Crystal-Storing Histiocytosis of the Duodenum in a Patient With IgG-Lambda Multiple Myeloma.

IF 1 4区 医学 Q4 PATHOLOGY
Shunsuke Koga, Zhaohai Yang, Zahra Alipour
{"title":"Crystal-Storing Histiocytosis of the Duodenum in a Patient With IgG-Lambda Multiple Myeloma.","authors":"Shunsuke Koga, Zhaohai Yang, Zahra Alipour","doi":"10.1177/10668969251343639","DOIUrl":null,"url":null,"abstract":"<p><p>Crystal-storing histiocytosis is a rare condition characterized by the accumulation of crystalline immunoglobulins within histiocytes, often associated with plasma cell disorders such as multiple myeloma. We report a 70-year-old man with a history of IgG-lambda multiple myeloma, systemic amyloidosis, and end-stage renal disease managed with peritoneal dialysis and long-term lanthanum carbonate therapy for hyperphosphatemia, who presented with gastrointestinal bleeding. Endoscopy revealed nodular erythematous mucosa in the duodenum, and biopsies showed histiocytosis in the lamina propria. The histiocytes showed abundant cytoplasm containing periodic acid-Schiff-positive diastase-resistant intracellular material. Immunohistochemical staining revealed diffuse CD68 positivity and lambda light-chain restriction of the storage material in the histiocytes, supporting a diagnosis of crystal-storing histiocytosis. Differential diagnoses, including Whipple disease, mycobacterial infections, lanthanum deposition, amyloidosis, and xanthoma, were excluded based on histological findings and clinical history. This report highlights the importance of recognizing crystal-storing histiocytosis in uncommon sites such as the duodenum, especially in the context of plasma cell dyscrasias.</p>","PeriodicalId":14416,"journal":{"name":"International Journal of Surgical Pathology","volume":" ","pages":"1846-1851"},"PeriodicalIF":1.0000,"publicationDate":"2025-12-01","publicationTypes":"Journal Article","fieldsOfStudy":null,"isOpenAccess":false,"openAccessPdf":"https://www.ncbi.nlm.nih.gov/pmc/articles/PMC12446725/pdf/","citationCount":"0","resultStr":null,"platform":"Semanticscholar","paperid":null,"PeriodicalName":"International Journal of Surgical Pathology","FirstCategoryId":"3","ListUrlMain":"https://doi.org/10.1177/10668969251343639","RegionNum":4,"RegionCategory":"医学","ArticlePicture":[],"TitleCN":null,"AbstractTextCN":null,"PMCID":null,"EPubDate":"2025/5/29 0:00:00","PubModel":"Epub","JCR":"Q4","JCRName":"PATHOLOGY","Score":null,"Total":0}
引用次数: 0

Abstract

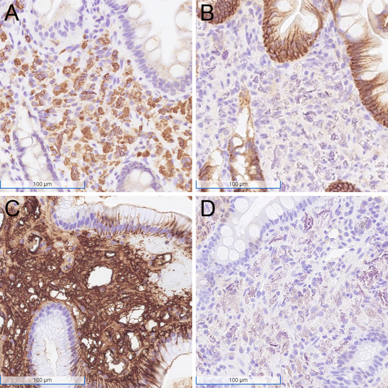
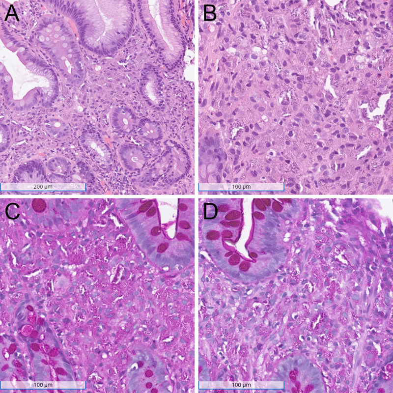
Crystal-storing histiocytosis is a rare condition characterized by the accumulation of crystalline immunoglobulins within histiocytes, often associated with plasma cell disorders such as multiple myeloma. We report a 70-year-old man with a history of IgG-lambda multiple myeloma, systemic amyloidosis, and end-stage renal disease managed with peritoneal dialysis and long-term lanthanum carbonate therapy for hyperphosphatemia, who presented with gastrointestinal bleeding. Endoscopy revealed nodular erythematous mucosa in the duodenum, and biopsies showed histiocytosis in the lamina propria. The histiocytes showed abundant cytoplasm containing periodic acid-Schiff-positive diastase-resistant intracellular material. Immunohistochemical staining revealed diffuse CD68 positivity and lambda light-chain restriction of the storage material in the histiocytes, supporting a diagnosis of crystal-storing histiocytosis. Differential diagnoses, including Whipple disease, mycobacterial infections, lanthanum deposition, amyloidosis, and xanthoma, were excluded based on histological findings and clinical history. This report highlights the importance of recognizing crystal-storing histiocytosis in uncommon sites such as the duodenum, especially in the context of plasma cell dyscrasias.

Abstract Image

Abstract Image

Abstract Image

IgG-Lambda多发性骨髓瘤患者十二指肠结晶性组织细胞增多症。
结晶性组织细胞增多症是一种罕见的疾病,其特征是结晶性免疫球蛋白在组织细胞内积聚,通常与浆细胞疾病如多发性骨髓瘤有关。我们报告了一位70岁的男性患者,他有IgG-lambda多发性骨髓瘤、系统性淀粉样变性和终末期肾脏疾病的病史,通过腹膜透析和长期碳酸镧治疗高磷血症,他表现为胃肠道出血。内镜检查显示十二指肠结节性红斑粘膜,活检显示固有层组织细胞增多。组织细胞显示丰富的细胞质含有周期性的酸-希夫阳性的耐淀粉酶胞内物质。免疫组织化学染色显示弥漫性CD68阳性和组织细胞内储存物质的λ轻链限制,支持晶体储存组织细胞增多症的诊断。鉴别诊断,包括惠普尔病、分枝杆菌感染、镧沉积、淀粉样变性和黄色瘤,根据组织学发现和临床病史排除。本报告强调了在不常见部位(如十二指肠)识别晶体储存组织细胞增多症的重要性,特别是在浆细胞异常的情况下。
本文章由计算机程序翻译,如有差异,请以英文原文为准。
求助全文
约1分钟内获得全文 求助全文
来源期刊
CiteScore
2.10
自引率
0.00%
发文量
198
审稿时长
1 months
期刊介绍: International Journal of Surgical Pathology (IJSP) is a peer-reviewed journal published eight times a year, which offers original research and observations covering all major organ systems, timely reviews of new techniques and procedures, discussions of controversies in surgical pathology, case reports, and images in pathology. This journal is a member of the Committee on Publication Ethics (COPE).
×
引用
GB/T 7714-2015
复制
MLA
复制
APA
复制
导出至
BibTeX EndNote RefMan NoteFirst NoteExpress
×
提示
您的信息不完整,为了账户安全,请先补充。
现在去补充
×
提示
您因"违规操作"
具体请查看互助需知
我知道了
×
提示
确定
请完成安全验证×
copy
已复制链接
快去分享给好友吧!
我知道了
右上角分享
点击右上角分享
0
联系我们:info@booksci.cn Book学术提供免费学术资源搜索服务,方便国内外学者检索中英文文献。致力于提供最便捷和优质的服务体验。 Copyright © 2023 布克学术 All rights reserved.
京ICP备2023020795号-1
ghs 京公网安备 11010802042870号
Book学术文献互助
Book学术文献互助群
群 号:604180095
Book学术官方微信