Cerebral Septic Emboli: A Unique Complication of Clostridium septicum-Induced Myonecrosis.

IF 0.8 Q3 MEDICINE, GENERAL & INTERNAL
Lily Xu, Iyawnna Hazzard, Faith Sumandea, Yui Seo, Ardavan Afrasiabi
{"title":"Cerebral Septic Emboli: A Unique Complication of <i>Clostridium septicum-</i>Induced Myonecrosis.","authors":"Lily Xu, Iyawnna Hazzard, Faith Sumandea, Yui Seo, Ardavan Afrasiabi","doi":"10.1177/23247096251342027","DOIUrl":null,"url":null,"abstract":"<p><p>Nontraumatic clostridial myonecrosis infections are predominantly caused by <i>Clostridium septicum</i>. Most patients have an underlying gastrointestinal malignancy. This case presents a rare association of spontaneous clostridial myonecrosis preceding cerebral septic emboli with underlying invasive colorectal adenocarcinoma. A 60-year-old male with a history of hypertension, diabetes, and a family history of colon cancer presented to the emergency room with worsening left-sided chest pain radiating to his left shoulder. Extensive workup revealed elevated D-dimer, troponin, C-reactive protein, white blood cell count, and creatinine phosphokinase. Due to his clinical signs, symptoms, elevated white count, and further decompensation, he was started on antibiotics for sepsis. Physical exam revealed left upper extremity (LUE) crepitus consistent with imaging of innumerable soft tissue gas collections along the LUE. Incision, drainage, and myomectomy were performed due to concerns of myositis and necrotizing infection. Muscle biopsy revealed myonecrosis, and subsequent samples were positive for <i>C. septicum</i>. Postoperative pressor support and several sessions of surgical debridement were required. He continued to deteriorate and developed left-sided paralysis. Computed tomography head revealed several white matter infarcts indicative of septic emboli. The patient slowly recovered neurologically after switching to central nervous system-penetrating antibiotics. Months later, a colonoscopy revealed cecal adenocarcinoma. This case features a unique course of spontaneous <i>C. septicum</i> infection. There are high mortality rates, and previous studies report an association with colorectal malignancies. Therefore, preventative and diagnostic evaluations are imperative with a confirmed <i>C. septicum</i> infection. To our knowledge, this is the first case reported of cerebral septic emboli secondary to spontaneous myonecrosis with <i>C. septicum</i>, highlighting a unique burden of emboli-induced neurological deficits.</p>","PeriodicalId":16198,"journal":{"name":"Journal of investigative medicine high impact case reports","volume":"13 ","pages":"23247096251342027"},"PeriodicalIF":0.8000,"publicationDate":"2025-01-01","publicationTypes":"Journal Article","fieldsOfStudy":null,"isOpenAccess":false,"openAccessPdf":"https://www.ncbi.nlm.nih.gov/pmc/articles/PMC12126657/pdf/","citationCount":"0","resultStr":null,"platform":"Semanticscholar","paperid":null,"PeriodicalName":"Journal of investigative medicine high impact case reports","FirstCategoryId":"1085","ListUrlMain":"https://doi.org/10.1177/23247096251342027","RegionNum":0,"RegionCategory":null,"ArticlePicture":[],"TitleCN":null,"AbstractTextCN":null,"PMCID":null,"EPubDate":"2025/5/31 0:00:00","PubModel":"Epub","JCR":"Q3","JCRName":"MEDICINE, GENERAL & INTERNAL","Score":null,"Total":0}
引用次数: 0

Abstract

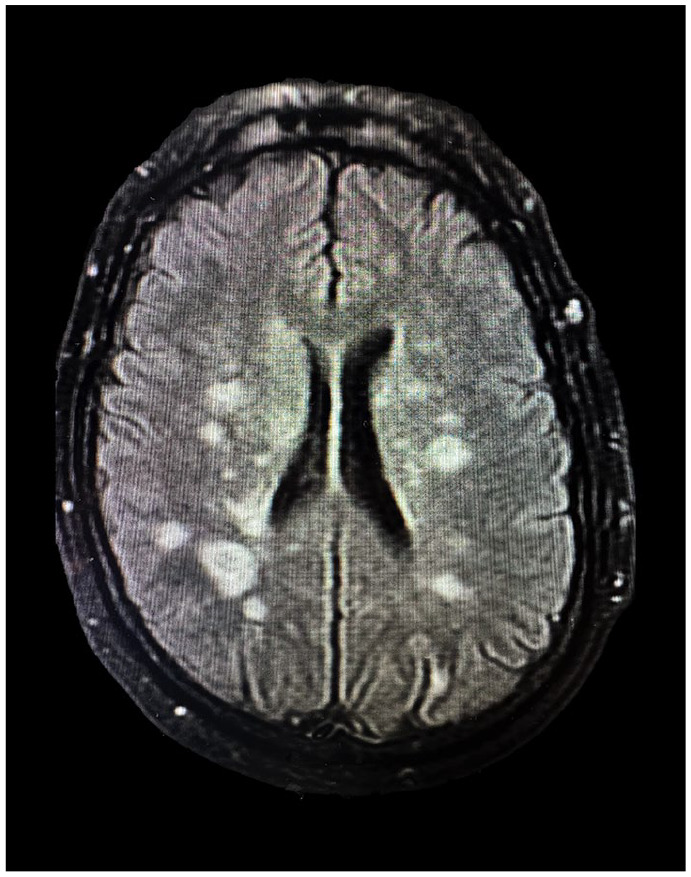
Nontraumatic clostridial myonecrosis infections are predominantly caused by Clostridium septicum. Most patients have an underlying gastrointestinal malignancy. This case presents a rare association of spontaneous clostridial myonecrosis preceding cerebral septic emboli with underlying invasive colorectal adenocarcinoma. A 60-year-old male with a history of hypertension, diabetes, and a family history of colon cancer presented to the emergency room with worsening left-sided chest pain radiating to his left shoulder. Extensive workup revealed elevated D-dimer, troponin, C-reactive protein, white blood cell count, and creatinine phosphokinase. Due to his clinical signs, symptoms, elevated white count, and further decompensation, he was started on antibiotics for sepsis. Physical exam revealed left upper extremity (LUE) crepitus consistent with imaging of innumerable soft tissue gas collections along the LUE. Incision, drainage, and myomectomy were performed due to concerns of myositis and necrotizing infection. Muscle biopsy revealed myonecrosis, and subsequent samples were positive for C. septicum. Postoperative pressor support and several sessions of surgical debridement were required. He continued to deteriorate and developed left-sided paralysis. Computed tomography head revealed several white matter infarcts indicative of septic emboli. The patient slowly recovered neurologically after switching to central nervous system-penetrating antibiotics. Months later, a colonoscopy revealed cecal adenocarcinoma. This case features a unique course of spontaneous C. septicum infection. There are high mortality rates, and previous studies report an association with colorectal malignancies. Therefore, preventative and diagnostic evaluations are imperative with a confirmed C. septicum infection. To our knowledge, this is the first case reported of cerebral septic emboli secondary to spontaneous myonecrosis with C. septicum, highlighting a unique burden of emboli-induced neurological deficits.

Abstract Image

Abstract Image

Abstract Image

脑脓毒杆菌栓塞:败血症梭菌所致肌坏死的一种独特并发症。
非创伤性梭菌性肌坏死感染主要由败血症梭菌引起。大多数患者有潜在的胃肠道恶性肿瘤。本病例呈现一罕见的自发性梭状菌性肌坏死与脑脓毒症栓塞前的潜在侵袭性结直肠腺癌的关联。60岁男性,有高血压、糖尿病和结肠癌家族史,左胸痛加重,并向左肩放射。广泛的检查显示d -二聚体、肌钙蛋白、c反应蛋白、白细胞计数和肌酸酐磷酸激酶升高。由于他的临床体征、症状、白细胞计数升高和进一步的代偿丧失,他开始使用抗生素治疗败血症。体格检查显示左上肢(LUE)肌萎,与LUE周围无数软组织气体聚集的影像一致。由于担心出现肌炎和坏死性感染,我们进行了切口、引流和子宫肌瘤切除术。肌肉活检显示肌坏死,随后的样本中败血症呈阳性。术后需要加压支持和几次手术清创。他的病情继续恶化,并发展为左侧瘫痪。头部计算机断层扫描显示数个白质梗死提示化脓性栓塞。在改用穿透中枢神经系统的抗生素后,患者的神经系统慢慢恢复。几个月后,结肠镜检查发现盲肠腺癌。本病例具有独特的自发性脓毒杆菌感染过程。有很高的死亡率,以前的研究报告与结直肠恶性肿瘤有关。因此,预防和诊断评估是必要的与确认败血症感染。据我们所知,这是第一例报道的脑脓毒性栓塞继发于自发性肌坏死伴败血症的病例,突出了栓塞引起的神经功能障碍的独特负担。
本文章由计算机程序翻译,如有差异,请以英文原文为准。
求助全文
约1分钟内获得全文 求助全文
来源期刊
CiteScore
1.90
自引率
0.00%
发文量
165
审稿时长
12 weeks
期刊介绍: The AFMR is committed to enhancing the training and career development of our members and to furthering its mission to facilitate the conduct of research to improve medical care. Case reports represent an important avenue for trainees (interns, residents, and fellows) and early-stage faculty to demonstrate productive, scholarly activity.
×
引用
GB/T 7714-2015
复制
MLA
复制
APA
复制
导出至
BibTeX EndNote RefMan NoteFirst NoteExpress
×
提示
您的信息不完整,为了账户安全,请先补充。
现在去补充
×
提示
您因"违规操作"
具体请查看互助需知
我知道了
×
提示
确定
请完成安全验证×
copy
已复制链接
快去分享给好友吧!
我知道了
右上角分享
点击右上角分享
0
联系我们:info@booksci.cn Book学术提供免费学术资源搜索服务,方便国内外学者检索中英文文献。致力于提供最便捷和优质的服务体验。 Copyright © 2023 布克学术 All rights reserved.
京ICP备2023020795号-1
ghs 京公网安备 11010802042870号
Book学术文献互助
Book学术文献互助群
群 号:604180095
Book学术官方微信