The Imitation Game: Melanoma Metastasis Poses as a Primary Breast Tumor.

IF 0.8 Q3 MEDICINE, GENERAL & INTERNAL
Jowan Al-Nusair, Thomas Wright, Adamsegd Gebremedhen, Howide Eldib, Mohamed Alshal, Maria Tirona
{"title":"The Imitation Game: Melanoma Metastasis Poses as a Primary Breast Tumor.","authors":"Jowan Al-Nusair, Thomas Wright, Adamsegd Gebremedhen, Howide Eldib, Mohamed Alshal, Maria Tirona","doi":"10.1177/23247096251345394","DOIUrl":null,"url":null,"abstract":"<p><p>Metastatic melanoma to the breast is a rare phenomenon often mistaken for primary breast cancer due to overlapping clinical and imaging characteristics. We report the case of a 51-year-old woman with a history of melanoma resected 7 years earlier, presenting with severe left hip pain and a 6-month history of a right breast lump. Imaging revealed extensive metastatic disease, including lesions in the femoral head, breast, lung, adrenal gland, and thoracic spine. Pathologic examination of the hip lesion obtained during total arthroplasty, as well as biopsies of the breast and lung, confirmed metastatic melanoma. Histology revealed pleomorphic tumor cells with necrosis, while immunohistochemical analysis demonstrated SOX10 and S100 positivity, confirming the diagnosis. Genetic testing identified microsatellite stability with a tumor mutational burden of 16 mutations per mega base. This case shows the importance of thorough cancer histories and the use of immunohistochemical staining to distinguish metastatic melanoma from primary breast malignancies. Despite timely diagnosis and intervention, the patient's condition deteriorated rapidly, reflecting the aggressive nature of metastatic melanoma. This case highlights the need for vigilance in patients with a history of melanoma presenting with new breast masses to ensure accurate diagnosis and appropriate management.</p>","PeriodicalId":16198,"journal":{"name":"Journal of investigative medicine high impact case reports","volume":"13 ","pages":"23247096251345394"},"PeriodicalIF":0.8000,"publicationDate":"2025-01-01","publicationTypes":"Journal Article","fieldsOfStudy":null,"isOpenAccess":false,"openAccessPdf":"https://www.ncbi.nlm.nih.gov/pmc/articles/PMC12126677/pdf/","citationCount":"0","resultStr":null,"platform":"Semanticscholar","paperid":null,"PeriodicalName":"Journal of investigative medicine high impact case reports","FirstCategoryId":"1085","ListUrlMain":"https://doi.org/10.1177/23247096251345394","RegionNum":0,"RegionCategory":null,"ArticlePicture":[],"TitleCN":null,"AbstractTextCN":null,"PMCID":null,"EPubDate":"2025/5/31 0:00:00","PubModel":"Epub","JCR":"Q3","JCRName":"MEDICINE, GENERAL & INTERNAL","Score":null,"Total":0}
引用次数: 0

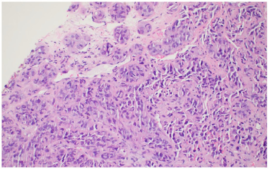
Abstract

Metastatic melanoma to the breast is a rare phenomenon often mistaken for primary breast cancer due to overlapping clinical and imaging characteristics. We report the case of a 51-year-old woman with a history of melanoma resected 7 years earlier, presenting with severe left hip pain and a 6-month history of a right breast lump. Imaging revealed extensive metastatic disease, including lesions in the femoral head, breast, lung, adrenal gland, and thoracic spine. Pathologic examination of the hip lesion obtained during total arthroplasty, as well as biopsies of the breast and lung, confirmed metastatic melanoma. Histology revealed pleomorphic tumor cells with necrosis, while immunohistochemical analysis demonstrated SOX10 and S100 positivity, confirming the diagnosis. Genetic testing identified microsatellite stability with a tumor mutational burden of 16 mutations per mega base. This case shows the importance of thorough cancer histories and the use of immunohistochemical staining to distinguish metastatic melanoma from primary breast malignancies. Despite timely diagnosis and intervention, the patient's condition deteriorated rapidly, reflecting the aggressive nature of metastatic melanoma. This case highlights the need for vigilance in patients with a history of melanoma presenting with new breast masses to ensure accurate diagnosis and appropriate management.

Abstract Image

Abstract Image

Abstract Image

模仿游戏:黑色素瘤转移是一种原发性乳腺肿瘤。
乳腺转移性黑色素瘤是一种罕见的现象,由于临床和影像学特征重叠,经常被误认为是原发性乳腺癌。我们报告一例51岁的女性,7年前切除黑色素瘤病史,表现为严重的左髋关节疼痛和6个月的右乳房肿块病史。影像学显示广泛的转移性疾病,包括股骨头、乳房、肺、肾上腺和胸椎的病变。全髋关节置换术中髋关节病变的病理检查,以及乳房和肺部的活检,证实转移性黑色素瘤。组织学显示肿瘤细胞多形性,坏死,免疫组化分析显示SOX10和S100阳性,证实诊断。基因检测发现微卫星稳定性具有每百万碱基16个突变的肿瘤突变负担。这个病例显示了彻底的癌症病史和使用免疫组织化学染色来区分转移性黑色素瘤和原发性乳腺恶性肿瘤的重要性。尽管及时诊断和干预,患者的病情恶化迅速,反映了转移性黑色素瘤的侵袭性。本病例强调了有黑色素瘤病史的患者出现新的乳房肿块时需要保持警惕,以确保准确的诊断和适当的治疗。
本文章由计算机程序翻译,如有差异,请以英文原文为准。
求助全文
约1分钟内获得全文 求助全文
来源期刊
CiteScore
1.90
自引率
0.00%
发文量
165
审稿时长
12 weeks
期刊介绍: The AFMR is committed to enhancing the training and career development of our members and to furthering its mission to facilitate the conduct of research to improve medical care. Case reports represent an important avenue for trainees (interns, residents, and fellows) and early-stage faculty to demonstrate productive, scholarly activity.
×
引用
GB/T 7714-2015
复制
MLA
复制
APA
复制
导出至
BibTeX EndNote RefMan NoteFirst NoteExpress
×
提示
您的信息不完整,为了账户安全,请先补充。
现在去补充
×
提示
您因"违规操作"
具体请查看互助需知
我知道了
×
提示
确定
请完成安全验证×
copy
已复制链接
快去分享给好友吧!
我知道了
右上角分享
点击右上角分享
0
联系我们:info@booksci.cn Book学术提供免费学术资源搜索服务,方便国内外学者检索中英文文献。致力于提供最便捷和优质的服务体验。 Copyright © 2023 布克学术 All rights reserved.
京ICP备2023020795号-1
ghs 京公网安备 11010802042870号
Book学术文献互助
Book学术文献互助群
群 号:604180095
Book学术官方微信