15 Years of Intermittent Therapy With Hydroxychloroquine Without Any Loss of Efficacy in Reticular Erythematous Mucinosis.

Q3 Medicine
Case Reports in Dermatological Medicine Pub Date : 2025-05-22 eCollection Date: 2025-01-01 DOI:10.1155/crdm/8309221
Nicolò Di Giuli, Alice Bonelli, Martina Volonté, Eugenio Isoletta, Valeria Brazzelli
{"title":"15 Years of Intermittent Therapy With Hydroxychloroquine Without Any Loss of Efficacy in Reticular Erythematous Mucinosis.","authors":"Nicolò Di Giuli, Alice Bonelli, Martina Volonté, Eugenio Isoletta, Valeria Brazzelli","doi":"10.1155/crdm/8309221","DOIUrl":null,"url":null,"abstract":"<p><p>Reticular erythematous mucinosis (REM) is a rare dermatological condition characterized by erythematous, reticulated patches and plaques with a slightly infiltrated appearance. REM is classified among cutaneous mucinoses, which are characterized by the accumulation of mucin in the subcutaneous tissues, leading to the formation of characteristic reticulated patches on the skin. The pathogenesis is still debated, but the association with sun exposure seems to play an important role. We present the case of a 54-year-old individual with a history of recurrent erythema on the chest and back. The patient came to our attention in 2007 due to a worsening of symptoms after sun exposure. On clinical examination, the patient presented with pruritic, erythematous patches with a reticulated appearance. A biopsy was performed, which showed the presence of a moderate lymphocytic infiltrate in the dermis, with a perivascular and periappendageal distribution, consisting mainly of T lymphocytes, and deposits of mucin in the superficial dermis, dissecting the collagen bundles. A diagnosis of REM was made, and the patient began treatment with hydroxychloroquine 200 mg per day, with rapid improvement of symptoms. Considering the resolution of symptoms, the therapy was discontinued after 3 months. The patient remained in remission until the following summer when the condition recurred, requiring a new cycle of hydroxychloroquine therapy. The patient has experienced recurrences over the past 15 years during the summer, which responded to hydroxychloroquine therapy, consistently achieving rapid symptom resolution without ever experiencing loss of efficacy or side effects.</p>","PeriodicalId":9630,"journal":{"name":"Case Reports in Dermatological Medicine","volume":"2025 ","pages":"8309221"},"PeriodicalIF":0.0000,"publicationDate":"2025-05-22","publicationTypes":"Journal Article","fieldsOfStudy":null,"isOpenAccess":false,"openAccessPdf":"https://www.ncbi.nlm.nih.gov/pmc/articles/PMC12122118/pdf/","citationCount":"0","resultStr":null,"platform":"Semanticscholar","paperid":null,"PeriodicalName":"Case Reports in Dermatological Medicine","FirstCategoryId":"1085","ListUrlMain":"https://doi.org/10.1155/crdm/8309221","RegionNum":0,"RegionCategory":null,"ArticlePicture":[],"TitleCN":null,"AbstractTextCN":null,"PMCID":null,"EPubDate":"2025/1/1 0:00:00","PubModel":"eCollection","JCR":"Q3","JCRName":"Medicine","Score":null,"Total":0}
引用次数: 0

Abstract

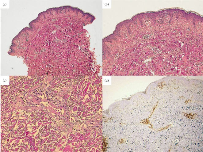
Reticular erythematous mucinosis (REM) is a rare dermatological condition characterized by erythematous, reticulated patches and plaques with a slightly infiltrated appearance. REM is classified among cutaneous mucinoses, which are characterized by the accumulation of mucin in the subcutaneous tissues, leading to the formation of characteristic reticulated patches on the skin. The pathogenesis is still debated, but the association with sun exposure seems to play an important role. We present the case of a 54-year-old individual with a history of recurrent erythema on the chest and back. The patient came to our attention in 2007 due to a worsening of symptoms after sun exposure. On clinical examination, the patient presented with pruritic, erythematous patches with a reticulated appearance. A biopsy was performed, which showed the presence of a moderate lymphocytic infiltrate in the dermis, with a perivascular and periappendageal distribution, consisting mainly of T lymphocytes, and deposits of mucin in the superficial dermis, dissecting the collagen bundles. A diagnosis of REM was made, and the patient began treatment with hydroxychloroquine 200 mg per day, with rapid improvement of symptoms. Considering the resolution of symptoms, the therapy was discontinued after 3 months. The patient remained in remission until the following summer when the condition recurred, requiring a new cycle of hydroxychloroquine therapy. The patient has experienced recurrences over the past 15 years during the summer, which responded to hydroxychloroquine therapy, consistently achieving rapid symptom resolution without ever experiencing loss of efficacy or side effects.

Abstract Image

Abstract Image

15年羟氯喹间歇治疗网状红斑性黏液病无任何疗效损失。
网状红斑性黏液病(REM)是一种罕见的皮肤病,其特征是红斑、网状斑块和斑块,外观轻微浸润。REM属于皮肤黏液病,其特征是黏液蛋白在皮下组织积累,导致皮肤上形成特征性的网状斑块。发病机制仍有争议,但与阳光照射的关系似乎起着重要作用。我们提出的情况下,一个54岁的个体与历史复发红斑在胸部和背部。该患者于2007年因日晒后症状恶化而引起我们的注意。在临床检查中,患者表现为瘙痒,红斑斑块,网状外观。活检显示真皮内有中度淋巴细胞浸润,分布在血管周围和阑尾周围,主要由T淋巴细胞组成,真皮浅层有粘蛋白沉积,剥离胶原束。诊断为快速眼动,患者开始服用羟氯喹,每天200毫克,症状迅速改善。考虑到症状消退,3个月后停止治疗。患者病情一直处于缓解期,直到第二年夏天病情复发,需要进行新一轮羟氯喹治疗。该患者在过去15年的夏季复发,对羟氯喹治疗有反应,持续快速缓解症状,从未出现疗效丧失或副作用。
本文章由计算机程序翻译,如有差异,请以英文原文为准。
求助全文
约1分钟内获得全文 求助全文
来源期刊
CiteScore
1.50
自引率
0.00%
发文量
24
审稿时长
15 weeks
×
引用
GB/T 7714-2015
复制
MLA
复制
APA
复制
导出至
BibTeX EndNote RefMan NoteFirst NoteExpress
×
提示
您的信息不完整,为了账户安全,请先补充。
现在去补充
×
提示
您因"违规操作"
具体请查看互助需知
我知道了
×
提示
确定
请完成安全验证×
copy
已复制链接
快去分享给好友吧!
我知道了
右上角分享
点击右上角分享
0
联系我们:info@booksci.cn Book学术提供免费学术资源搜索服务,方便国内外学者检索中英文文献。致力于提供最便捷和优质的服务体验。 Copyright © 2023 布克学术 All rights reserved.
京ICP备2023020795号-1
ghs 京公网安备 11010802042870号
Book学术文献互助
Book学术文献互助群
群 号:604180095
Book学术官方微信