Diagnostic and Therapeutic Challenges of Cardiac Metastasis in Advanced Malignancies: A Case Series and Literature Review.

IF 0.6 Q4 ONCOLOGY
Case Reports in Oncological Medicine Pub Date : 2025-05-24 eCollection Date: 2025-01-01 DOI:10.1155/crom/7374561
Moath Albliwi, Aravinthan Vignarajah, Nishanthi Vigneswaramoorthy, Ayham Mohammad Hussein, Asfand Yar Cheema, Shimoli Barot, Gautam Shah
{"title":"Diagnostic and Therapeutic Challenges of Cardiac Metastasis in Advanced Malignancies: A Case Series and Literature Review.","authors":"Moath Albliwi, Aravinthan Vignarajah, Nishanthi Vigneswaramoorthy, Ayham Mohammad Hussein, Asfand Yar Cheema, Shimoli Barot, Gautam Shah","doi":"10.1155/crom/7374561","DOIUrl":null,"url":null,"abstract":"<p><p><b>Background:</b> Cardiac metastases, though more common than primary cardiac tumors, remain under-recognized due to their often subtle clinical presentation. These tumors can lead to life-threatening complications, and their diagnosis is typically delayed. <b>Objective:</b> This paper is aimed at reviewing two distinct cases of metastatic cardiac tumors, shedding light on diagnostic challenges, clinical presentations, and management approaches. <b>Methods:</b> We present two cases of patients with metastatic melanoma and undifferentiated malignant spindle cell neoplasm, respectively. Diagnostic imaging, including echocardiography and PET scans, was used to identify the cardiac masses, and biopsy results provided histopathological confirmation. Treatment plans involved systemic immunotherapy, chemotherapy, and surgical resection. <b>Results:</b> In both cases, cardiac metastases were detected through advanced imaging, despite the patients presenting with nonspecific symptoms like abdominal pain and shortness of breath. The metastatic tumor in one patient responded to immunotherapy before surgical excision, while the other patient, in advanced stages, opted for supportive care. <b>Conclusion:</b> Cardiac metastasis should be considered in cancer patients who present with unexplained cardiac symptoms. A multidisciplinary approach, including imaging and biopsy, is crucial for accurate diagnosis. Despite aggressive treatment, the prognosis remains poor, emphasizing the need for early detection and better therapeutic strategies.</p>","PeriodicalId":9636,"journal":{"name":"Case Reports in Oncological Medicine","volume":"2025 ","pages":"7374561"},"PeriodicalIF":0.6000,"publicationDate":"2025-05-24","publicationTypes":"Journal Article","fieldsOfStudy":null,"isOpenAccess":false,"openAccessPdf":"https://www.ncbi.nlm.nih.gov/pmc/articles/PMC12126262/pdf/","citationCount":"0","resultStr":null,"platform":"Semanticscholar","paperid":null,"PeriodicalName":"Case Reports in Oncological Medicine","FirstCategoryId":"1085","ListUrlMain":"https://doi.org/10.1155/crom/7374561","RegionNum":0,"RegionCategory":null,"ArticlePicture":[],"TitleCN":null,"AbstractTextCN":null,"PMCID":null,"EPubDate":"2025/1/1 0:00:00","PubModel":"eCollection","JCR":"Q4","JCRName":"ONCOLOGY","Score":null,"Total":0}
引用次数: 0

Abstract

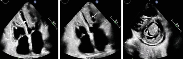
Background: Cardiac metastases, though more common than primary cardiac tumors, remain under-recognized due to their often subtle clinical presentation. These tumors can lead to life-threatening complications, and their diagnosis is typically delayed. Objective: This paper is aimed at reviewing two distinct cases of metastatic cardiac tumors, shedding light on diagnostic challenges, clinical presentations, and management approaches. Methods: We present two cases of patients with metastatic melanoma and undifferentiated malignant spindle cell neoplasm, respectively. Diagnostic imaging, including echocardiography and PET scans, was used to identify the cardiac masses, and biopsy results provided histopathological confirmation. Treatment plans involved systemic immunotherapy, chemotherapy, and surgical resection. Results: In both cases, cardiac metastases were detected through advanced imaging, despite the patients presenting with nonspecific symptoms like abdominal pain and shortness of breath. The metastatic tumor in one patient responded to immunotherapy before surgical excision, while the other patient, in advanced stages, opted for supportive care. Conclusion: Cardiac metastasis should be considered in cancer patients who present with unexplained cardiac symptoms. A multidisciplinary approach, including imaging and biopsy, is crucial for accurate diagnosis. Despite aggressive treatment, the prognosis remains poor, emphasizing the need for early detection and better therapeutic strategies.

Abstract Image

Abstract Image

Abstract Image

晚期恶性肿瘤心脏转移的诊断和治疗挑战:病例系列和文献综述。
背景:心脏转移瘤,虽然比原发性心脏肿瘤更常见,但由于其临床表现微妙,仍未得到充分认识。这些肿瘤可导致危及生命的并发症,而且它们的诊断通常是延迟的。目的:本文旨在回顾两个不同的转移性心脏肿瘤病例,阐明诊断挑战,临床表现和治疗方法。方法:我们报告两例转移性黑色素瘤和未分化的恶性梭形细胞瘤。诊断成像,包括超声心动图和PET扫描,用于确定心脏肿块,活检结果提供组织病理学证实。治疗方案包括全身免疫治疗、化疗和手术切除。结果:两例患者均出现腹痛、气短等非特异性症状,但均通过高级影像学检测到心脏转移灶。一名患者的转移性肿瘤在手术切除前对免疫治疗有反应,而另一名患者,在晚期,选择了支持性治疗。结论:出现不明原因心脏症状的癌症患者应考虑心脏转移。多学科方法,包括影像学和活检,对准确诊断至关重要。尽管积极治疗,预后仍然很差,强调需要早期发现和更好的治疗策略。
本文章由计算机程序翻译,如有差异,请以英文原文为准。
求助全文
约1分钟内获得全文 求助全文
来源期刊
自引率
0.00%
发文量
11
审稿时长
16 weeks
期刊介绍: Case Reports in Oncological Medicine is a peer-reviewed, Open Access journal that publishes case reports and case series related to breast cancer, lung cancer, gastrointestinal cancer, skin cancer, head and neck cancer, paediatric oncology, neurooncology as well as genitourinary cancer.
×
引用
GB/T 7714-2015
复制
MLA
复制
APA
复制
导出至
BibTeX EndNote RefMan NoteFirst NoteExpress
×
提示
您的信息不完整,为了账户安全,请先补充。
现在去补充
×
提示
您因"违规操作"
具体请查看互助需知
我知道了
×
提示
确定
请完成安全验证×
copy
已复制链接
快去分享给好友吧!
我知道了
右上角分享
点击右上角分享
0
联系我们:info@booksci.cn Book学术提供免费学术资源搜索服务,方便国内外学者检索中英文文献。致力于提供最便捷和优质的服务体验。 Copyright © 2023 布克学术 All rights reserved.
京ICP备2023020795号-1
ghs 京公网安备 11010802042870号
Book学术文献互助
Book学术文献互助群
群 号:604180095
Book学术官方微信