First detection of Crenosoma vulpis in Red Foxes Vulpes vulpes in Western Poland.

IF 1.2 4区 生物学 Q4 PARASITOLOGY
Helminthologia Pub Date : 2025-05-24 eCollection Date: 2025-03-01 DOI:10.2478/helm-2025-0007
A Matysiak, P K Kwiatkowska, S Kaźmierczak, A Ondrejkova, O Wasielewski, P Tryjanowski
{"title":"First detection of <i>Crenosoma vulpis</i> in Red Foxes <i>Vulpes vulpes</i> in Western Poland.","authors":"A Matysiak, P K Kwiatkowska, S Kaźmierczak, A Ondrejkova, O Wasielewski, P Tryjanowski","doi":"10.2478/helm-2025-0007","DOIUrl":null,"url":null,"abstract":"<p><p><i>Crenosoma vulpis</i> is a nematode from the superfamily Metastrongylidea, which parasitizes the respiratory tracts of carnivores, primarily red foxes (<i>Vulpes vulpes</i>), and occasionally domestic dogs (<i>Canis familiaris</i>). This study aimed to assess the presence of <i>C. vulpis</i> in red foxes in western Poland, an area where its occurrence had not been previously documented. We examined lung tissue from 47 red foxes obtained during the regular hunting season (2017 - 2018) using the Baermann method to detect the presence of nematode larvae. Larvae, identified based on morphology as <i>C. vulpis</i>, were found in 12.8 % of the foxes (6/47; 95 % CL = 4.8 - 25.7 %). This is the first confirmed report of <i>Crenosoma vulpis</i> in red foxes in Poland, highlighting the potential need for further epidemiological studies on its distribution and impact on both wildlife and domestic animals.</p>","PeriodicalId":55061,"journal":{"name":"Helminthologia","volume":"62 1","pages":"72-76"},"PeriodicalIF":1.2000,"publicationDate":"2025-05-24","publicationTypes":"Journal Article","fieldsOfStudy":null,"isOpenAccess":false,"openAccessPdf":"https://www.ncbi.nlm.nih.gov/pmc/articles/PMC12117612/pdf/","citationCount":"0","resultStr":null,"platform":"Semanticscholar","paperid":null,"PeriodicalName":"Helminthologia","FirstCategoryId":"99","ListUrlMain":"https://doi.org/10.2478/helm-2025-0007","RegionNum":4,"RegionCategory":"生物学","ArticlePicture":[],"TitleCN":null,"AbstractTextCN":null,"PMCID":null,"EPubDate":"2025/3/1 0:00:00","PubModel":"eCollection","JCR":"Q4","JCRName":"PARASITOLOGY","Score":null,"Total":0}
引用次数: 0

Abstract

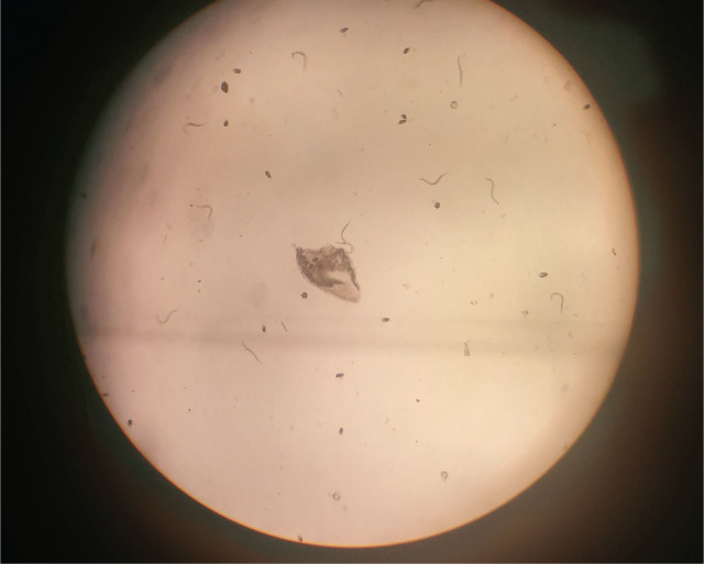
Crenosoma vulpis is a nematode from the superfamily Metastrongylidea, which parasitizes the respiratory tracts of carnivores, primarily red foxes (Vulpes vulpes), and occasionally domestic dogs (Canis familiaris). This study aimed to assess the presence of C. vulpis in red foxes in western Poland, an area where its occurrence had not been previously documented. We examined lung tissue from 47 red foxes obtained during the regular hunting season (2017 - 2018) using the Baermann method to detect the presence of nematode larvae. Larvae, identified based on morphology as C. vulpis, were found in 12.8 % of the foxes (6/47; 95 % CL = 4.8 - 25.7 %). This is the first confirmed report of Crenosoma vulpis in red foxes in Poland, highlighting the potential need for further epidemiological studies on its distribution and impact on both wildlife and domestic animals.

Abstract Image

波兰西部首次在赤狐中检出狐皮锥虫。
vulpis Crenosoma vulpis是一种来自超科的线虫,寄生于食肉动物的呼吸道,主要是红狐(Vulpes Vulpes),偶尔也会寄生于家犬(Canis familiaris)。本研究旨在评估波兰西部地区红狐中是否存在vulpis,该地区以前没有记录过这种情况。我们使用Baermann方法检测了在常规狩猎季节(2017 - 2018)获得的47只红狐的肺组织,以检测线虫幼虫的存在。12.8%的狐狸(6/47;95% cl = 4.8 - 25.7%)。这是波兰境内首次确认的在红狐中发现狐角锥虫的报告,突出表明可能需要对其分布及其对野生动物和家畜的影响进行进一步的流行病学研究。
本文章由计算机程序翻译,如有差异,请以英文原文为准。
求助全文
约1分钟内获得全文 求助全文
来源期刊
Helminthologia
Helminthologia 生物-动物学
CiteScore
1.80
自引率
0.00%
发文量
21
审稿时长
>12 weeks
期刊介绍: Helminthologia (HELMIN), published continuously since 1959, is the only journal in Europe that encompasses the individual and collaborative efforts of scientists working on a different topics of human, veterinary and plant helminthology. The journal responsibility is to enrich the theoretical and practical knowledge in very specific areas and thus contribute to the advancements in human and veterinary medicine and agronomy. Taking the advantage of comprehensive and multidisciplinary approaches journal still maintains its original spirit and is principal source of fresh scientific information regarding helminths, endoparasites and plant parasites. Addressing the most up-to date topics journal gained rightful and exceptional place next to the other high-quality scientific journals publishing in its field.
×
引用
GB/T 7714-2015
复制
MLA
复制
APA
复制
导出至
BibTeX EndNote RefMan NoteFirst NoteExpress
×
提示
您的信息不完整,为了账户安全,请先补充。
现在去补充
×
提示
您因"违规操作"
具体请查看互助需知
我知道了
×
提示
确定
请完成安全验证×
copy
已复制链接
快去分享给好友吧!
我知道了
右上角分享
点击右上角分享
0
联系我们:info@booksci.cn Book学术提供免费学术资源搜索服务,方便国内外学者检索中英文文献。致力于提供最便捷和优质的服务体验。 Copyright © 2023 布克学术 All rights reserved.
京ICP备2023020795号-1
ghs 京公网安备 11010802042870号
Book学术文献互助
Book学术文献互助群
群 号:604180095
Book学术官方微信