Using diffusion tensor imaging to assess children with spinal cord injury without fracture or dislocation

IF 2.2 4区 医学 Q3 CLINICAL NEUROLOGY
Qunya Qi, Ling Wang, Beining Yang, Yulong Jia, Yu Wang, Haotian Xin, Xianglin Guo, Weimin Zheng, Xin Chen, Qian Chen, Fang Li, Jubao Du, Jie Lu, Nan Chen
{"title":"Using diffusion tensor imaging to assess children with spinal cord injury without fracture or dislocation","authors":"Qunya Qi, Ling Wang, Beining Yang, Yulong Jia, Yu Wang, Haotian Xin, Xianglin Guo, Weimin Zheng, Xin Chen, Qian Chen, Fang Li, Jubao Du, Jie Lu, Nan Chen","doi":"10.1038/s41393-025-01091-z","DOIUrl":null,"url":null,"abstract":"Cross-sectional study. This study investigates changes in spinal DTI metrics above lesion in children with spinal cord injury without fracture or dislocation (SCIWOFD), aiming to assess DTI’s potential as a diagnostic and evaluative tool for SCIWOFD in children. Xuanwu Hospital, Capital Medical University, China; Beijing Key Laboratory of Magnetic Resonance Imaging and Brain Informatics, China. This study included 18 children with SCIWOFD and 12 typically developing (TD) children. SCIWOFD children underwent International Standards for Neurological Classification of Spinal Cord Injury (ISNCSCI) assessments and MRI with axial spinal cord DTI. DTI data were processed with Diffusion Toolkit and TrackVis, with four levels above the lesion (Level 1 to Level 4). Spinal DTI metrics were extracted, and statistical analysis was performed using multiple linear regression and Pearson correlation. Compared to the TD group, the SCIWOFD group displayed significant changes in DTI metrics at four spinal cord levels. At level 1, FA decreased (p < 0.000), while MD (p < 0.000), AD (p = 0.007), and RD (p < 0.000) increased. Levels 2 and 3 showed decreased FA (level 2: p < 0.000; level 3: p = 0.001) and increased MD (level 2: p = 0.001; level 3: p = 0.029) and RD values (level 2: p < 0.000; level 3:p = 0.001). At level 4, FA decreased (p < 0.000), while RD increased (p = 0.009). At level 1 in the SCIWOFD group, MD (r = −0.534, p = 0.022) and RD (r = −0.569, p = 0.009) correlated with sensory scores. Spinal DTI metrics above the lesion in children with SCIWOFD exhibit gradient changes, with a statistically correlation between the DTI metrics at the rostral edge of the lesion and ISNCSCI sensory scores. DTI metrics may serve as stable, objective indicators for assessing SCIWOFD in children.","PeriodicalId":21976,"journal":{"name":"Spinal cord","volume":"63 7","pages":"342-347"},"PeriodicalIF":2.2000,"publicationDate":"2025-05-31","publicationTypes":"Journal Article","fieldsOfStudy":null,"isOpenAccess":false,"openAccessPdf":"","citationCount":"0","resultStr":null,"platform":"Semanticscholar","paperid":null,"PeriodicalName":"Spinal cord","FirstCategoryId":"3","ListUrlMain":"https://www.nature.com/articles/s41393-025-01091-z","RegionNum":4,"RegionCategory":"医学","ArticlePicture":[],"TitleCN":null,"AbstractTextCN":null,"PMCID":null,"EPubDate":"","PubModel":"","JCR":"Q3","JCRName":"CLINICAL NEUROLOGY","Score":null,"Total":0}
引用次数: 0

Abstract

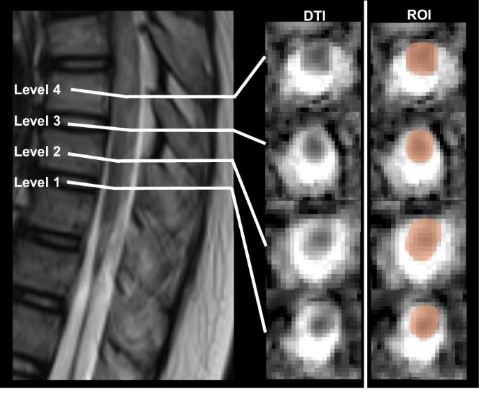
Cross-sectional study. This study investigates changes in spinal DTI metrics above lesion in children with spinal cord injury without fracture or dislocation (SCIWOFD), aiming to assess DTI’s potential as a diagnostic and evaluative tool for SCIWOFD in children. Xuanwu Hospital, Capital Medical University, China; Beijing Key Laboratory of Magnetic Resonance Imaging and Brain Informatics, China. This study included 18 children with SCIWOFD and 12 typically developing (TD) children. SCIWOFD children underwent International Standards for Neurological Classification of Spinal Cord Injury (ISNCSCI) assessments and MRI with axial spinal cord DTI. DTI data were processed with Diffusion Toolkit and TrackVis, with four levels above the lesion (Level 1 to Level 4). Spinal DTI metrics were extracted, and statistical analysis was performed using multiple linear regression and Pearson correlation. Compared to the TD group, the SCIWOFD group displayed significant changes in DTI metrics at four spinal cord levels. At level 1, FA decreased (p < 0.000), while MD (p < 0.000), AD (p = 0.007), and RD (p < 0.000) increased. Levels 2 and 3 showed decreased FA (level 2: p < 0.000; level 3: p = 0.001) and increased MD (level 2: p = 0.001; level 3: p = 0.029) and RD values (level 2: p < 0.000; level 3:p = 0.001). At level 4, FA decreased (p < 0.000), while RD increased (p = 0.009). At level 1 in the SCIWOFD group, MD (r = −0.534, p = 0.022) and RD (r = −0.569, p = 0.009) correlated with sensory scores. Spinal DTI metrics above the lesion in children with SCIWOFD exhibit gradient changes, with a statistically correlation between the DTI metrics at the rostral edge of the lesion and ISNCSCI sensory scores. DTI metrics may serve as stable, objective indicators for assessing SCIWOFD in children.

Abstract Image

应用弥散张量成像评估儿童脊髓损伤无骨折或脱位。
研究设计:横断面研究。目的:本研究探讨脊髓损伤无骨折或脱位(SCIWOFD)患儿病变以上脊髓DTI指标的变化,旨在评估DTI作为儿童SCIWOFD诊断和评估工具的潜力。单位:首都医科大学宣武医院;磁共振成像与脑信息学北京市重点实验室。方法:本研究纳入18例SCIWOFD患儿和12例典型发育(TD)患儿。SCIWOFD儿童接受国际脊髓损伤神经学分类标准(ISNCSCI)评估和轴向脊髓DTI MRI。使用Diffusion Toolkit和TrackVis对DTI数据进行处理,病灶以上分为4个级别(Level 1至Level 4)。提取脊柱DTI指标,采用多元线性回归和Pearson相关进行统计分析。结果:与TD组相比,SCIWOFD组在四个脊髓水平上的DTI指标发生了显著变化。结论:SCIWOFD患儿病变上方的脊髓DTI指标呈现梯度变化,病变吻侧边缘的DTI指标与ISNCSCI感觉评分之间存在统计学相关性。DTI指标可以作为评估儿童SCIWOFD的稳定、客观的指标。
本文章由计算机程序翻译,如有差异,请以英文原文为准。
求助全文
约1分钟内获得全文 求助全文
来源期刊
Spinal cord
Spinal cord 医学-临床神经学
CiteScore
4.50
自引率
9.10%
发文量
142
审稿时长
2 months
期刊介绍: Spinal Cord is a specialised, international journal that has been publishing spinal cord related manuscripts since 1963. It appears monthly, online and in print, and accepts contributions on spinal cord anatomy, physiology, management of injury and disease, and the quality of life and life circumstances of people with a spinal cord injury. Spinal Cord is multi-disciplinary and publishes contributions across the entire spectrum of research ranging from basic science to applied clinical research. It focuses on high quality original research, systematic reviews and narrative reviews. Spinal Cord''s sister journal Spinal Cord Series and Cases: Clinical Management in Spinal Cord Disorders publishes high quality case reports, small case series, pilot and retrospective studies perspectives, Pulse survey articles, Point-couterpoint articles, correspondences and book reviews. It specialises in material that addresses all aspects of life for persons with spinal cord injuries or disorders. For more information, please see the aims and scope of Spinal Cord Series and Cases.
×
引用
GB/T 7714-2015
复制
MLA
复制
APA
复制
导出至
BibTeX EndNote RefMan NoteFirst NoteExpress
×
提示
您的信息不完整,为了账户安全,请先补充。
现在去补充
×
提示
您因"违规操作"
具体请查看互助需知
我知道了
×
提示
确定
请完成安全验证×
copy
已复制链接
快去分享给好友吧!
我知道了
右上角分享
点击右上角分享
0
联系我们:info@booksci.cn Book学术提供免费学术资源搜索服务,方便国内外学者检索中英文文献。致力于提供最便捷和优质的服务体验。 Copyright © 2023 布克学术 All rights reserved.
京ICP备2023020795号-1
ghs 京公网安备 11010802042870号
Book学术文献互助
Book学术文献互助群
群 号:604180095
Book学术官方微信