Spontaneous Sublingual Hematoma in a COVID-19 Patient on Heparin Therapy: A Case Report and Review of Management Challenges.

IF 0.7 Q3 MEDICINE, GENERAL & INTERNAL
Case Reports in Medicine Pub Date : 2025-05-24 eCollection Date: 2025-01-01 DOI:10.1155/carm/3371235
Mohsen Golkar, Anita Taheri, Milad Baseri, Parnian Nikraftar, Ramin Ansari, Ardeshir Khorsand
{"title":"Spontaneous Sublingual Hematoma in a COVID-19 Patient on Heparin Therapy: A Case Report and Review of Management Challenges.","authors":"Mohsen Golkar, Anita Taheri, Milad Baseri, Parnian Nikraftar, Ramin Ansari, Ardeshir Khorsand","doi":"10.1155/carm/3371235","DOIUrl":null,"url":null,"abstract":"<p><p>COVID-19 is associated with a hypercoagulable state, often managed with anticoagulation therapy to prevent thrombotic events. However, anticoagulation can lead to rare but serious bleeding complications. We present the case of a 62-year-old male with severe COVID-19 admitted to the intensive care unit (ICU) with shortness of breath, cough, and oxygen desaturation. Also, he had diabetes, undergoing treatment with Neutral Protamine Hagedorn (NPH) insulin, and ischemic heart disease. On the eighth day of his admission, he developed a spontaneous sublingual hematoma while on unfractionated heparin therapy. The patient was managed conservatively with blood pressure control, cold compresses, adjustment of anticoagulation and close monitoring with laboratory anticoagulation tests, and careful observation. Despite the hematoma's initial enlargement, he exhibited no respiratory distress, and the hematoma gradually resolved without surgical intervention. This case highlights the need for vigilant monitoring, careful management of anticoagulation, and a multidisciplinary approach in balancing the benefits and risks of anticoagulation in COVID-19 patients.</p>","PeriodicalId":9627,"journal":{"name":"Case Reports in Medicine","volume":"2025 ","pages":"3371235"},"PeriodicalIF":0.7000,"publicationDate":"2025-05-24","publicationTypes":"Journal Article","fieldsOfStudy":null,"isOpenAccess":false,"openAccessPdf":"https://www.ncbi.nlm.nih.gov/pmc/articles/PMC12126272/pdf/","citationCount":"0","resultStr":null,"platform":"Semanticscholar","paperid":null,"PeriodicalName":"Case Reports in Medicine","FirstCategoryId":"1085","ListUrlMain":"https://doi.org/10.1155/carm/3371235","RegionNum":0,"RegionCategory":null,"ArticlePicture":[],"TitleCN":null,"AbstractTextCN":null,"PMCID":null,"EPubDate":"2025/1/1 0:00:00","PubModel":"eCollection","JCR":"Q3","JCRName":"MEDICINE, GENERAL & INTERNAL","Score":null,"Total":0}
引用次数: 0

Abstract

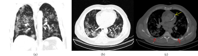
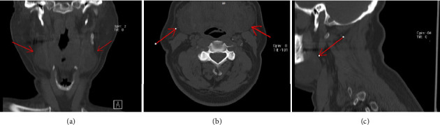
COVID-19 is associated with a hypercoagulable state, often managed with anticoagulation therapy to prevent thrombotic events. However, anticoagulation can lead to rare but serious bleeding complications. We present the case of a 62-year-old male with severe COVID-19 admitted to the intensive care unit (ICU) with shortness of breath, cough, and oxygen desaturation. Also, he had diabetes, undergoing treatment with Neutral Protamine Hagedorn (NPH) insulin, and ischemic heart disease. On the eighth day of his admission, he developed a spontaneous sublingual hematoma while on unfractionated heparin therapy. The patient was managed conservatively with blood pressure control, cold compresses, adjustment of anticoagulation and close monitoring with laboratory anticoagulation tests, and careful observation. Despite the hematoma's initial enlargement, he exhibited no respiratory distress, and the hematoma gradually resolved without surgical intervention. This case highlights the need for vigilant monitoring, careful management of anticoagulation, and a multidisciplinary approach in balancing the benefits and risks of anticoagulation in COVID-19 patients.

Abstract Image

Abstract Image

Abstract Image

1例接受肝素治疗的COVID-19患者自发性舌下血肿:1例报告及管理挑战回顾
COVID-19与高凝状态相关,通常通过抗凝治疗来预防血栓事件。然而,抗凝可能导致罕见但严重的出血并发症。我们报告一名患有严重COVID-19的62岁男性患者,因呼吸急促、咳嗽和氧饱和度过低而入住重症监护病房(ICU)。此外,他患有糖尿病,正在接受中性鱼精蛋白Hagedorn (NPH)胰岛素治疗,并患有缺血性心脏病。入院第8天,患者在接受肝素治疗时出现自发性舌下血肿。对患者进行保守治疗,控制血压,冷敷,调整抗凝,密切监测实验室抗凝试验,并仔细观察。尽管血肿最初扩大,但他没有表现出呼吸窘迫,血肿在没有手术干预的情况下逐渐消退。该病例强调了警惕监测、谨慎管理抗凝治疗的必要性,以及在平衡COVID-19患者抗凝治疗的益处和风险方面采取多学科方法的必要性。
本文章由计算机程序翻译,如有差异,请以英文原文为准。
求助全文
约1分钟内获得全文 求助全文
来源期刊
Case Reports in Medicine
Case Reports in Medicine MEDICINE, GENERAL & INTERNAL-
CiteScore
1.70
自引率
0.00%
发文量
53
审稿时长
13 weeks
×
引用
GB/T 7714-2015
复制
MLA
复制
APA
复制
导出至
BibTeX EndNote RefMan NoteFirst NoteExpress
×
提示
您的信息不完整,为了账户安全,请先补充。
现在去补充
×
提示
您因"违规操作"
具体请查看互助需知
我知道了
×
提示
确定
请完成安全验证×
copy
已复制链接
快去分享给好友吧!
我知道了
右上角分享
点击右上角分享
0
联系我们:info@booksci.cn Book学术提供免费学术资源搜索服务,方便国内外学者检索中英文文献。致力于提供最便捷和优质的服务体验。 Copyright © 2023 布克学术 All rights reserved.
京ICP备2023020795号-1
ghs 京公网安备 11010802042870号
Book学术文献互助
Book学术文献互助群
群 号:604180095
Book学术官方微信