Severe Influenza Patients Who Received Ventilator Management During the 2024 to 2025 Major Influenza-Endemic Season in a Tertiary Hospital in Japan.

IF 0.7 Q3 MEDICINE, GENERAL & INTERNAL
International Medical Case Reports Journal Pub Date : 2025-05-26 eCollection Date: 2025-01-01 DOI:10.2147/IMCRJ.S519471
Masafumi Seki, Daishi Shimada
{"title":"Severe Influenza Patients Who Received Ventilator Management During the 2024 to 2025 Major Influenza-Endemic Season in a Tertiary Hospital in Japan.","authors":"Masafumi Seki, Daishi Shimada","doi":"10.2147/IMCRJ.S519471","DOIUrl":null,"url":null,"abstract":"<p><p>Three cases of severe influenza that required ventilator management in the 2024-2025 season, which was a major influenza season in Japan, are presented. Case 1: A 54-year-old man with obesity developed lobar pneumonia as a result of severe community-acquired pneumonia (CAP) secondary to methicillin-susceptible <i>Staphylococcus aureus</i> (MSSA), as confirmed on sputum culture. The nasal swab was positive for influenza A antigen. Intravenous peramivir and piperacillin/tazobactam were administered for 2 days followed by lascufloxacin and linezolid for 2 weeks. Veno-venous extracorporeal membrane oxygenation (VV-ECMO) was also performed. Case 2: A 63-year-old man with multiple myeloma and chronic kidney disease developed severe pneumonia as a result of CAP. Although influenza A antigen was detected, no bacteria were isolated from his specimens. He showed severe hypoxia and massive ground-glass opacities (GGOs) in both lung fields, but he recovered after administration of peramivir and levofloxacin with prednisolone for 2 days and 2 weeks, respectively, with non-invasive positive pressure support. Case 3: A 43-year-old man without any related medical history developed severe heart failure with mild bronchopneumonia and was admitted to our hospital. Acute heart failure caused by myocarditis and CAP due to influenza A were suspected and treated effectively with peramivir and a percutaneous ventricular assist device (IMPELLA), which involved an auxiliary circulating pump with veno-arterial ECMO (VA-ECMO) for 1 day and 2 weeks, respectively. In three middle-aged patients, influenza virus may have accelerated pneumonia/heart failure. All three patients had not received influenza vaccines and were not elderly. Although the emphasis on most vaccines has decreased after the COVID-19 pandemic appears to have subsided, we should stress the importance of influenza vaccines and improvement of critical care protocols, because severe influenza can be a concern for young and middle-aged adults during the influenza season after the post COVID-19 pandemic period.</p>","PeriodicalId":14337,"journal":{"name":"International Medical Case Reports Journal","volume":"18 ","pages":"621-627"},"PeriodicalIF":0.7000,"publicationDate":"2025-05-26","publicationTypes":"Journal Article","fieldsOfStudy":null,"isOpenAccess":false,"openAccessPdf":"https://www.ncbi.nlm.nih.gov/pmc/articles/PMC12124409/pdf/","citationCount":"0","resultStr":null,"platform":"Semanticscholar","paperid":null,"PeriodicalName":"International Medical Case Reports Journal","FirstCategoryId":"1085","ListUrlMain":"https://doi.org/10.2147/IMCRJ.S519471","RegionNum":0,"RegionCategory":null,"ArticlePicture":[],"TitleCN":null,"AbstractTextCN":null,"PMCID":null,"EPubDate":"2025/1/1 0:00:00","PubModel":"eCollection","JCR":"Q3","JCRName":"MEDICINE, GENERAL & INTERNAL","Score":null,"Total":0}
引用次数: 0

Abstract

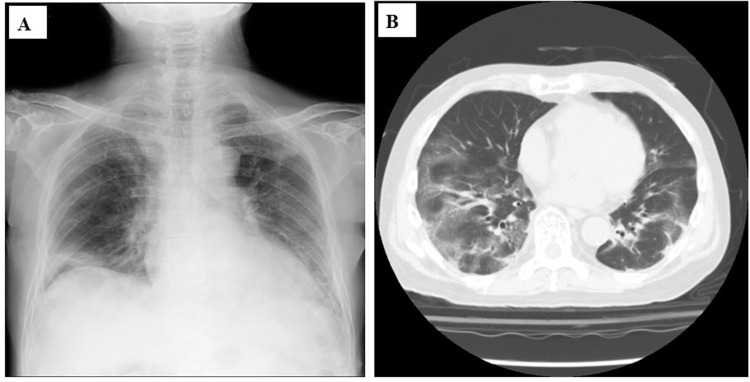
Three cases of severe influenza that required ventilator management in the 2024-2025 season, which was a major influenza season in Japan, are presented. Case 1: A 54-year-old man with obesity developed lobar pneumonia as a result of severe community-acquired pneumonia (CAP) secondary to methicillin-susceptible Staphylococcus aureus (MSSA), as confirmed on sputum culture. The nasal swab was positive for influenza A antigen. Intravenous peramivir and piperacillin/tazobactam were administered for 2 days followed by lascufloxacin and linezolid for 2 weeks. Veno-venous extracorporeal membrane oxygenation (VV-ECMO) was also performed. Case 2: A 63-year-old man with multiple myeloma and chronic kidney disease developed severe pneumonia as a result of CAP. Although influenza A antigen was detected, no bacteria were isolated from his specimens. He showed severe hypoxia and massive ground-glass opacities (GGOs) in both lung fields, but he recovered after administration of peramivir and levofloxacin with prednisolone for 2 days and 2 weeks, respectively, with non-invasive positive pressure support. Case 3: A 43-year-old man without any related medical history developed severe heart failure with mild bronchopneumonia and was admitted to our hospital. Acute heart failure caused by myocarditis and CAP due to influenza A were suspected and treated effectively with peramivir and a percutaneous ventricular assist device (IMPELLA), which involved an auxiliary circulating pump with veno-arterial ECMO (VA-ECMO) for 1 day and 2 weeks, respectively. In three middle-aged patients, influenza virus may have accelerated pneumonia/heart failure. All three patients had not received influenza vaccines and were not elderly. Although the emphasis on most vaccines has decreased after the COVID-19 pandemic appears to have subsided, we should stress the importance of influenza vaccines and improvement of critical care protocols, because severe influenza can be a concern for young and middle-aged adults during the influenza season after the post COVID-19 pandemic period.

Abstract Image

Abstract Image

Abstract Image

日本某三级医院2024 - 2025年流感流行季接受呼吸机管理的重症流感患者
在日本的主要流感季节2024-2025季节,提出了三例需要呼吸机管理的严重流感病例。病例1:一名54岁的肥胖男性,痰培养证实为甲氧西林敏感金黄色葡萄球菌(MSSA)继发的严重社区获得性肺炎(CAP),并发大叶性肺炎。鼻拭子对甲型流感抗原呈阳性反应。静脉给予帕拉米韦和哌拉西林/他唑巴坦2天,随后给予拉库沙星和利奈唑胺2周。静脉-静脉体外膜氧合(VV-ECMO)。病例2:一名患有多发性骨髓瘤和慢性肾脏疾病的63岁男子因CAP而发展为严重肺炎。尽管检测到甲型流感抗原,但未从其标本中分离出细菌。患者表现为严重缺氧,双肺野大量磨玻璃浊(GGOs),经帕拉米韦、左氧氟沙星联合强的松龙治疗2天、2周,并给予无创正压支持后恢复。病例3:43岁男性,无相关病史,因严重心力衰竭合并轻度支气管肺炎入住我院。怀疑甲型流感引起的心肌炎和CAP引起的急性心力衰竭,并使用peramivir和经皮心室辅助装置(IMPELLA)进行有效治疗,其中包括辅助循环泵和静脉-动脉ECMO (VA-ECMO),分别持续1天和2周。在3例中年患者中,流感病毒可能加速了肺炎/心力衰竭。这三名患者均未接种流感疫苗,也不是老年人。尽管在COVID-19大流行似乎消退后,对大多数疫苗的重视程度有所下降,但我们应该强调流感疫苗和改进重症监护方案的重要性,因为在COVID-19大流行后的流感季节,严重流感可能成为年轻人和中年人的一个问题。
本文章由计算机程序翻译,如有差异,请以英文原文为准。
求助全文
约1分钟内获得全文 求助全文
来源期刊
International Medical Case Reports Journal
International Medical Case Reports Journal MEDICINE, GENERAL & INTERNAL-
CiteScore
1.40
自引率
0.00%
发文量
135
审稿时长
16 weeks
期刊介绍: International Medical Case Reports Journal is an international, peer-reviewed, open access, online journal publishing original case reports from all medical specialties. Submissions should not normally exceed 3,000 words or 4 published pages including figures, diagrams and references. As of 1st April 2019, the International Medical Case Reports Journal will no longer consider meta-analyses for publication.
×
引用
GB/T 7714-2015
复制
MLA
复制
APA
复制
导出至
BibTeX EndNote RefMan NoteFirst NoteExpress
×
提示
您的信息不完整,为了账户安全,请先补充。
现在去补充
×
提示
您因"违规操作"
具体请查看互助需知
我知道了
×
提示
确定
请完成安全验证×
copy
已复制链接
快去分享给好友吧!
我知道了
右上角分享
点击右上角分享
0
联系我们:info@booksci.cn Book学术提供免费学术资源搜索服务,方便国内外学者检索中英文文献。致力于提供最便捷和优质的服务体验。 Copyright © 2023 布克学术 All rights reserved.
京ICP备2023020795号-1
ghs 京公网安备 11010802042870号
Book学术文献互助
Book学术文献互助群
群 号:604180095
Book学术官方微信