Kikuchi-Fujimoto Disease: A Rare Condition Mimicking Sepsis.

Q3 Medicine
Sethu Thakachy Subha, Naseeha Roslan Ainur, Mohd Ali Razana
{"title":"Kikuchi-Fujimoto Disease: A Rare Condition Mimicking Sepsis.","authors":"Sethu Thakachy Subha, Naseeha Roslan Ainur, Mohd Ali Razana","doi":"10.22038/ijorl.2025.82006.3754","DOIUrl":null,"url":null,"abstract":"<p><strong>Introduction: </strong>Kikuchi-Fujimoto disease is a self-limited disease which is also known as histiocytic necrotizing lymphadenitis. The Kikuchi-Fujimoto disease is a rare cause of cervical lymphadenopathy, with or without systemic signs, such as fever, leukopenia, and skin rashes.</p><p><strong>Case report: </strong>We presented a case of Kikuchi-Fujimoto disease in a 29-year-old female mimicking sepsis after a COVID-19 infection. Clinical examination revealed stable vitals and multiple diffuse non-tender bilateral cervical and axillary lymph adenopathy with hepatosplenomegaly. The patient's blood parameters showed leukopenia, raised erythrocyte sedimentation rate, lactate dehydrogenase, microcytic hypochromic anemia with normal renal and liver function tests. The patient was treated with broad spectrum intravenous antibiotics and subcutaneous neupogen with a clinical suspicion of sepsis. The patient then underwent a CT scan which validated the clinical findings. Although the fever subsided, a persistent cervical lymphadenopathy was observed and the biopsy confirmed it to be necrotising lymph adenitis secondary to Kikuchi-Fujimoto disease. This patient has been regularly monitored and has shown resolution of cervical lymphadenopathy.</p><p><strong>Conclusion: </strong>Clinicians should suspect Kikuchi-Fujimoto disease when patients present with persistent cervical lymphadenopathy unresponsive to initial medical treatment. Lymph node biopsy should be undertaken to rule out Kikuchi-Fujimoto disease and prevent these patients from extensive diagnostic procedures and inappropriate treatment modalities.</p>","PeriodicalId":14607,"journal":{"name":"Iranian Journal of Otorhinolaryngology","volume":"37 3","pages":"161-164"},"PeriodicalIF":0.0000,"publicationDate":"2025-01-01","publicationTypes":"Journal Article","fieldsOfStudy":null,"isOpenAccess":false,"openAccessPdf":"https://www.ncbi.nlm.nih.gov/pmc/articles/PMC12126200/pdf/","citationCount":"0","resultStr":null,"platform":"Semanticscholar","paperid":null,"PeriodicalName":"Iranian Journal of Otorhinolaryngology","FirstCategoryId":"1085","ListUrlMain":"https://doi.org/10.22038/ijorl.2025.82006.3754","RegionNum":0,"RegionCategory":null,"ArticlePicture":[],"TitleCN":null,"AbstractTextCN":null,"PMCID":null,"EPubDate":"","PubModel":"","JCR":"Q3","JCRName":"Medicine","Score":null,"Total":0}
引用次数: 0

Abstract

Introduction: Kikuchi-Fujimoto disease is a self-limited disease which is also known as histiocytic necrotizing lymphadenitis. The Kikuchi-Fujimoto disease is a rare cause of cervical lymphadenopathy, with or without systemic signs, such as fever, leukopenia, and skin rashes.

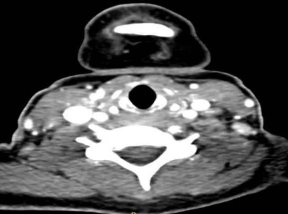
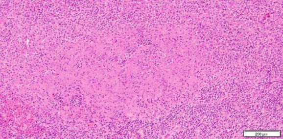
Case report: We presented a case of Kikuchi-Fujimoto disease in a 29-year-old female mimicking sepsis after a COVID-19 infection. Clinical examination revealed stable vitals and multiple diffuse non-tender bilateral cervical and axillary lymph adenopathy with hepatosplenomegaly. The patient's blood parameters showed leukopenia, raised erythrocyte sedimentation rate, lactate dehydrogenase, microcytic hypochromic anemia with normal renal and liver function tests. The patient was treated with broad spectrum intravenous antibiotics and subcutaneous neupogen with a clinical suspicion of sepsis. The patient then underwent a CT scan which validated the clinical findings. Although the fever subsided, a persistent cervical lymphadenopathy was observed and the biopsy confirmed it to be necrotising lymph adenitis secondary to Kikuchi-Fujimoto disease. This patient has been regularly monitored and has shown resolution of cervical lymphadenopathy.

Conclusion: Clinicians should suspect Kikuchi-Fujimoto disease when patients present with persistent cervical lymphadenopathy unresponsive to initial medical treatment. Lymph node biopsy should be undertaken to rule out Kikuchi-Fujimoto disease and prevent these patients from extensive diagnostic procedures and inappropriate treatment modalities.

Abstract Image

Abstract Image

Abstract Image

菊池-藤本病:一种类似败血症的罕见疾病。
简介:菊池-藤本病是一种自限性疾病,又称组织细胞坏死性淋巴结炎。菊池-藤本病是一种罕见的颈部淋巴结病,有或无全身体征,如发热、白细胞减少和皮疹。病例报告:我们报告了一例29岁女性在COVID-19感染后模仿败血症的菊池-藤本病。临床检查显示生命体征稳定,双侧颈部及腋窝多发弥漫性无压痛性淋巴结肿大伴肝脾肿大。患者血液指标为白细胞减少、红细胞沉降、乳酸脱氢酶升高、小细胞性低色素贫血,肾功能、肝功能检查正常。患者经广谱静脉注射抗生素和皮下吸氧治疗,临床怀疑为败血症。患者随后接受了CT扫描,证实了临床结果。虽然发烧消退,但观察到持续的颈部淋巴结病,活检证实为继发于菊池-藤本病的坏死性淋巴腺炎。该患者已定期监测,并已显示颈淋巴肿大的解决。结论:临床医生应怀疑菊池-藤本病,当患者表现为持续颈淋巴肿大,对最初的药物治疗无反应。应进行淋巴结活检以排除菊池-藤本病,并防止这些患者进行广泛的诊断程序和不适当的治疗方式。
本文章由计算机程序翻译,如有差异,请以英文原文为准。
求助全文
约1分钟内获得全文 求助全文
来源期刊
Iranian Journal of Otorhinolaryngology
Iranian Journal of Otorhinolaryngology Medicine-Otorhinolaryngology
CiteScore
1.30
自引率
0.00%
发文量
72
审稿时长
12 weeks
×
引用
GB/T 7714-2015
复制
MLA
复制
APA
复制
导出至
BibTeX EndNote RefMan NoteFirst NoteExpress
×
提示
您的信息不完整,为了账户安全,请先补充。
现在去补充
×
提示
您因"违规操作"
具体请查看互助需知
我知道了
×
提示
确定
请完成安全验证×
copy
已复制链接
快去分享给好友吧!
我知道了
右上角分享
点击右上角分享
0
联系我们:info@booksci.cn Book学术提供免费学术资源搜索服务,方便国内外学者检索中英文文献。致力于提供最便捷和优质的服务体验。 Copyright © 2023 布克学术 All rights reserved.
京ICP备2023020795号-1
ghs 京公网安备 11010802042870号
Book学术文献互助
Book学术文献互助群
群 号:604180095
Book学术官方微信