Pedunculated focal nodular hyperplasia: a case report, case series, and in-depth surgical, radiological, and histological analysis of a rare phenomenon.

IF 2.3 3区 医学 Q2 PATHOLOGY
Taylor Strange, Joseph M Gosnell, Peeyush Bhargava, Abdulrahman Al Harbi, Luca Cicalese, Heather L Stevenson
{"title":"Pedunculated focal nodular hyperplasia: a case report, case series, and in-depth surgical, radiological, and histological analysis of a rare phenomenon.","authors":"Taylor Strange, Joseph M Gosnell, Peeyush Bhargava, Abdulrahman Al Harbi, Luca Cicalese, Heather L Stevenson","doi":"10.1186/s13000-025-01661-y","DOIUrl":null,"url":null,"abstract":"<p><strong>Background: </strong>Focal nodular hyperplasia (FNH) is a benign hepatic lesion that rarely presents as an exophytic mass attached by a fibrous stalk (termed pedunculated FNH). This variation poses a challenge to clinicians, with atypical symptoms and imaging.</p><p><strong>Case presentation: </strong>We describe a 33-year-old female who underwent excision of a pedunculated FNH. On gross examination, the lesion was lobular and vascular with homogenous tan-brown surfaces. Histological examination showed loss of normal liver architecture, abnormal intervening fibrous tracts, dysplastic arteries, and focal steatosis. Immunohistochemical staining with glutamine synthetase resulted in a branching, or \"map-like\" pattern. These findings were consistent with focal nodular hyperplasia. One of the most sensitive imaging techniques for diagnosing this lesion involves magnetic resonance imaging (MRI) with contrast, which discloses a homogenous mass that is hyperintense during the arterial phase with gradual decrease in intensity during the venous and equilibrium phases. The central stellate scar will often remain hyperintense for a prolonged period of time. On histology, normal hepatic architecture is lost to abnormal fibrotic bands and a characteristic stellate scar. Immunohistochemistry with glutamine synthetase uniquely highlights a map-like pattern that is not seen in other liver lesions.</p><p><strong>Conclusions: </strong>Due to its atypical presentation and increased risk of complications compared to its intrahepatic counterpart, pedunculated FNH brings unique challenges for diagnosis and therapy. Proper identification of pedunculated FNH is critical for appropriate treatment. Our case highlights the importance of radiological and histopathological studies to accurately identify this lesion, as well as the benefits of surgical removal to prevent serious complications.</p>","PeriodicalId":11237,"journal":{"name":"Diagnostic Pathology","volume":"20 1","pages":"69"},"PeriodicalIF":2.3000,"publicationDate":"2025-05-30","publicationTypes":"Journal Article","fieldsOfStudy":null,"isOpenAccess":false,"openAccessPdf":"https://www.ncbi.nlm.nih.gov/pmc/articles/PMC12125829/pdf/","citationCount":"0","resultStr":null,"platform":"Semanticscholar","paperid":null,"PeriodicalName":"Diagnostic Pathology","FirstCategoryId":"3","ListUrlMain":"https://doi.org/10.1186/s13000-025-01661-y","RegionNum":3,"RegionCategory":"医学","ArticlePicture":[],"TitleCN":null,"AbstractTextCN":null,"PMCID":null,"EPubDate":"","PubModel":"","JCR":"Q2","JCRName":"PATHOLOGY","Score":null,"Total":0}
引用次数: 0

Abstract

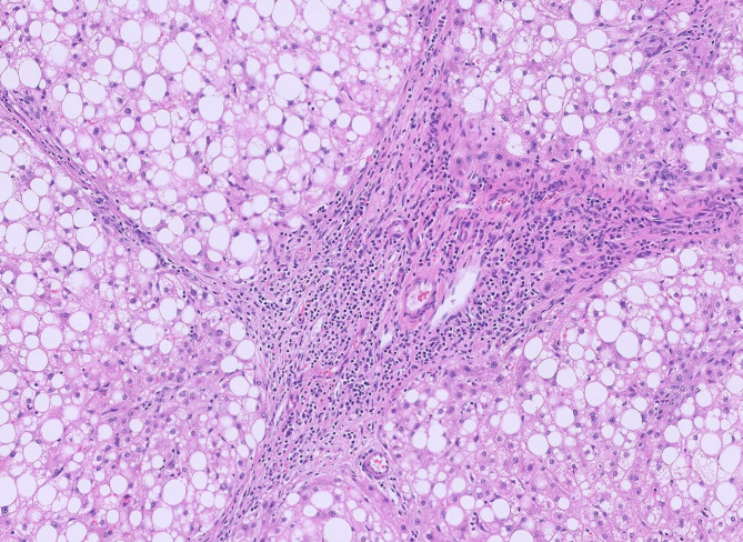
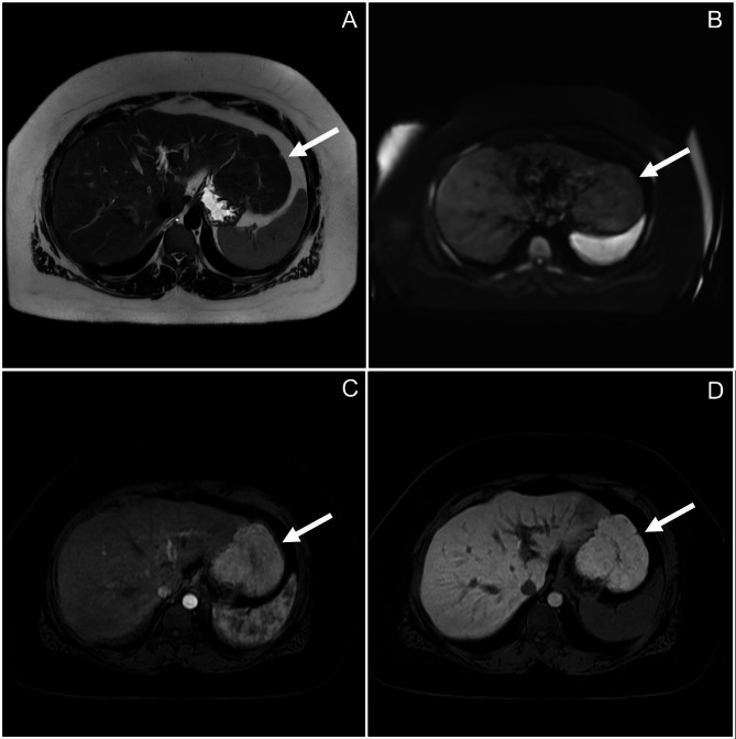
Background: Focal nodular hyperplasia (FNH) is a benign hepatic lesion that rarely presents as an exophytic mass attached by a fibrous stalk (termed pedunculated FNH). This variation poses a challenge to clinicians, with atypical symptoms and imaging.

Case presentation: We describe a 33-year-old female who underwent excision of a pedunculated FNH. On gross examination, the lesion was lobular and vascular with homogenous tan-brown surfaces. Histological examination showed loss of normal liver architecture, abnormal intervening fibrous tracts, dysplastic arteries, and focal steatosis. Immunohistochemical staining with glutamine synthetase resulted in a branching, or "map-like" pattern. These findings were consistent with focal nodular hyperplasia. One of the most sensitive imaging techniques for diagnosing this lesion involves magnetic resonance imaging (MRI) with contrast, which discloses a homogenous mass that is hyperintense during the arterial phase with gradual decrease in intensity during the venous and equilibrium phases. The central stellate scar will often remain hyperintense for a prolonged period of time. On histology, normal hepatic architecture is lost to abnormal fibrotic bands and a characteristic stellate scar. Immunohistochemistry with glutamine synthetase uniquely highlights a map-like pattern that is not seen in other liver lesions.

Conclusions: Due to its atypical presentation and increased risk of complications compared to its intrahepatic counterpart, pedunculated FNH brings unique challenges for diagnosis and therapy. Proper identification of pedunculated FNH is critical for appropriate treatment. Our case highlights the importance of radiological and histopathological studies to accurately identify this lesion, as well as the benefits of surgical removal to prevent serious complications.

Abstract Image

Abstract Image

Abstract Image

带梗局灶性结节增生:一罕见现象的病例报告、病例系列及深入的外科、放射学和组织学分析。
背景:局灶性结节性增生(FNH)是一种良性肝脏病变,很少表现为附着纤维茎的外生性肿块(称为有梗FNH)。这种变异对临床医生提出了挑战,具有非典型症状和影像学。病例介绍:我们描述了一位33岁的女性,她接受了带梗FNH的切除。大体检查,病变为小叶和血管性,表面呈均匀的棕褐色。组织学检查显示正常肝脏结构丧失,中间纤维束异常,动脉发育不良,局灶性脂肪变性。免疫组化染色谷氨酰胺合成酶导致分支,或“地图样”模式。这些结果与局灶性结节增生一致。诊断这种病变最敏感的成像技术之一是磁共振成像(MRI)造影剂,它显示一个均匀的肿块,在动脉期呈高强度,在静脉和平衡期逐渐降低强度。中央星状疤痕通常会在很长一段时间内保持高强度。在组织学上,正常的肝脏结构被异常的纤维化带和特征性的星状疤痕所取代。免疫组化与谷氨酰胺合成酶的独特突出的地图样模式,未见其他肝脏病变。结论:与肝内FNH相比,带蒂FNH的不典型表现和并发症风险增加,给诊断和治疗带来了独特的挑战。正确识别带梗FNH对于适当治疗至关重要。我们的病例强调了放射学和组织病理学研究对准确识别这种病变的重要性,以及手术切除预防严重并发症的好处。
本文章由计算机程序翻译,如有差异,请以英文原文为准。
求助全文
约1分钟内获得全文 求助全文
来源期刊
Diagnostic Pathology
Diagnostic Pathology 医学-病理学
CiteScore
4.60
自引率
0.00%
发文量
93
审稿时长
1 months
期刊介绍: Diagnostic Pathology is an open access, peer-reviewed, online journal that considers research in surgical and clinical pathology, immunology, and biology, with a special focus on cutting-edge approaches in diagnostic pathology and tissue-based therapy. The journal covers all aspects of surgical pathology, including classic diagnostic pathology, prognosis-related diagnosis (tumor stages, prognosis markers, such as MIB-percentage, hormone receptors, etc.), and therapy-related findings. The journal also focuses on the technological aspects of pathology, including molecular biology techniques, morphometry aspects (stereology, DNA analysis, syntactic structure analysis), communication aspects (telecommunication, virtual microscopy, virtual pathology institutions, etc.), and electronic education and quality assurance (for example interactive publication, on-line references with automated updating, etc.).
×
引用
GB/T 7714-2015
复制
MLA
复制
APA
复制
导出至
BibTeX EndNote RefMan NoteFirst NoteExpress
×
提示
您的信息不完整,为了账户安全,请先补充。
现在去补充
×
提示
您因"违规操作"
具体请查看互助需知
我知道了
×
提示
确定
请完成安全验证×
copy
已复制链接
快去分享给好友吧!
我知道了
右上角分享
点击右上角分享
0
联系我们:info@booksci.cn Book学术提供免费学术资源搜索服务,方便国内外学者检索中英文文献。致力于提供最便捷和优质的服务体验。 Copyright © 2023 布克学术 All rights reserved.
京ICP备2023020795号-1
ghs 京公网安备 11010802042870号
Book学术文献互助
Book学术文献互助群
群 号:604180095
Book学术官方微信