Obstructive Pharyngo-Laryngeal Hematoma Complicating Oral Anticoagulation: Case Report.

Q3 Medicine
Maissa Lajhouri, Houda Chahed, Rania Laajailia, Rihab Lahmer, Azza Mediouni, Najeh Beltaief
{"title":"Obstructive Pharyngo-Laryngeal Hematoma Complicating Oral Anticoagulation: Case Report.","authors":"Maissa Lajhouri, Houda Chahed, Rania Laajailia, Rihab Lahmer, Azza Mediouni, Najeh Beltaief","doi":"10.22038/ijorl.2025.82416.3772","DOIUrl":null,"url":null,"abstract":"<p><strong>Introduction: </strong>Spontaneous pharyngo-laryngeal hematoma in patients receiving oral anticoagulants is rare and potentially fatal because of upper airway obstruction. Many risk factors can cause potential hemorrhagic complications, such as drug interactions.</p><p><strong>Case report: </strong>We present the case of a 74-year-old man who was on oral anticoagulation by acenocoumarol and presented with acute laryngeal dyspnea. The final diagnosis of pharyngo-laryngeal hematoma secondary to hypercoagulation was made based on the clinical, biological, and radiological features. Therefore, conservative management was initiated. Drug interactions between anticoagulants and macrolides were the probable underlying causes of excessive anticoagulation.</p><p><strong>Conclusion: </strong>Pharyngo-laryngeal hematoma should be considered in patients receiving anticoagulant therapy with symptoms of upper airway obstruction. Drug interactions may be the underlying cause of hypercoagulation, so medications should be carefully prescribed to these patients.</p>","PeriodicalId":14607,"journal":{"name":"Iranian Journal of Otorhinolaryngology","volume":"37 3","pages":"165-168"},"PeriodicalIF":0.0000,"publicationDate":"2025-01-01","publicationTypes":"Journal Article","fieldsOfStudy":null,"isOpenAccess":false,"openAccessPdf":"https://www.ncbi.nlm.nih.gov/pmc/articles/PMC12126199/pdf/","citationCount":"0","resultStr":null,"platform":"Semanticscholar","paperid":null,"PeriodicalName":"Iranian Journal of Otorhinolaryngology","FirstCategoryId":"1085","ListUrlMain":"https://doi.org/10.22038/ijorl.2025.82416.3772","RegionNum":0,"RegionCategory":null,"ArticlePicture":[],"TitleCN":null,"AbstractTextCN":null,"PMCID":null,"EPubDate":"","PubModel":"","JCR":"Q3","JCRName":"Medicine","Score":null,"Total":0}
引用次数: 0

Abstract

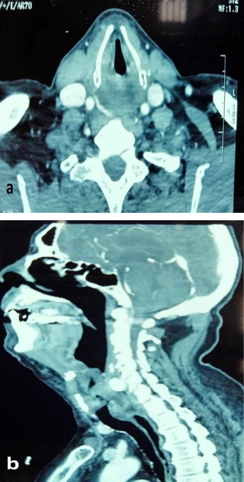
Introduction: Spontaneous pharyngo-laryngeal hematoma in patients receiving oral anticoagulants is rare and potentially fatal because of upper airway obstruction. Many risk factors can cause potential hemorrhagic complications, such as drug interactions.

Case report: We present the case of a 74-year-old man who was on oral anticoagulation by acenocoumarol and presented with acute laryngeal dyspnea. The final diagnosis of pharyngo-laryngeal hematoma secondary to hypercoagulation was made based on the clinical, biological, and radiological features. Therefore, conservative management was initiated. Drug interactions between anticoagulants and macrolides were the probable underlying causes of excessive anticoagulation.

Conclusion: Pharyngo-laryngeal hematoma should be considered in patients receiving anticoagulant therapy with symptoms of upper airway obstruction. Drug interactions may be the underlying cause of hypercoagulation, so medications should be carefully prescribed to these patients.

Abstract Image

Abstract Image

Abstract Image

咽喉梗阻性血肿并发口服抗凝1例。
摘要:口服抗凝剂治疗的患者发生自发性咽喉血肿是罕见的,并且由于上呼吸道阻塞可能致命。许多危险因素可引起潜在的出血性并发症,如药物相互作用。病例报告:我们提出的情况下,74岁的男子谁是口服抗凝由阿塞古豆素和提出急性喉部呼吸困难。根据临床,生物学和放射学特征对继发于高凝的咽-喉血肿做出最终诊断。因此,保守管理开始了。抗凝剂和大环内酯之间的药物相互作用可能是过度抗凝的潜在原因。结论:有上呼吸道阻塞症状的患者在接受抗凝治疗时应考虑咽喉血肿。药物相互作用可能是导致高凝的根本原因,因此对这些患者应谨慎用药。
本文章由计算机程序翻译,如有差异,请以英文原文为准。
求助全文
约1分钟内获得全文 求助全文
来源期刊
Iranian Journal of Otorhinolaryngology
Iranian Journal of Otorhinolaryngology Medicine-Otorhinolaryngology
CiteScore
1.30
自引率
0.00%
发文量
72
审稿时长
12 weeks
×
引用
GB/T 7714-2015
复制
MLA
复制
APA
复制
导出至
BibTeX EndNote RefMan NoteFirst NoteExpress
×
提示
您的信息不完整,为了账户安全,请先补充。
现在去补充
×
提示
您因"违规操作"
具体请查看互助需知
我知道了
×
提示
确定
请完成安全验证×
copy
已复制链接
快去分享给好友吧!
我知道了
右上角分享
点击右上角分享
0
联系我们:info@booksci.cn Book学术提供免费学术资源搜索服务,方便国内外学者检索中英文文献。致力于提供最便捷和优质的服务体验。 Copyright © 2023 布克学术 All rights reserved.
京ICP备2023020795号-1
ghs 京公网安备 11010802042870号
Book学术文献互助
Book学术文献互助群
群 号:604180095
Book学术官方微信