 1.7 4区 农林科学 Q2 VETERINARY SCIENCES
SJ Wood, GL Hosgood, F Coiacetto
{"title":"Progressive hepatopathy after central division hepatectomy in a dog","authors":"SJ Wood,&nbsp;GL Hosgood,&nbsp;F Coiacetto","doi":"10.1111/avj.13452","DOIUrl":null,"url":null,"abstract":"<p>The consequences of large-volume hepatectomy on the remaining liver in the dog are not documented. This case report documents a progressive hepatopathy after central division hepatectomy in a 10-year-old female Lhasa Apso dog. Serum biochemistry at presentation for chronic urinary incontinence indicated a hepatopathy, with a liver mass identified on subsequent ultrasound. Referral for computed tomography (CT) (day 76) demonstrated a central division liver mass (~204cm<sup>3</sup>). A central division hepatectomy (right medial and quadrate lobes; gallbladder) was performed, with microscopic examination confirming a hepatocellular carcinoma. Serial biochemistry over a three-and-a-half-year follow-up documented progressive hepatopathy. Serial CT hepatic volumetry (day 76, 136, 1041) documented gross enlargement of the residual right lateral liver lobe and gross reduction of the residual left medial and lateral liver lobes. Biopsies of the left and right liver (day 187) demonstrated disparate pathology with microscopic features consistent with regeneration in the right liver and elevated portal vein pressure (PVP) in the left liver. This report documents progressive hepatopathy evidenced by serum biochemistry, disparate and persistent gross liver changes on posthepatectomy CT, and microscopic changes consistent with elevated PVP. Findings from this case demonstrate similarities to posthepatectomy liver failure (PHLF) and small-for-size-and-flow syndrome (SFSS) as reported in people and animal models. The progressive hepatopathy posthepatectomy in this case prompts consideration and further investigation for the development of PHLF and SFSS in the dog.</p>","PeriodicalId":8661,"journal":{"name":"Australian Veterinary Journal","volume":"103 7","pages":"422-429"},"PeriodicalIF":1.7000,"publicationDate":"2025-06-02","publicationTypes":"Journal Article","fieldsOfStudy":null,"isOpenAccess":false,"openAccessPdf":"https://onlinelibrary.wiley.com/doi/epdf/10.1111/avj.13452","citationCount":"0","resultStr":null,"platform":"Semanticscholar","paperid":null,"PeriodicalName":"Australian Veterinary Journal","FirstCategoryId":"97","ListUrlMain":"https://onlinelibrary.wiley.com/doi/10.1111/avj.13452","RegionNum":4,"RegionCategory":"农林科学","ArticlePicture":[],"TitleCN":null,"AbstractTextCN":null,"PMCID":null,"EPubDate":"","PubModel":"","JCR":"Q2","JCRName":"VETERINARY SCIENCES","Score":null,"Total":0}
引用次数: 0

Abstract

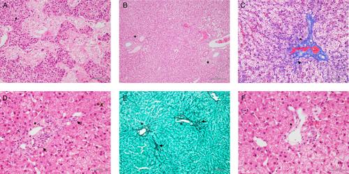
The consequences of large-volume hepatectomy on the remaining liver in the dog are not documented. This case report documents a progressive hepatopathy after central division hepatectomy in a 10-year-old female Lhasa Apso dog. Serum biochemistry at presentation for chronic urinary incontinence indicated a hepatopathy, with a liver mass identified on subsequent ultrasound. Referral for computed tomography (CT) (day 76) demonstrated a central division liver mass (~204cm3). A central division hepatectomy (right medial and quadrate lobes; gallbladder) was performed, with microscopic examination confirming a hepatocellular carcinoma. Serial biochemistry over a three-and-a-half-year follow-up documented progressive hepatopathy. Serial CT hepatic volumetry (day 76, 136, 1041) documented gross enlargement of the residual right lateral liver lobe and gross reduction of the residual left medial and lateral liver lobes. Biopsies of the left and right liver (day 187) demonstrated disparate pathology with microscopic features consistent with regeneration in the right liver and elevated portal vein pressure (PVP) in the left liver. This report documents progressive hepatopathy evidenced by serum biochemistry, disparate and persistent gross liver changes on posthepatectomy CT, and microscopic changes consistent with elevated PVP. Findings from this case demonstrate similarities to posthepatectomy liver failure (PHLF) and small-for-size-and-flow syndrome (SFSS) as reported in people and animal models. The progressive hepatopathy posthepatectomy in this case prompts consideration and further investigation for the development of PHLF and SFSS in the dog.

Abstract Image

犬中央分割肝切除术后的进展性肝病。
大容量肝切除术对狗剩余肝脏的影响没有文献记载。本病例报告了一只10岁雌性拉萨阿普索犬在中央分割肝切除术后出现的进行性肝病。慢性尿失禁的血清生化提示肝病,随后超声检查发现肝脏肿块。复查计算机断层扫描(CT)(第76天)显示中心分型肝脏肿块(~204cm3)。中央分割肝切除术(右内叶和方叶;经显微镜检查证实为肝细胞癌。连续三年半的生物化学随访记录了进展性肝病。连续CT肝脏体积测量(第76、136、1041天)显示残余右外侧肝叶大体增大,残余左内侧和外侧肝叶大体缩小。左肝和右肝活检(第187天)显示不同的病理,显微镜特征与右肝再生和左肝门静脉压力升高一致。本报告记录了进展性肝病的证据,包括血清生化,肝切除术后CT上不同的和持续的大体肝脏变化,以及与PVP升高一致的显微镜下变化。该病例的发现与在人和动物模型中报道的肝切除术后肝衰竭(PHLF)和小体积-血流综合征(SFSS)相似。本例肝切除术后的进展性肝病提示对犬PHLF和SFSS的发展进行考虑和进一步研究。
本文章由计算机程序翻译,如有差异,请以英文原文为准。
求助全文
约1分钟内获得全文 求助全文
来源期刊
Australian Veterinary Journal
Australian Veterinary Journal 农林科学-兽医学
CiteScore
2.40
自引率
0.00%
发文量
85
审稿时长
18-36 weeks
期刊介绍: Over the past 80 years, the Australian Veterinary Journal (AVJ) has been providing the veterinary profession with leading edge clinical and scientific research, case reports, reviews. news and timely coverage of industry issues. AJV is Australia''s premier veterinary science text and is distributed monthly to over 5,500 Australian Veterinary Association members and subscribers.
×
引用
GB/T 7714-2015
复制
MLA
复制
APA
复制
导出至
BibTeX EndNote RefMan NoteFirst NoteExpress
×
提示
您的信息不完整,为了账户安全,请先补充。
现在去补充
×
提示
您因"违规操作"
具体请查看互助需知
我知道了
×
提示
确定
请完成安全验证×
copy
已复制链接
快去分享给好友吧!
我知道了
右上角分享
点击右上角分享
0
联系我们:info@booksci.cn Book学术提供免费学术资源搜索服务,方便国内外学者检索中英文文献。致力于提供最便捷和优质的服务体验。 Copyright © 2023 布克学术 All rights reserved.
京ICP备2023020795号-1
ghs 京公网安备 11010802042870号
Book学术文献互助
Book学术文献互助群
群 号:604180095
Book学术官方微信