Cardiac tamponade due to influenza B infection in a young immunocompetent female: A case report and review of literature.

Q3 Medicine
Qatar Medical Journal Pub Date : 2025-01-30 eCollection Date: 2025-01-01 DOI:10.5339/qmj.2025.26
Sreethish Sasi, Fatma Ben Abid, Mohammed Altayeb Alamin, Javed Iqbal, Muna Al-Maslamani
{"title":"Cardiac tamponade due to influenza B infection in a young immunocompetent female: A case report and review of literature.","authors":"Sreethish Sasi, Fatma Ben Abid, Mohammed Altayeb Alamin, Javed Iqbal, Muna Al-Maslamani","doi":"10.5339/qmj.2025.26","DOIUrl":null,"url":null,"abstract":"<p><strong>Background: </strong>Influenza infections are recognized globally for their respiratory manifestations, but are less commonly associated with severe cardiovascular complications such as cardiac tamponade. The relationship between influenza infections, particularly influenza B, and cardiac complications such as myocarditis, pericarditis, and cardiac tamponade remains underexplored, particularly in immunocompetent individuals.</p><p><strong>Case summary: </strong>We report the case of a 22-year-old immunocompetent female who presented to the emergency department with acute shortness of breath, fatigue, and dizziness due to symptoms suggestive of an influenza-like illness. Laboratory and imaging findings revealed a large circumferential pericardial effusion suggestive of cardiac tamponade. Subsequent investigations confirmed influenza B infection. The patient was managed with pericardiocentesis, oseltamivir, nonsteroidal anti-inflammatory drugs, colchicine, and supportive care, resulting in complete recovery. This case highlights the significance of considering influenza as a potential cause of acute cardiac complications and the importance of early diagnostic and therapeutic interventions to prevent morbidity and mortality.</p><p><strong>Discussion: </strong>The occurrence of cardiac tamponade secondary to influenza B infection in a young, immunocompetent female highlights the critical need to educate healthcare providers about the potential cardiovascular complications of influenza. The mechanisms underlying influenza-associated cardiac involvement may include direct viral invasion, systemic inflammation, and immune-mediated responses.</p><p><strong>Conclusion: </strong>This case contributes to the limited but growing body of literature on influenza-induced cardiac complications and highlights the importance of timely antiviral therapy alongside traditional management strategies for cardiac tamponade. Further research is needed to elucidate the pathophysiology of influenza-related cardiac complications and to provide guidelines for the management of such cases.</p>","PeriodicalId":53667,"journal":{"name":"Qatar Medical Journal","volume":"2025 1","pages":"26"},"PeriodicalIF":0.0000,"publicationDate":"2025-01-30","publicationTypes":"Journal Article","fieldsOfStudy":null,"isOpenAccess":false,"openAccessPdf":"https://www.ncbi.nlm.nih.gov/pmc/articles/PMC12123541/pdf/","citationCount":"0","resultStr":null,"platform":"Semanticscholar","paperid":null,"PeriodicalName":"Qatar Medical Journal","FirstCategoryId":"1085","ListUrlMain":"https://doi.org/10.5339/qmj.2025.26","RegionNum":0,"RegionCategory":null,"ArticlePicture":[],"TitleCN":null,"AbstractTextCN":null,"PMCID":null,"EPubDate":"2025/1/1 0:00:00","PubModel":"eCollection","JCR":"Q3","JCRName":"Medicine","Score":null,"Total":0}
引用次数: 0

Abstract

Background: Influenza infections are recognized globally for their respiratory manifestations, but are less commonly associated with severe cardiovascular complications such as cardiac tamponade. The relationship between influenza infections, particularly influenza B, and cardiac complications such as myocarditis, pericarditis, and cardiac tamponade remains underexplored, particularly in immunocompetent individuals.

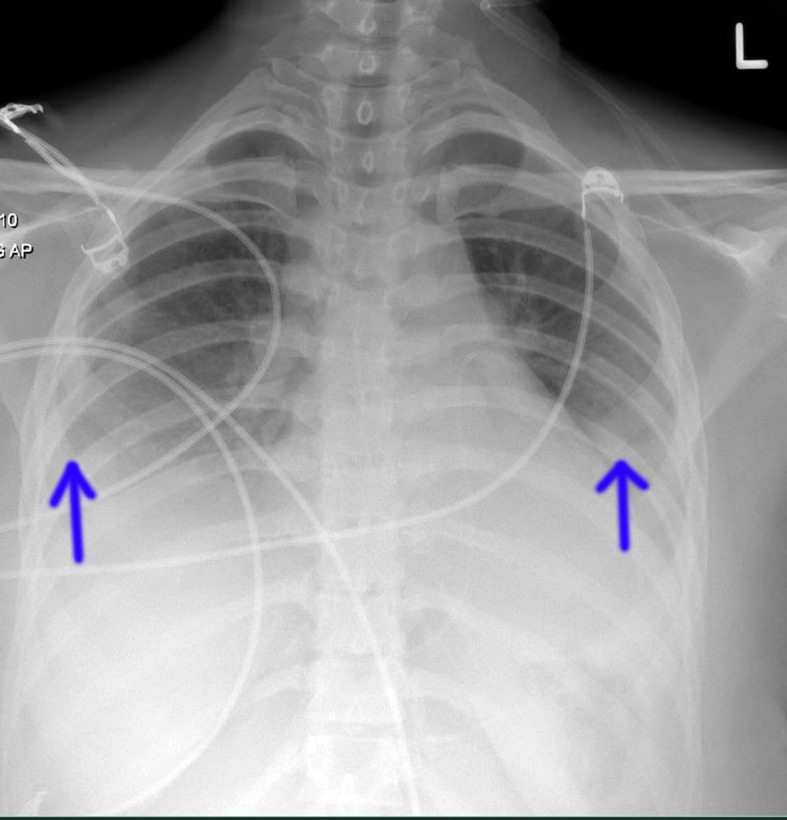
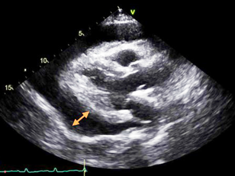
Case summary: We report the case of a 22-year-old immunocompetent female who presented to the emergency department with acute shortness of breath, fatigue, and dizziness due to symptoms suggestive of an influenza-like illness. Laboratory and imaging findings revealed a large circumferential pericardial effusion suggestive of cardiac tamponade. Subsequent investigations confirmed influenza B infection. The patient was managed with pericardiocentesis, oseltamivir, nonsteroidal anti-inflammatory drugs, colchicine, and supportive care, resulting in complete recovery. This case highlights the significance of considering influenza as a potential cause of acute cardiac complications and the importance of early diagnostic and therapeutic interventions to prevent morbidity and mortality.

Discussion: The occurrence of cardiac tamponade secondary to influenza B infection in a young, immunocompetent female highlights the critical need to educate healthcare providers about the potential cardiovascular complications of influenza. The mechanisms underlying influenza-associated cardiac involvement may include direct viral invasion, systemic inflammation, and immune-mediated responses.

Conclusion: This case contributes to the limited but growing body of literature on influenza-induced cardiac complications and highlights the importance of timely antiviral therapy alongside traditional management strategies for cardiac tamponade. Further research is needed to elucidate the pathophysiology of influenza-related cardiac complications and to provide guidelines for the management of such cases.

Abstract Image

Abstract Image

Abstract Image

年轻免疫功能正常女性因乙型流感感染导致心脏填塞:1例报告及文献复习。
背景:全球公认流感感染表现为呼吸道症状,但与严重心血管并发症(如心脏填塞)相关的情况较少见。流感感染(特别是乙型流感)与心肌炎、心包炎和心包填塞等心脏并发症之间的关系仍未得到充分探讨,特别是在免疫能力强的个体中。病例总结:我们报告一例22岁的免疫功能正常的女性,因流感样疾病的症状而出现急性呼吸短促、疲劳和头晕。实验室和影像学结果显示大量围心包积液提示心脏填塞。随后的调查证实他感染了乙型流感。患者经心包穿刺、奥司他韦、非甾体抗炎药、秋水仙碱和支持治疗后完全康复。该病例突出了将流感视为急性心脏并发症的潜在原因的重要性,以及早期诊断和治疗干预措施对预防发病率和死亡率的重要性。讨论:在一名免疫功能正常的年轻女性中,继发于乙型流感感染的心脏填塞突出了教育卫生保健提供者关于流感潜在心血管并发症的迫切需要。流感相关心脏受累的潜在机制可能包括直接病毒入侵、全身炎症和免疫介导的反应。结论:该病例对流感引起的心脏并发症的文献有限但不断增加,并强调了及时抗病毒治疗和传统心脏填塞管理策略的重要性。需要进一步的研究来阐明流感相关心脏并发症的病理生理学,并为此类病例的管理提供指南。
本文章由计算机程序翻译,如有差异,请以英文原文为准。
求助全文
约1分钟内获得全文 求助全文
来源期刊
Qatar Medical Journal
Qatar Medical Journal Medicine-Medicine (all)
CiteScore
1.80
自引率
0.00%
发文量
77
审稿时长
6 weeks
×
引用
GB/T 7714-2015
复制
MLA
复制
APA
复制
导出至
BibTeX EndNote RefMan NoteFirst NoteExpress
×
提示
您的信息不完整,为了账户安全,请先补充。
现在去补充
×
提示
您因"违规操作"
具体请查看互助需知
我知道了
×
提示
确定
请完成安全验证×
copy
已复制链接
快去分享给好友吧!
我知道了
右上角分享
点击右上角分享
0
联系我们:info@booksci.cn Book学术提供免费学术资源搜索服务,方便国内外学者检索中英文文献。致力于提供最便捷和优质的服务体验。 Copyright © 2023 布克学术 All rights reserved.
京ICP备2023020795号-1
ghs 京公网安备 11010802042870号
Book学术文献互助
Book学术文献互助群
群 号:604180095
Book学术官方微信