Primary Cutaneous Gamma-Delta T-Cell Lymphoma Presenting With Hemophagocytic Lymphohistiocytosis in a Young Polynesian Male.

IF 0.7 Q4 HEMATOLOGY
Case Reports in Hematology Pub Date : 2025-05-23 eCollection Date: 2025-01-01 DOI:10.1155/crh/8582804
Saeed Arabi, Victoria Vardell, Timothy Hanley, Scott Florell, Ahmad Halwani, Ming Lim
{"title":"Primary Cutaneous Gamma-Delta T-Cell Lymphoma Presenting With Hemophagocytic Lymphohistiocytosis in a Young Polynesian Male.","authors":"Saeed Arabi, Victoria Vardell, Timothy Hanley, Scott Florell, Ahmad Halwani, Ming Lim","doi":"10.1155/crh/8582804","DOIUrl":null,"url":null,"abstract":"<p><p>Primary cutaneous gamma-delta T-cell lymphoma (PCGD-TCL) is a very rare subtype of cutaneous T-cell lymphoma. We report the case of a young Polynesian male who presented with fever and an abdominal wall rash and highlight the workup leading to the diagnosis of PCGD-TCL. As PCGD-TCL is rare and mimics other medical conditions, its diagnosis requires a high index of suspicion and can be challenging. Hemophagocytic lymphohistiocytosis (HLH) occurs with PCGD-TCL and can be a marker of more invasive disease. There are no well-defined treatment guidelines, but the most common treatment approach is anthracycline-based multiagent chemotherapy followed by allogeneic stem cell transplant. Targeted therapies are being increasingly used as well. Prognosis remains poor and 5-year survival is < 20%, particularly in more invasive disease. We highlight how this patient's demographic varies from the published literature and discuss some unique particulars of the diagnostic evaluation and treatment, especially in the presence of concurrent HLH.</p>","PeriodicalId":46307,"journal":{"name":"Case Reports in Hematology","volume":"2025 ","pages":"8582804"},"PeriodicalIF":0.7000,"publicationDate":"2025-05-23","publicationTypes":"Journal Article","fieldsOfStudy":null,"isOpenAccess":false,"openAccessPdf":"https://www.ncbi.nlm.nih.gov/pmc/articles/PMC12124927/pdf/","citationCount":"0","resultStr":null,"platform":"Semanticscholar","paperid":null,"PeriodicalName":"Case Reports in Hematology","FirstCategoryId":"1085","ListUrlMain":"https://doi.org/10.1155/crh/8582804","RegionNum":0,"RegionCategory":null,"ArticlePicture":[],"TitleCN":null,"AbstractTextCN":null,"PMCID":null,"EPubDate":"2025/1/1 0:00:00","PubModel":"eCollection","JCR":"Q4","JCRName":"HEMATOLOGY","Score":null,"Total":0}
引用次数: 0

Abstract

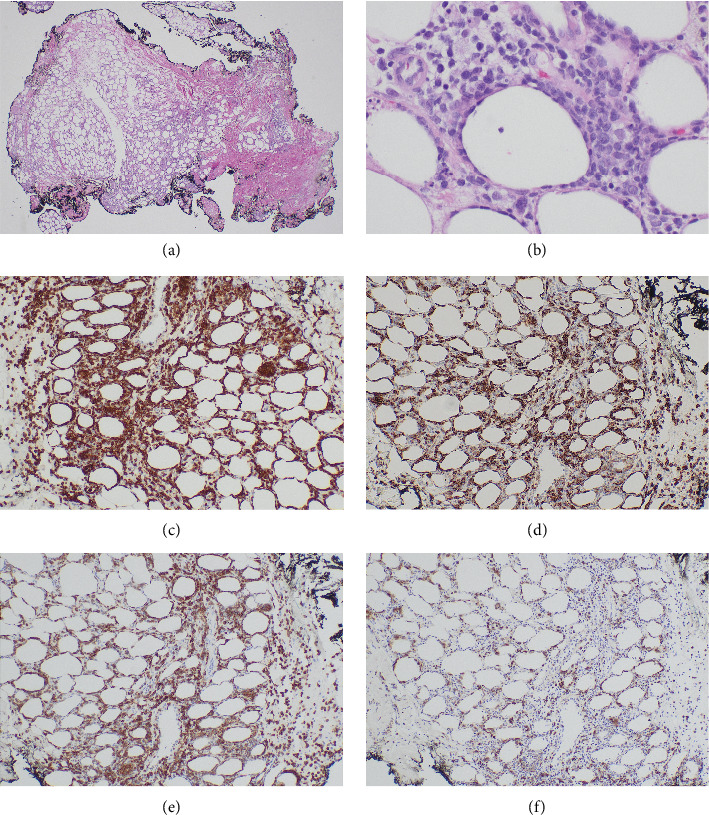
Primary cutaneous gamma-delta T-cell lymphoma (PCGD-TCL) is a very rare subtype of cutaneous T-cell lymphoma. We report the case of a young Polynesian male who presented with fever and an abdominal wall rash and highlight the workup leading to the diagnosis of PCGD-TCL. As PCGD-TCL is rare and mimics other medical conditions, its diagnosis requires a high index of suspicion and can be challenging. Hemophagocytic lymphohistiocytosis (HLH) occurs with PCGD-TCL and can be a marker of more invasive disease. There are no well-defined treatment guidelines, but the most common treatment approach is anthracycline-based multiagent chemotherapy followed by allogeneic stem cell transplant. Targeted therapies are being increasingly used as well. Prognosis remains poor and 5-year survival is < 20%, particularly in more invasive disease. We highlight how this patient's demographic varies from the published literature and discuss some unique particulars of the diagnostic evaluation and treatment, especially in the presence of concurrent HLH.

Abstract Image

Abstract Image

Abstract Image

原发性皮肤γ - δ t细胞淋巴瘤一例年轻波利尼西亚男性表现为噬血细胞性淋巴组织细胞增多症。
原发性皮肤γ δ t细胞淋巴瘤(PCGD-TCL)是一种非常罕见的皮肤t细胞淋巴瘤亚型。我们报告一个年轻的波利尼西亚男性谁提出发烧和腹壁皮疹,并强调检查导致诊断PCGD-TCL。由于PCGD-TCL是罕见的,并模仿其他医疗条件,其诊断需要高度怀疑,可能具有挑战性。噬血细胞性淋巴组织细胞增多症(HLH)发生于PCGD-TCL,可作为侵袭性疾病的标志。目前还没有明确的治疗指南,但最常见的治疗方法是基于蒽环类药物的多药化疗,然后进行同种异体干细胞移植。靶向治疗也被越来越多地使用。预后仍然很差,5年生存率< 20%,尤其是侵袭性较强的疾病。我们强调了该患者的人口统计学与已发表文献的差异,并讨论了诊断评估和治疗的一些独特细节,特别是在并发HLH的情况下。
本文章由计算机程序翻译,如有差异,请以英文原文为准。
求助全文
约1分钟内获得全文 求助全文
来源期刊
自引率
0.00%
发文量
51
审稿时长
13 weeks
×
引用
GB/T 7714-2015
复制
MLA
复制
APA
复制
导出至
BibTeX EndNote RefMan NoteFirst NoteExpress
×
提示
您的信息不完整,为了账户安全,请先补充。
现在去补充
×
提示
您因"违规操作"
具体请查看互助需知
我知道了
×
提示
确定
请完成安全验证×
copy
已复制链接
快去分享给好友吧!
我知道了
右上角分享
点击右上角分享
0
联系我们:info@booksci.cn Book学术提供免费学术资源搜索服务,方便国内外学者检索中英文文献。致力于提供最便捷和优质的服务体验。 Copyright © 2023 布克学术 All rights reserved.
京ICP备2023020795号-1
ghs 京公网安备 11010802042870号
Book学术文献互助
Book学术文献互助群
群 号:604180095
Book学术官方微信