Inhibitory effect of recombinant BCG containing the fusion gene BFNA on EB virus-positive tumors.

IF 4.3 3区 生物学 Q2 BIOTECHNOLOGY & APPLIED MICROBIOLOGY
Shuo Huang, Shuyang Shao, Liding Fan, Junying Wang, Furen Meng, Siyuan Guan, Changhao Wang, Ang Liu, Yuanhui Wang, Qingjie Xue
{"title":"Inhibitory effect of recombinant BCG containing the fusion gene BFNA on EB virus-positive tumors.","authors":"Shuo Huang, Shuyang Shao, Liding Fan, Junying Wang, Furen Meng, Siyuan Guan, Changhao Wang, Ang Liu, Yuanhui Wang, Qingjie Xue","doi":"10.1007/s00253-025-13528-9","DOIUrl":null,"url":null,"abstract":"<p><p>To obtain recombinant Bacillus Calmette-Guérin (rBCG) containing an Epstein-Barr virus (EBV) fusion gene that can inhibit EBV-positive cancer, we obtained BZLF1 and EBNA1 cDNA and overlapped these sequences to assemble the fusion gene BFNA. Then, BFNA was inserted into pMV261, and pMV-BFNA was transfected into BCG-competent cells. Western blotting was performed to detect the target fusion protein, specific antibodies were detected in the serum via enzyme-linked immunosorbent assays (ELISAs), and spleen cell-specific cytokines were detected via enzyme-linked immunospot (ELISPOT) assays. Cytotoxic T lymphocyte (CTL) activity, tumor weight, tumor formation time, and mouse survival were determined in EBV-positive tumor cell (NPRC18) cancer models, and flow cytometry was performed to analyze the quantities of CD8<sup>+</sup> and CD4<sup>+</sup> T cells in C57BL/6 J mice. Single-factor analysis of variance was performed with SPSS 19.0 to evaluate rBCG inhibition. The molecular weight of the fusion protein was approximately 55.5 kDa. The titer of the antibody in the rBCG group was highly significant (P ≤ 0.01), which delayed tumorigenesis, and the specific killing ability of rBCG targeting the recombinant target protein was increased. Compared with BCG-EBNA1 and BCG-BZLF1, the rBCG with the BFNA fusion gene presented a greater effect on tumors. Flow cytometric analysis revealed that the numbers of CD4<sup>+</sup> T and CD8<sup>+</sup> T cells in the blood of the rBCG group were significantly greater than those in the blood of the control group (P < 0.01). The mice injected with rBCG had greater lymphocyte infiltration in the tumor area. Thus, rBCG exerts a notable immune effect in mice and an inhibitory effect on EBV-positive tumor cell cancer models. KEY POINTS: • rBCG with the BFNA fusion gene induced strong immune responses and delayed EBV tumor growth. • rBCG promoted CD4+ and CD8+ T cell infiltration in EBV-positive tumor models. • The BFNA fusion protein effectively increased CTL activity and prevented tumor progression.</p>","PeriodicalId":8342,"journal":{"name":"Applied Microbiology and Biotechnology","volume":"109 1","pages":"134"},"PeriodicalIF":4.3000,"publicationDate":"2025-06-03","publicationTypes":"Journal Article","fieldsOfStudy":null,"isOpenAccess":false,"openAccessPdf":"https://www.ncbi.nlm.nih.gov/pmc/articles/PMC12133901/pdf/","citationCount":"0","resultStr":null,"platform":"Semanticscholar","paperid":null,"PeriodicalName":"Applied Microbiology and Biotechnology","FirstCategoryId":"5","ListUrlMain":"https://doi.org/10.1007/s00253-025-13528-9","RegionNum":3,"RegionCategory":"生物学","ArticlePicture":[],"TitleCN":null,"AbstractTextCN":null,"PMCID":null,"EPubDate":"","PubModel":"","JCR":"Q2","JCRName":"BIOTECHNOLOGY & APPLIED MICROBIOLOGY","Score":null,"Total":0}
引用次数: 0

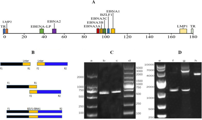
Abstract

To obtain recombinant Bacillus Calmette-Guérin (rBCG) containing an Epstein-Barr virus (EBV) fusion gene that can inhibit EBV-positive cancer, we obtained BZLF1 and EBNA1 cDNA and overlapped these sequences to assemble the fusion gene BFNA. Then, BFNA was inserted into pMV261, and pMV-BFNA was transfected into BCG-competent cells. Western blotting was performed to detect the target fusion protein, specific antibodies were detected in the serum via enzyme-linked immunosorbent assays (ELISAs), and spleen cell-specific cytokines were detected via enzyme-linked immunospot (ELISPOT) assays. Cytotoxic T lymphocyte (CTL) activity, tumor weight, tumor formation time, and mouse survival were determined in EBV-positive tumor cell (NPRC18) cancer models, and flow cytometry was performed to analyze the quantities of CD8+ and CD4+ T cells in C57BL/6 J mice. Single-factor analysis of variance was performed with SPSS 19.0 to evaluate rBCG inhibition. The molecular weight of the fusion protein was approximately 55.5 kDa. The titer of the antibody in the rBCG group was highly significant (P ≤ 0.01), which delayed tumorigenesis, and the specific killing ability of rBCG targeting the recombinant target protein was increased. Compared with BCG-EBNA1 and BCG-BZLF1, the rBCG with the BFNA fusion gene presented a greater effect on tumors. Flow cytometric analysis revealed that the numbers of CD4+ T and CD8+ T cells in the blood of the rBCG group were significantly greater than those in the blood of the control group (P < 0.01). The mice injected with rBCG had greater lymphocyte infiltration in the tumor area. Thus, rBCG exerts a notable immune effect in mice and an inhibitory effect on EBV-positive tumor cell cancer models. KEY POINTS: • rBCG with the BFNA fusion gene induced strong immune responses and delayed EBV tumor growth. • rBCG promoted CD4+ and CD8+ T cell infiltration in EBV-positive tumor models. • The BFNA fusion protein effectively increased CTL activity and prevented tumor progression.

Abstract Image

Abstract Image

Abstract Image

含有融合基因BFNA的重组BCG对EB病毒阳性肿瘤的抑制作用。
为了获得含有EBV阳性肿瘤抑制基因的重组卡介苗芽孢杆菌(Bacillus calmetet - gusamrin, rBCG),我们获得了BZLF1和EBNA1 cDNA,并将它们重叠组装成融合基因BFNA。然后将BFNA插入pMV261中,将pMV-BFNA转染到BCG-competent细胞中。Western blotting检测目的融合蛋白,酶联免疫吸附法(elisa)检测血清特异性抗体,酶联免疫斑点法(elisa)检测脾细胞特异性细胞因子。在ebv阳性肿瘤细胞(NPRC18)肿瘤模型中测定细胞毒性T淋巴细胞(CTL)活性、肿瘤重量、肿瘤形成时间和小鼠存活率,并采用流式细胞术分析C57BL/6 J小鼠CD8+和CD4+ T细胞的数量。采用SPSS 19.0进行单因素方差分析,评价rBCG的抑制作用。融合蛋白分子量约为55.5 kDa。rBCG组抗体滴度极显著(P≤0.01),延缓了肿瘤的发生,提高了rBCG对重组靶蛋白的特异性杀伤能力。与BCG-EBNA1和BCG-BZLF1相比,具有BFNA融合基因的rBCG对肿瘤的作用更大。流式细胞术分析显示,rBCG组血液中CD4+ T和CD8+ T细胞数量显著高于对照组(P
本文章由计算机程序翻译,如有差异,请以英文原文为准。
求助全文
约1分钟内获得全文 求助全文
来源期刊
Applied Microbiology and Biotechnology
Applied Microbiology and Biotechnology 工程技术-生物工程与应用微生物
CiteScore
10.00
自引率
4.00%
发文量
535
审稿时长
2 months
期刊介绍: Applied Microbiology and Biotechnology focusses on prokaryotic or eukaryotic cells, relevant enzymes and proteins; applied genetics and molecular biotechnology; genomics and proteomics; applied microbial and cell physiology; environmental biotechnology; process and products and more. The journal welcomes full-length papers and mini-reviews of new and emerging products, processes and technologies.
×
引用
GB/T 7714-2015
复制
MLA
复制
APA
复制
导出至
BibTeX EndNote RefMan NoteFirst NoteExpress
×
提示
您的信息不完整,为了账户安全,请先补充。
现在去补充
×
提示
您因"违规操作"
具体请查看互助需知
我知道了
×
提示
确定
请完成安全验证×
copy
已复制链接
快去分享给好友吧!
我知道了
右上角分享
点击右上角分享
0
联系我们:info@booksci.cn Book学术提供免费学术资源搜索服务,方便国内外学者检索中英文文献。致力于提供最便捷和优质的服务体验。 Copyright © 2023 布克学术 All rights reserved.
京ICP备2023020795号-1
ghs 京公网安备 11010802042870号
Book学术文献互助
Book学术文献互助群
群 号:604180095
Book学术官方微信