A cautionary tale of false-positive histoplasma urine antigen in an HIV patient: a case report.

Access microbiology Pub Date : 2025-05-28 eCollection Date: 2025-01-01 DOI:10.1099/acmi.0.000929.v3
Mohammad Z Khrais, Jake Smith, Tanmay Gandhi, Shahrukh Arif, Juan Carlos Rico
{"title":"A cautionary tale of false-positive histoplasma urine antigen in an HIV patient: a case report.","authors":"Mohammad Z Khrais, Jake Smith, Tanmay Gandhi, Shahrukh Arif, Juan Carlos Rico","doi":"10.1099/acmi.0.000929.v3","DOIUrl":null,"url":null,"abstract":"<p><p><b>Introduction.</b> Coccidioidomycosis, or Valley fever, is a fungal disease caused by <i>Coccidioides</i> species, prevalent in parts of the southwestern United States. It usually results from inhaling spores from soil and is a common cause of pneumonia in these regions. <b>Case Presentation.</b> We present a unique case of coccidioidomycosis in an immunodeficient male patient secondary to human immunodeficiency virus infection with poor adherence to anti-retroviral treatment. After presenting with non-specific symptoms and pre-syncope, he was initially diagnosed with pneumonia based on chest X-ray findings, but his symptoms failed to improve with antibiotics. He was treated for presumed pulmonary histoplasmosis following a positive histoplasma urine antigen test. However, the patient worsened clinically. Following a computed tomography scan demonstrating a large necrotic lung consolidation, fungal stain and culture of tissue biopsied through endobronchial ultrasound confirmed coccidioidomycosis. The patient received 2 weeks of liposomal amphotericin with clinical improvement before discharge with itraconazole. <b>Conclusion.</b> The histoplasma antigen test can be falsely positive due to cross-reaction with other fungal infections like blastomycosis, paracoccidioidomycosis or talaromycosis, and less frequently, coccidioidomycosis or aspergillosis. Diagnosis of coccidioidomycosis requires a high index of suspicion outside the expected geographic distribution in the appropriate clinical setting. Our case highlights the risk of false-positive antigen test results and the importance of invasive diagnostics, including bronchoscopy to obtain fungal cultures, if the diagnosis remains uncertain.</p>","PeriodicalId":94366,"journal":{"name":"Access microbiology","volume":"7 5","pages":""},"PeriodicalIF":0.0000,"publicationDate":"2025-05-28","publicationTypes":"Journal Article","fieldsOfStudy":null,"isOpenAccess":false,"openAccessPdf":"https://www.ncbi.nlm.nih.gov/pmc/articles/PMC12120142/pdf/","citationCount":"0","resultStr":null,"platform":"Semanticscholar","paperid":null,"PeriodicalName":"Access microbiology","FirstCategoryId":"1085","ListUrlMain":"https://doi.org/10.1099/acmi.0.000929.v3","RegionNum":0,"RegionCategory":null,"ArticlePicture":[],"TitleCN":null,"AbstractTextCN":null,"PMCID":null,"EPubDate":"2025/1/1 0:00:00","PubModel":"eCollection","JCR":"","JCRName":"","Score":null,"Total":0}
引用次数: 0

Abstract

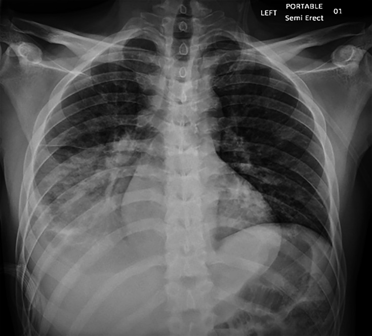
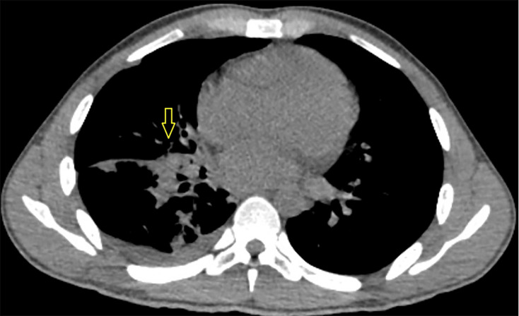
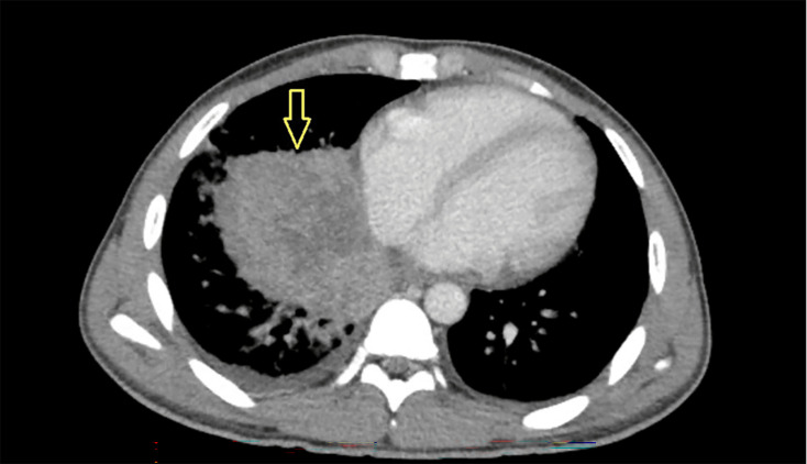
Introduction. Coccidioidomycosis, or Valley fever, is a fungal disease caused by Coccidioides species, prevalent in parts of the southwestern United States. It usually results from inhaling spores from soil and is a common cause of pneumonia in these regions. Case Presentation. We present a unique case of coccidioidomycosis in an immunodeficient male patient secondary to human immunodeficiency virus infection with poor adherence to anti-retroviral treatment. After presenting with non-specific symptoms and pre-syncope, he was initially diagnosed with pneumonia based on chest X-ray findings, but his symptoms failed to improve with antibiotics. He was treated for presumed pulmonary histoplasmosis following a positive histoplasma urine antigen test. However, the patient worsened clinically. Following a computed tomography scan demonstrating a large necrotic lung consolidation, fungal stain and culture of tissue biopsied through endobronchial ultrasound confirmed coccidioidomycosis. The patient received 2 weeks of liposomal amphotericin with clinical improvement before discharge with itraconazole. Conclusion. The histoplasma antigen test can be falsely positive due to cross-reaction with other fungal infections like blastomycosis, paracoccidioidomycosis or talaromycosis, and less frequently, coccidioidomycosis or aspergillosis. Diagnosis of coccidioidomycosis requires a high index of suspicion outside the expected geographic distribution in the appropriate clinical setting. Our case highlights the risk of false-positive antigen test results and the importance of invasive diagnostics, including bronchoscopy to obtain fungal cultures, if the diagnosis remains uncertain.

Abstract Image

Abstract Image

Abstract Image

一个HIV患者尿组织浆抗原假阳性的警示故事:一个病例报告。
介绍。球孢子菌病,或谷热,是一种由球孢子菌引起的真菌疾病,在美国西南部部分地区流行。它通常是由吸入土壤中的孢子引起的,是这些地区肺炎的常见原因。例演示。我们提出了一个独特的球孢子菌病的免疫缺陷男性患者继发于人类免疫缺陷病毒感染与抗逆转录病毒治疗依从性差。在出现非特异性症状和晕厥前期后,根据胸部x光检查结果,他最初被诊断为肺炎,但他的症状在抗生素治疗后未能改善。在尿组织浆体抗原检测呈阳性后,他被诊断为肺组织浆菌病。然而,患者在临床上病情恶化。计算机断层扫描显示肺大坏死实变,真菌染色和支气管超声活检组织培养证实球孢子菌病。患者接受两性霉素脂质体治疗2周,临床情况好转,出院前用伊曲康唑治疗。结论。由于与其它真菌感染,如芽孢菌病、副球孢子菌病或talaromycosis,以及较少出现的球孢子菌病或曲霉病的交叉反应,组织浆抗原试验可能出现假阳性。球孢子菌病的诊断需要在适当的临床环境中对预期地理分布之外的高度怀疑。我们的病例强调了假阳性抗原检测结果的风险和侵入性诊断的重要性,包括支气管镜检查获得真菌培养,如果诊断仍然不确定。
本文章由计算机程序翻译,如有差异,请以英文原文为准。
求助全文
约1分钟内获得全文 求助全文
来源期刊
CiteScore
2.00
自引率
0.00%
发文量
0
×
引用
GB/T 7714-2015
复制
MLA
复制
APA
复制
导出至
BibTeX EndNote RefMan NoteFirst NoteExpress
×
提示
您的信息不完整,为了账户安全,请先补充。
现在去补充
×
提示
您因"违规操作"
具体请查看互助需知
我知道了
×
提示
确定
请完成安全验证×
copy
已复制链接
快去分享给好友吧!
我知道了
右上角分享
点击右上角分享
0
联系我们:info@booksci.cn Book学术提供免费学术资源搜索服务,方便国内外学者检索中英文文献。致力于提供最便捷和优质的服务体验。 Copyright © 2023 布克学术 All rights reserved.
京ICP备2023020795号-1
ghs 京公网安备 11010802042870号
Book学术文献互助
Book学术文献互助群
群 号:604180095
Book学术官方微信