A Case of Invasive Lobular Carcinoma of the Breast Presenting with Gastric and Uterine Metastases Demonstrated on F-18 FDG PET CT.

IF 0.5 Q4 RADIOLOGY, NUCLEAR MEDICINE & MEDICAL IMAGING
Indian Journal of Nuclear Medicine Pub Date : 2025-01-01 Epub Date: 2025-05-16 DOI:10.4103/ijnm.ijnm_105_24
Pramukh Kulkarni, Gayana Shankaramurthy, Vivek Belathur, B S Ravindra
{"title":"A Case of Invasive Lobular Carcinoma of the Breast Presenting with Gastric and Uterine Metastases Demonstrated on F-18 FDG PET CT.","authors":"Pramukh Kulkarni, Gayana Shankaramurthy, Vivek Belathur, B S Ravindra","doi":"10.4103/ijnm.ijnm_105_24","DOIUrl":null,"url":null,"abstract":"<p><p>Invasive lobular carcinoma (ILC) of the breast is distinct among breast cancer subtypes due to its unique metastatic patterns, including the involvement of the liver, genital tract, and gastrointestinal tract. As ILC often exhibits low-grade fluorodeoxyglucose (FDG) avidity, the role of fluorine-18 FDG (F-18 FDG) positron emission tomography/computed tomography (PET/CT) in evaluating this subtype remains under re-explored. This case report highlights a rare presentation of ILC of the right breast with concurrent gastric and uterine metastases detected on F-18 FDG PET/CT, emphasizing its diagnostic utility.</p>","PeriodicalId":45830,"journal":{"name":"Indian Journal of Nuclear Medicine","volume":"40 1","pages":"36-39"},"PeriodicalIF":0.5000,"publicationDate":"2025-01-01","publicationTypes":"Journal Article","fieldsOfStudy":null,"isOpenAccess":false,"openAccessPdf":"https://www.ncbi.nlm.nih.gov/pmc/articles/PMC12121833/pdf/","citationCount":"0","resultStr":null,"platform":"Semanticscholar","paperid":null,"PeriodicalName":"Indian Journal of Nuclear Medicine","FirstCategoryId":"1085","ListUrlMain":"https://doi.org/10.4103/ijnm.ijnm_105_24","RegionNum":0,"RegionCategory":null,"ArticlePicture":[],"TitleCN":null,"AbstractTextCN":null,"PMCID":null,"EPubDate":"2025/5/16 0:00:00","PubModel":"Epub","JCR":"Q4","JCRName":"RADIOLOGY, NUCLEAR MEDICINE & MEDICAL IMAGING","Score":null,"Total":0}
引用次数: 0

Abstract

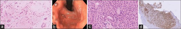
Invasive lobular carcinoma (ILC) of the breast is distinct among breast cancer subtypes due to its unique metastatic patterns, including the involvement of the liver, genital tract, and gastrointestinal tract. As ILC often exhibits low-grade fluorodeoxyglucose (FDG) avidity, the role of fluorine-18 FDG (F-18 FDG) positron emission tomography/computed tomography (PET/CT) in evaluating this subtype remains under re-explored. This case report highlights a rare presentation of ILC of the right breast with concurrent gastric and uterine metastases detected on F-18 FDG PET/CT, emphasizing its diagnostic utility.

Abstract Image

Abstract Image

Abstract Image

F-18 FDG PET扫描显示浸润性乳腺小叶癌伴胃及子宫转移1例。
乳腺浸润性小叶癌(ILC)由于其独特的转移模式,包括累及肝脏、生殖道和胃肠道,在乳腺癌亚型中是不同的。由于ILC经常表现出低级别氟脱氧葡萄糖(FDG)的贪婪性,因此氟-18 FDG (F-18 FDG)正电子发射断层扫描/计算机断层扫描(PET/CT)在评估该亚型中的作用仍有待重新探索。本病例报告强调了在F-18 FDG PET/CT上发现的罕见的右乳ILC并并发胃和子宫转移,强调了其诊断价值。
本文章由计算机程序翻译,如有差异,请以英文原文为准。
求助全文
约1分钟内获得全文 求助全文
来源期刊
Indian Journal of Nuclear Medicine
Indian Journal of Nuclear Medicine RADIOLOGY, NUCLEAR MEDICINE & MEDICAL IMAGING-
CiteScore
0.70
自引率
0.00%
发文量
46
×
引用
GB/T 7714-2015
复制
MLA
复制
APA
复制
导出至
BibTeX EndNote RefMan NoteFirst NoteExpress
×
提示
您的信息不完整,为了账户安全,请先补充。
现在去补充
×
提示
您因"违规操作"
具体请查看互助需知
我知道了
×
提示
确定
请完成安全验证×
copy
已复制链接
快去分享给好友吧!
我知道了
右上角分享
点击右上角分享
0
联系我们:info@booksci.cn Book学术提供免费学术资源搜索服务,方便国内外学者检索中英文文献。致力于提供最便捷和优质的服务体验。 Copyright © 2023 布克学术 All rights reserved.
京ICP备2023020795号-1
ghs 京公网安备 11010802042870号
Book学术文献互助
Book学术文献互助群
群 号:604180095
Book学术官方微信