Unexpectedly Low FDG and FAPI Uptake in Mucosal Melanoma: Case Report with Literature Review.

IF 0.5 Q4 RADIOLOGY, NUCLEAR MEDICINE & MEDICAL IMAGING
Indian Journal of Nuclear Medicine Pub Date : 2025-01-01 Epub Date: 2025-05-16 DOI:10.4103/ijnm.ijnm_123_24
Nimmagadda Ajit, Prathyusha Bikkina, Zakir Ali Abubacker, C B Virupakshappa, S Lm Chandrasekhar Rao, Koyye Ravindranath Tagore, Suseela Kodandapani
{"title":"Unexpectedly Low FDG and FAPI Uptake in Mucosal Melanoma: Case Report with Literature Review.","authors":"Nimmagadda Ajit, Prathyusha Bikkina, Zakir Ali Abubacker, C B Virupakshappa, S Lm Chandrasekhar Rao, Koyye Ravindranath Tagore, Suseela Kodandapani","doi":"10.4103/ijnm.ijnm_123_24","DOIUrl":null,"url":null,"abstract":"<p><p>Mucosal melanomas (MMs) represent a rare subset of melanomas arising from melanocytes in noncutaneous sites such as mucosal membranes of the head-and-neck, gastrointestinal, and genitourinary tracts. Unlike cutaneous melanomas, MMs often present late due to their occult nature, leading to a poor prognosis. Fluorine-18 fludeoxyglucose positron emission tomography/computed tomography (18F-FDG PET/CT) is widely utilized for staging and monitoring melanomas, leveraging their characteristic high FDG avidity. Recently, fibroblast activation protein inhibitor (FAPI)-based PET/CT imaging has become a popular modality in the evaluation of various cancers. Here, we present a case of MM where FDG avidity was notably absent and mild FAPI avidity, despite the lesion's typical anatomical location and clinical suspicion. This case highlights an uncommon scenario within the literature and underscores the variability in radiotracer uptake observed in MMs, challenging conventional imaging expectations and potentially impacting clinical management decisions.</p>","PeriodicalId":45830,"journal":{"name":"Indian Journal of Nuclear Medicine","volume":"40 1","pages":"32-35"},"PeriodicalIF":0.5000,"publicationDate":"2025-01-01","publicationTypes":"Journal Article","fieldsOfStudy":null,"isOpenAccess":false,"openAccessPdf":"https://www.ncbi.nlm.nih.gov/pmc/articles/PMC12121843/pdf/","citationCount":"0","resultStr":null,"platform":"Semanticscholar","paperid":null,"PeriodicalName":"Indian Journal of Nuclear Medicine","FirstCategoryId":"1085","ListUrlMain":"https://doi.org/10.4103/ijnm.ijnm_123_24","RegionNum":0,"RegionCategory":null,"ArticlePicture":[],"TitleCN":null,"AbstractTextCN":null,"PMCID":null,"EPubDate":"2025/5/16 0:00:00","PubModel":"Epub","JCR":"Q4","JCRName":"RADIOLOGY, NUCLEAR MEDICINE & MEDICAL IMAGING","Score":null,"Total":0}
引用次数: 0

Abstract

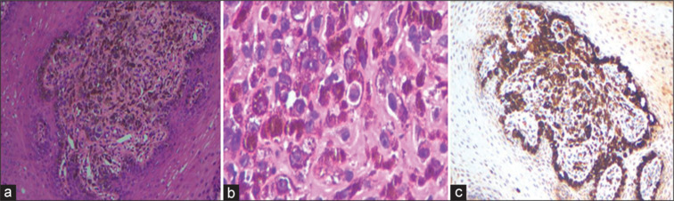
Mucosal melanomas (MMs) represent a rare subset of melanomas arising from melanocytes in noncutaneous sites such as mucosal membranes of the head-and-neck, gastrointestinal, and genitourinary tracts. Unlike cutaneous melanomas, MMs often present late due to their occult nature, leading to a poor prognosis. Fluorine-18 fludeoxyglucose positron emission tomography/computed tomography (18F-FDG PET/CT) is widely utilized for staging and monitoring melanomas, leveraging their characteristic high FDG avidity. Recently, fibroblast activation protein inhibitor (FAPI)-based PET/CT imaging has become a popular modality in the evaluation of various cancers. Here, we present a case of MM where FDG avidity was notably absent and mild FAPI avidity, despite the lesion's typical anatomical location and clinical suspicion. This case highlights an uncommon scenario within the literature and underscores the variability in radiotracer uptake observed in MMs, challenging conventional imaging expectations and potentially impacting clinical management decisions.

Abstract Image

Abstract Image

Abstract Image

黏膜黑色素瘤中FDG和FAPI摄取异常低:病例报告并文献复习。
粘膜黑色素瘤(MMs)是一种罕见的黑色素瘤,起源于非皮肤部位的黑色素细胞,如头颈部、胃肠道和泌尿生殖道的粘膜。与皮肤黑色素瘤不同,mm由于其隐匿性,通常出现较晚,导致预后不良。氟-18氟脱氧葡萄糖正电子发射断层扫描/计算机断层扫描(18F-FDG PET/CT)被广泛用于黑色素瘤的分期和监测,利用其高FDG的特性。近年来,基于成纤维细胞活化蛋白抑制剂(FAPI)的PET/CT成像已成为评估各种癌症的一种流行方式。在这里,我们报告了一例MM,尽管病变具有典型的解剖位置和临床怀疑,但FDG贪婪明显缺失,FAPI贪婪轻微。该病例强调了文献中不常见的情况,并强调了mm中观察到的放射性示踪剂摄取的可变性,挑战了传统的影像学期望,并可能影响临床管理决策。
本文章由计算机程序翻译,如有差异,请以英文原文为准。
求助全文
约1分钟内获得全文 求助全文
来源期刊
Indian Journal of Nuclear Medicine
Indian Journal of Nuclear Medicine RADIOLOGY, NUCLEAR MEDICINE & MEDICAL IMAGING-
CiteScore
0.70
自引率
0.00%
发文量
46
×
引用
GB/T 7714-2015
复制
MLA
复制
APA
复制
导出至
BibTeX EndNote RefMan NoteFirst NoteExpress
×
提示
您的信息不完整,为了账户安全,请先补充。
现在去补充
×
提示
您因"违规操作"
具体请查看互助需知
我知道了
×
提示
确定
请完成安全验证×
copy
已复制链接
快去分享给好友吧!
我知道了
右上角分享
点击右上角分享
0
联系我们:info@booksci.cn Book学术提供免费学术资源搜索服务,方便国内外学者检索中英文文献。致力于提供最便捷和优质的服务体验。 Copyright © 2023 布克学术 All rights reserved.
京ICP备2023020795号-1
ghs 京公网安备 11010802042870号
Book学术文献互助
Book学术文献互助群
群 号:604180095
Book学术官方微信