Association Between the Expression of Cytochrome P450 and Glutathione S-transferase Enzyme and Antrochoanal Polyp Pathogenesis.

IF 1.1 Q3 OTORHINOLARYNGOLOGY
International Archives of Otorhinolaryngology Pub Date : 2025-05-29 eCollection Date: 2025-04-01 DOI:10.1055/s-0044-1801320
Mehmet Gökhan Demir, Sedat Aydın, Serpil Oguztuzun, Kayhan Basak
{"title":"Association Between the Expression of Cytochrome P450 and Glutathione S-transferase Enzyme and Antrochoanal Polyp Pathogenesis.","authors":"Mehmet Gökhan Demir, Sedat Aydın, Serpil Oguztuzun, Kayhan Basak","doi":"10.1055/s-0044-1801320","DOIUrl":null,"url":null,"abstract":"<p><p><b>Introduction</b>  Antrochoanal polyp, which is a kind of smooth-surfaced single nasal polyp, is commonly present in cases of nasal obstruction. The pathogenesis of polyp formation is still unclear, but allergy is supposed to be a cause. <b>Objectives</b>  To investigate the expression levels of antioxidant enzymes in antrochoanal polyp tissue. <b>Methods</b>  The antrochoanal polyp group was composed of 23 patients who were diagnosed microscopically, and the control group was composed of 38 healthy patients. The sample of the control group was taken from the inferior turbinate mucosa by punch biopsy under general anesthesia, and the antrochoanal polyp sample was collected from sinus surgery. The cytochrome P450 (CYP) and glutathione S-transferase (GST) expressions of the groups were investigated under microscopy and scored by senior pathologists. <b>Results</b>  The antrochoanal polyp group had statistically less expression of CYP family 1 subfamily A member 1 (CYP1A1) than the control group ( <i>p</i>  < 0.05). Moreover, GST Pi 1 (GSTP1), GST Mu 1 (GSTM1), and GST Alpha 1 (GSTA1) expressions were not different between the groups ( <i>p</i>  > 0.05). <b>Conclusion</b>  Allergy and chronic inflammation are postulated reasons for antrochoanal polyp formation, but, according to our results, we could not detect any relation between antrochoanal polyp formation and GST expression in tissue. However, the decreased level of CYP1A1 expression in the antrochoanal polyp group may be related with the pathogenesis of the antrochoanal polyp formation.</p>","PeriodicalId":13731,"journal":{"name":"International Archives of Otorhinolaryngology","volume":"29 2","pages":"1-6"},"PeriodicalIF":1.1000,"publicationDate":"2025-05-29","publicationTypes":"Journal Article","fieldsOfStudy":null,"isOpenAccess":false,"openAccessPdf":"https://www.ncbi.nlm.nih.gov/pmc/articles/PMC12122110/pdf/","citationCount":"0","resultStr":null,"platform":"Semanticscholar","paperid":null,"PeriodicalName":"International Archives of Otorhinolaryngology","FirstCategoryId":"1085","ListUrlMain":"https://doi.org/10.1055/s-0044-1801320","RegionNum":0,"RegionCategory":null,"ArticlePicture":[],"TitleCN":null,"AbstractTextCN":null,"PMCID":null,"EPubDate":"2025/4/1 0:00:00","PubModel":"eCollection","JCR":"Q3","JCRName":"OTORHINOLARYNGOLOGY","Score":null,"Total":0}
引用次数: 0

Abstract

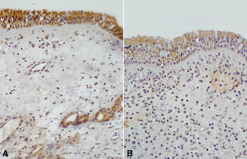
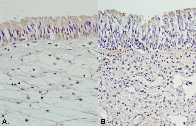
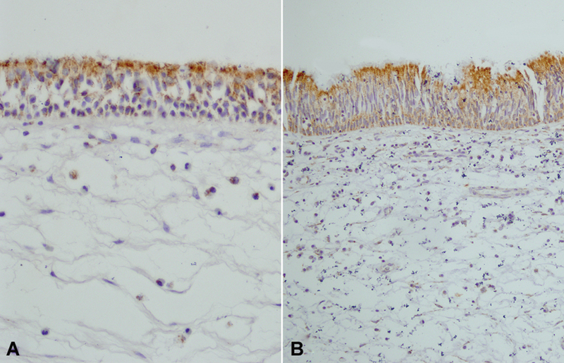
Introduction  Antrochoanal polyp, which is a kind of smooth-surfaced single nasal polyp, is commonly present in cases of nasal obstruction. The pathogenesis of polyp formation is still unclear, but allergy is supposed to be a cause. Objectives  To investigate the expression levels of antioxidant enzymes in antrochoanal polyp tissue. Methods  The antrochoanal polyp group was composed of 23 patients who were diagnosed microscopically, and the control group was composed of 38 healthy patients. The sample of the control group was taken from the inferior turbinate mucosa by punch biopsy under general anesthesia, and the antrochoanal polyp sample was collected from sinus surgery. The cytochrome P450 (CYP) and glutathione S-transferase (GST) expressions of the groups were investigated under microscopy and scored by senior pathologists. Results  The antrochoanal polyp group had statistically less expression of CYP family 1 subfamily A member 1 (CYP1A1) than the control group ( p  < 0.05). Moreover, GST Pi 1 (GSTP1), GST Mu 1 (GSTM1), and GST Alpha 1 (GSTA1) expressions were not different between the groups ( p  > 0.05). Conclusion  Allergy and chronic inflammation are postulated reasons for antrochoanal polyp formation, but, according to our results, we could not detect any relation between antrochoanal polyp formation and GST expression in tissue. However, the decreased level of CYP1A1 expression in the antrochoanal polyp group may be related with the pathogenesis of the antrochoanal polyp formation.

Abstract Image

Abstract Image

Abstract Image

细胞色素P450和谷胱甘肽s -转移酶的表达与肛管息肉发病的关系
鼻后鼻息肉是一种表面光滑的单鼻息肉,常见于鼻塞。息肉形成的发病机制尚不清楚,但过敏被认为是一个原因。目的探讨抗氧化酶在肛管息肉组织中的表达水平。方法经镜下诊断为鼻后鼻息肉的患者23例,正常对照组38例。对照组于全麻下鼻甲粘膜穿刺活检取标本,鼻窦手术取鼻后鼻息肉标本。显微镜下观察各组细胞色素P450 (CYP)和谷胱甘肽s -转移酶(GST)的表达,并由资深病理学家评分。结果经鼻息肉组CYP家族1亚家族A成员1 (CYP1A1)表达低于对照组,差异有统计学意义(p < 0.05)。结论变态反应和慢性炎症可能是肛瘘形成的原因,但根据我们的结果,我们没有发现组织中GST的表达与肛瘘形成有任何关系。然而,CYP1A1表达水平在鼻后鼻息肉组的降低可能与鼻后鼻息肉形成的发病机制有关。
本文章由计算机程序翻译,如有差异,请以英文原文为准。
求助全文
约1分钟内获得全文 求助全文
来源期刊
CiteScore
2.80
自引率
0.00%
发文量
84
审稿时长
12 weeks
×
引用
GB/T 7714-2015
复制
MLA
复制
APA
复制
导出至
BibTeX EndNote RefMan NoteFirst NoteExpress
×
提示
您的信息不完整,为了账户安全,请先补充。
现在去补充
×
提示
您因"违规操作"
具体请查看互助需知
我知道了
×
提示
确定
请完成安全验证×
copy
已复制链接
快去分享给好友吧!
我知道了
右上角分享
点击右上角分享
0
联系我们:info@booksci.cn Book学术提供免费学术资源搜索服务,方便国内外学者检索中英文文献。致力于提供最便捷和优质的服务体验。 Copyright © 2023 布克学术 All rights reserved.
京ICP备2023020795号-1
ghs 京公网安备 11010802042870号
Book学术文献互助
Book学术文献互助群
群 号:604180095
Book学术官方微信