The Effect of Zataria multiflora Nanoemulsion Gel on Rat Surgical Wound Healing.

IF 1 Q3 SURGERY
Alireza Ganjipour, Ebrahim Nasiri-Formi, Soheil Azizi, Jafar Akbari, Hooshang Akbari, Seyyed Mohammad Hassan Hashemi
{"title":"The Effect of Zataria multiflora Nanoemulsion Gel on Rat Surgical Wound Healing.","authors":"Alireza Ganjipour, Ebrahim Nasiri-Formi, Soheil Azizi, Jafar Akbari, Hooshang Akbari, Seyyed Mohammad Hassan Hashemi","doi":"10.61186/wjps.14.1.33","DOIUrl":null,"url":null,"abstract":"<p><strong>Background: </strong>We aimed to determine the effect of <i>Zataria multiflora</i> Nanoemulsion gel on surgical wound healing.</p><p><strong>Methods: </strong>This experimental study was conducted in the years 2021-2022 at the Animal Research Center of Mazandaran University of Medical Sciences, northern Iran. Forty two male Westar rats were randomly divided into six groups (n=7). After a surgical incision of full thickness with a 3 cm diameter, they were treated for 21 days with diltiazem 2% (positive control), placebo, and <i>Z. multiflora</i> emulsions and nanoemulsions at 2% and 4%, respectively. Macroscopic parameters of wound area and contraction, as well as pathological factors such as granulation, angiogenesis, epithelialization, collagen organization, bacterial colony, inflammation, creatine and epidermal thickness, hair follicles, and lymphatic ducts, were examined.</p><p><strong>Results: </strong>The mean wound size and contraction of the placebo group differed significantly from the other groups on all days, and on some days, the results indicated more favorable effects of nanoemulsions than Diltiazem. Based on the microscopic findings, the average scores on the seventh day were nearly different (<i>P</i>= 0.051); however, all groups scored higher than the placebo group. On the 21<sup>st</sup> day, the best results were related to the 4% Nanoemulsion (242.5), 2% Nanoemulsion (159.4), and 4% emulsion (159.3), followed by diltiazem (154.60), 2% emulsion (146.5), and placebo (70.7).</p><p><strong>Conclusion: </strong><i>Z. multiflora</i> emulsions and nanoemulsions at 2% and 4% could be effective in healing surgical wounds, and the use of 4% Nanoemulsion yields the best results. This is recommended for use in clinical trial studies.</p>","PeriodicalId":23736,"journal":{"name":"World Journal of Plastic Surgery","volume":"14 1","pages":"33-42"},"PeriodicalIF":1.0000,"publicationDate":"2025-01-01","publicationTypes":"Journal Article","fieldsOfStudy":null,"isOpenAccess":false,"openAccessPdf":"https://www.ncbi.nlm.nih.gov/pmc/articles/PMC12124274/pdf/","citationCount":"0","resultStr":null,"platform":"Semanticscholar","paperid":null,"PeriodicalName":"World Journal of Plastic Surgery","FirstCategoryId":"1085","ListUrlMain":"https://doi.org/10.61186/wjps.14.1.33","RegionNum":0,"RegionCategory":null,"ArticlePicture":[],"TitleCN":null,"AbstractTextCN":null,"PMCID":null,"EPubDate":"","PubModel":"","JCR":"Q3","JCRName":"SURGERY","Score":null,"Total":0}
引用次数: 0

Abstract

Background: We aimed to determine the effect of Zataria multiflora Nanoemulsion gel on surgical wound healing.

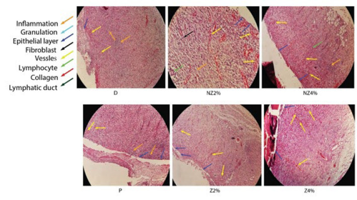
Methods: This experimental study was conducted in the years 2021-2022 at the Animal Research Center of Mazandaran University of Medical Sciences, northern Iran. Forty two male Westar rats were randomly divided into six groups (n=7). After a surgical incision of full thickness with a 3 cm diameter, they were treated for 21 days with diltiazem 2% (positive control), placebo, and Z. multiflora emulsions and nanoemulsions at 2% and 4%, respectively. Macroscopic parameters of wound area and contraction, as well as pathological factors such as granulation, angiogenesis, epithelialization, collagen organization, bacterial colony, inflammation, creatine and epidermal thickness, hair follicles, and lymphatic ducts, were examined.

Results: The mean wound size and contraction of the placebo group differed significantly from the other groups on all days, and on some days, the results indicated more favorable effects of nanoemulsions than Diltiazem. Based on the microscopic findings, the average scores on the seventh day were nearly different (P= 0.051); however, all groups scored higher than the placebo group. On the 21st day, the best results were related to the 4% Nanoemulsion (242.5), 2% Nanoemulsion (159.4), and 4% emulsion (159.3), followed by diltiazem (154.60), 2% emulsion (146.5), and placebo (70.7).

Conclusion: Z. multiflora emulsions and nanoemulsions at 2% and 4% could be effective in healing surgical wounds, and the use of 4% Nanoemulsion yields the best results. This is recommended for use in clinical trial studies.

Abstract Image

Abstract Image

Abstract Image

何首乌纳米乳凝胶对大鼠手术伤口愈合的影响。
背景:我们旨在研究何首乌纳米乳凝胶对外科创面愈合的影响。方法:本实验研究于2021-2022年在伊朗北部Mazandaran医科大学动物研究中心进行。42只雄性wesstar大鼠随机分为6组(n=7)。手术切口全厚,直径3cm后,他们分别用2%的地尔硫卓(阳性对照)、安慰剂、2%和4%的多花草乳剂和纳米乳剂治疗21天。检查伤口面积和收缩的宏观参数,以及肉芽、血管生成、上皮化、胶原组织、细菌菌落、炎症、肌酸和表皮厚度、毛囊、淋巴管等病理因素。结果:安慰剂组的平均创面大小和收缩在所有天内与其他组有显著差异,并且在某些天,结果表明纳米乳比地尔硫卓更有利。显微观察结果显示,第7天的平均得分相差不大(P= 0.051);然而,所有组的得分都高于安慰剂组。在第21天,4%纳米乳(242.5)、2%纳米乳(159.4)和4%纳米乳(159.3)效果最好,其次是地尔硫卓(154.60)、2%纳米乳(146.5)和安慰剂(70.7)。结论:多连草乳剂和2%、4%纳米乳剂均能有效治疗外科创面,以4%纳米乳剂效果最好。推荐用于临床试验研究。
本文章由计算机程序翻译,如有差异,请以英文原文为准。
求助全文
约1分钟内获得全文 求助全文
来源期刊
自引率
11.10%
发文量
41
×
引用
GB/T 7714-2015
复制
MLA
复制
APA
复制
导出至
BibTeX EndNote RefMan NoteFirst NoteExpress
×
提示
您的信息不完整,为了账户安全,请先补充。
现在去补充
×
提示
您因"违规操作"
具体请查看互助需知
我知道了
×
提示
确定
请完成安全验证×
copy
已复制链接
快去分享给好友吧!
我知道了
右上角分享
点击右上角分享
0
联系我们:info@booksci.cn Book学术提供免费学术资源搜索服务,方便国内外学者检索中英文文献。致力于提供最便捷和优质的服务体验。 Copyright © 2023 布克学术 All rights reserved.
京ICP备2023020795号-1
ghs 京公网安备 11010802042870号
Book学术文献互助
Book学术文献互助群
群 号:604180095
Book学术官方微信