Exceptional Long-term Response to Immunotherapy in an African American Man With STK11/TP53/RB1-Mutated Metastatic Lung Adenocarcinoma.

IF 0.8 Q3 MEDICINE, GENERAL & INTERNAL
Yaolin Zhou, Maneesh Gaddam, Sunil Badami
{"title":"Exceptional Long-term Response to Immunotherapy in an African American Man With <i>STK11/TP53/RB1</i>-Mutated Metastatic Lung Adenocarcinoma.","authors":"Yaolin Zhou, Maneesh Gaddam, Sunil Badami","doi":"10.1177/23247096251346830","DOIUrl":null,"url":null,"abstract":"<p><p>Immunotherapy has become the standard of care for advanced and resectable lung cancer, and specific mutations may predict immunotherapy response. For example, <i>STK11</i> mutations, which are more common in African American patients, are associated with immunotherapy resistance. A 68-year-old African American man with stage IIIB lung adenocarcinoma with mediastinal lymph node involvement progressed on first-line concurrent carboplatin-based chemoradiotherapy. Molecular testing of the patient's subcarinal lymph node tissue revealed <i>STK11</i> S216F, <i>TP53</i> R273L, and <i>RB1</i> splice site mutations; high tumor mutation burden (19.0 mutations/Mb); and high PD-L1 22c3 expression (TPS 70%, 2+ intensity). Treatment with carboplatin-based chemotherapy with radiation therapy failed to control the disease, but the patient has tolerated and responded well to intravenous pembrolizumab. Although <i>STK11</i> mutations are associated with immunotherapy resistance, our patient demonstrated an exceptional and sustained response to immunotherapy for over two years. The patient's <i>STK11/TP53</i> co-mutation, along with high TMB and PD-L1 22c3 TPS scores, may help explain his continued responsiveness to immunotherapy and longer survival. Importantly, incorporating genetic ancestry differences in mutation prevalence and the impact of specific mutations and co-mutations, may help ensure the equitable and optimal treatment of all patients with lung cancers.</p>","PeriodicalId":16198,"journal":{"name":"Journal of investigative medicine high impact case reports","volume":"13 ","pages":"23247096251346830"},"PeriodicalIF":0.8000,"publicationDate":"2025-01-01","publicationTypes":"Journal Article","fieldsOfStudy":null,"isOpenAccess":false,"openAccessPdf":"https://www.ncbi.nlm.nih.gov/pmc/articles/PMC12126655/pdf/","citationCount":"0","resultStr":null,"platform":"Semanticscholar","paperid":null,"PeriodicalName":"Journal of investigative medicine high impact case reports","FirstCategoryId":"1085","ListUrlMain":"https://doi.org/10.1177/23247096251346830","RegionNum":0,"RegionCategory":null,"ArticlePicture":[],"TitleCN":null,"AbstractTextCN":null,"PMCID":null,"EPubDate":"2025/5/31 0:00:00","PubModel":"Epub","JCR":"Q3","JCRName":"MEDICINE, GENERAL & INTERNAL","Score":null,"Total":0}
引用次数: 0

Abstract

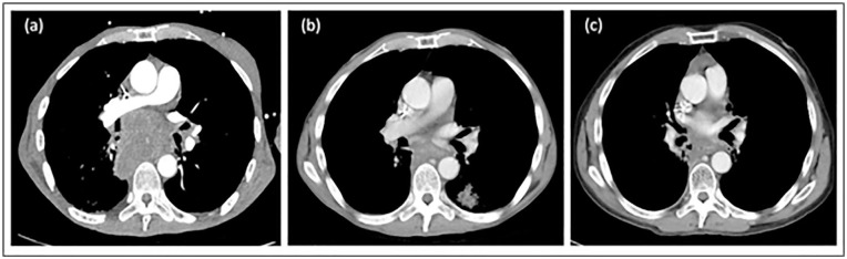
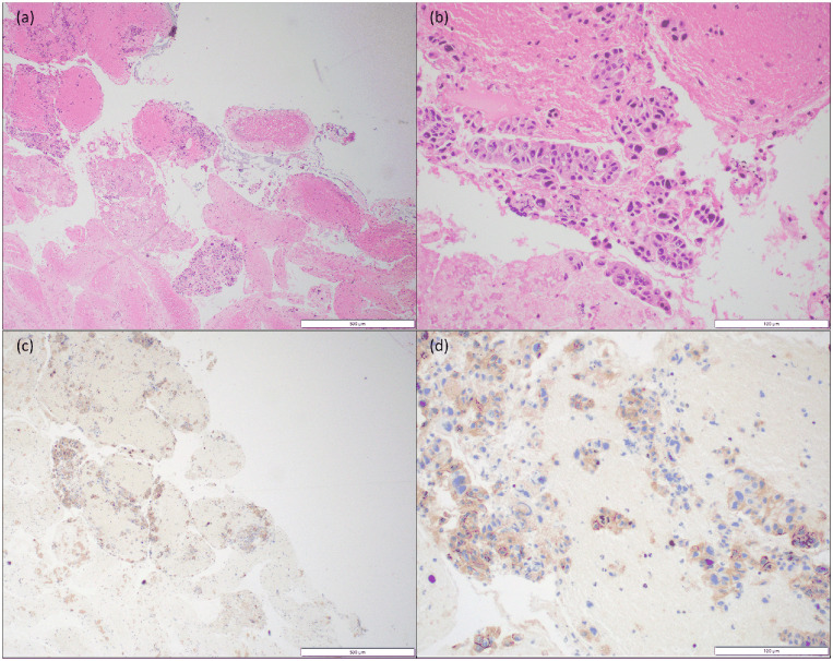
Immunotherapy has become the standard of care for advanced and resectable lung cancer, and specific mutations may predict immunotherapy response. For example, STK11 mutations, which are more common in African American patients, are associated with immunotherapy resistance. A 68-year-old African American man with stage IIIB lung adenocarcinoma with mediastinal lymph node involvement progressed on first-line concurrent carboplatin-based chemoradiotherapy. Molecular testing of the patient's subcarinal lymph node tissue revealed STK11 S216F, TP53 R273L, and RB1 splice site mutations; high tumor mutation burden (19.0 mutations/Mb); and high PD-L1 22c3 expression (TPS 70%, 2+ intensity). Treatment with carboplatin-based chemotherapy with radiation therapy failed to control the disease, but the patient has tolerated and responded well to intravenous pembrolizumab. Although STK11 mutations are associated with immunotherapy resistance, our patient demonstrated an exceptional and sustained response to immunotherapy for over two years. The patient's STK11/TP53 co-mutation, along with high TMB and PD-L1 22c3 TPS scores, may help explain his continued responsiveness to immunotherapy and longer survival. Importantly, incorporating genetic ancestry differences in mutation prevalence and the impact of specific mutations and co-mutations, may help ensure the equitable and optimal treatment of all patients with lung cancers.

Abstract Image

Abstract Image

Abstract Image

非裔美国人STK11/TP53/ rb1突变转移性肺腺癌患者对免疫治疗的特殊长期反应
免疫治疗已经成为晚期和可切除肺癌的标准治疗方法,特异性突变可以预测免疫治疗的反应。例如,STK11突变在非裔美国患者中更为常见,与免疫治疗耐药性有关。一名68岁的非洲裔美国男性,患有IIIB期肺腺癌,纵隔淋巴结受累者,一线同步卡铂化疗进展。患者隆突下淋巴结组织分子检测显示STK11 S216F、TP53 R273L和RB1剪接位点突变;高肿瘤突变负荷(19.0个突变/Mb);PD-L1 22c3高表达(TPS 70%, 2+强度)。以卡铂为基础的化疗和放疗未能控制病情,但患者对静脉注射派姆单抗具有耐受性和良好的反应。尽管STK11突变与免疫治疗耐药有关,但我们的患者对免疫治疗表现出异常和持续的反应超过两年。患者的STK11/TP53共突变,以及高TMB和PD-L1 22c3 TPS评分,可能有助于解释他对免疫治疗的持续反应和更长的生存期。重要的是,结合突变患病率的遗传血统差异以及特定突变和共突变的影响,可能有助于确保所有肺癌患者的公平和最佳治疗。
本文章由计算机程序翻译,如有差异,请以英文原文为准。
求助全文
约1分钟内获得全文 求助全文
来源期刊
CiteScore
1.90
自引率
0.00%
发文量
165
审稿时长
12 weeks
期刊介绍: The AFMR is committed to enhancing the training and career development of our members and to furthering its mission to facilitate the conduct of research to improve medical care. Case reports represent an important avenue for trainees (interns, residents, and fellows) and early-stage faculty to demonstrate productive, scholarly activity.
×
引用
GB/T 7714-2015
复制
MLA
复制
APA
复制
导出至
BibTeX EndNote RefMan NoteFirst NoteExpress
×
提示
您的信息不完整,为了账户安全,请先补充。
现在去补充
×
提示
您因"违规操作"
具体请查看互助需知
我知道了
×
提示
确定
请完成安全验证×
copy
已复制链接
快去分享给好友吧!
我知道了
右上角分享
点击右上角分享
0
联系我们:info@booksci.cn Book学术提供免费学术资源搜索服务,方便国内外学者检索中英文文献。致力于提供最便捷和优质的服务体验。 Copyright © 2023 布克学术 All rights reserved.
京ICP备2023020795号-1
ghs 京公网安备 11010802042870号
Book学术文献互助
Book学术文献互助群
群 号:604180095
Book学术官方微信