Fournier's Gangrene and Pneumothorax Secondary to Nontraumatic Duodenal Perforation.

IF 0.5 Q4 SURGERY
Case Reports in Surgery Pub Date : 2025-05-22 eCollection Date: 2025-01-01 DOI:10.1155/cris/3027477
Ayman Shehadeh, Amer Mansoor, Jordan Bray, Waed Atallah, Jason Mikhail, Richard Spinale, Angad Pordal
{"title":"Fournier's Gangrene and Pneumothorax Secondary to Nontraumatic Duodenal Perforation.","authors":"Ayman Shehadeh, Amer Mansoor, Jordan Bray, Waed Atallah, Jason Mikhail, Richard Spinale, Angad Pordal","doi":"10.1155/cris/3027477","DOIUrl":null,"url":null,"abstract":"<p><p>Peptic ulcer disease (PUD) results from erosion and ulceration of the upper digestive tract mucosa. Clinical presentations can vary from asymptomatic to severe complications such as perforation, strictures, or bleeding. Perforation can release enteric contents and gas into the abdomen, leading to intra-abdominal sepsis, requiring surgical intervention for source control and repair. We present a case of a 69-year-old male who developed both Fournier's gangrene and a right-sided pneumothorax secondary to a nontraumatic perforated duodenal ulcer. The patient underwent an emergent thoracostomy, laparotomy with Graham omentoplasty, and extensive debridement with successful outcome. While rare complications like pneumothorax and necrotizing soft tissue infections have been documented, their simultaneous occurrence from a nontraumatic ulcer perforation is unprecedented in literature. Previous reports suggest enteric contents can traverse retroperitoneal fascial planes and peritoneal defects to reach distant anatomical sites as a possible mechanism for these complications. This case highlights the potential for atypical presentations of PUD and the importance of comprehensive evaluation, early recognition, and prompt surgical intervention.</p>","PeriodicalId":9600,"journal":{"name":"Case Reports in Surgery","volume":"2025 ","pages":"3027477"},"PeriodicalIF":0.5000,"publicationDate":"2025-05-22","publicationTypes":"Journal Article","fieldsOfStudy":null,"isOpenAccess":false,"openAccessPdf":"https://www.ncbi.nlm.nih.gov/pmc/articles/PMC12122163/pdf/","citationCount":"0","resultStr":null,"platform":"Semanticscholar","paperid":null,"PeriodicalName":"Case Reports in Surgery","FirstCategoryId":"1085","ListUrlMain":"https://doi.org/10.1155/cris/3027477","RegionNum":0,"RegionCategory":null,"ArticlePicture":[],"TitleCN":null,"AbstractTextCN":null,"PMCID":null,"EPubDate":"2025/1/1 0:00:00","PubModel":"eCollection","JCR":"Q4","JCRName":"SURGERY","Score":null,"Total":0}
引用次数: 0

Abstract

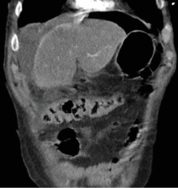
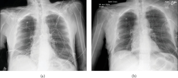
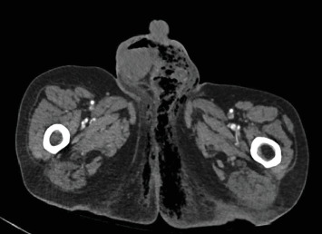
Peptic ulcer disease (PUD) results from erosion and ulceration of the upper digestive tract mucosa. Clinical presentations can vary from asymptomatic to severe complications such as perforation, strictures, or bleeding. Perforation can release enteric contents and gas into the abdomen, leading to intra-abdominal sepsis, requiring surgical intervention for source control and repair. We present a case of a 69-year-old male who developed both Fournier's gangrene and a right-sided pneumothorax secondary to a nontraumatic perforated duodenal ulcer. The patient underwent an emergent thoracostomy, laparotomy with Graham omentoplasty, and extensive debridement with successful outcome. While rare complications like pneumothorax and necrotizing soft tissue infections have been documented, their simultaneous occurrence from a nontraumatic ulcer perforation is unprecedented in literature. Previous reports suggest enteric contents can traverse retroperitoneal fascial planes and peritoneal defects to reach distant anatomical sites as a possible mechanism for these complications. This case highlights the potential for atypical presentations of PUD and the importance of comprehensive evaluation, early recognition, and prompt surgical intervention.

Abstract Image

Abstract Image

Abstract Image

非外伤性十二指肠穿孔继发的富尼耶坏疽和气胸。
消化性溃疡病(PUD)是由上消化道粘膜糜烂和溃烂引起的。临床表现可以从无症状到严重的并发症,如穿孔、狭窄或出血。穿孔可将肠道内容物和气体释放到腹部,导致腹腔内脓毒症,需要手术干预进行源头控制和修复。我们报告一个69岁男性的病例,他发展了福尼耶坏疽和右侧气胸,继发于非外伤性十二指肠溃疡穿孔。患者接受了紧急开胸术、开腹格雷厄姆网膜成形术和广泛清创手术,结果成功。虽然罕见的并发症,如气胸和坏死性软组织感染已被记录,他们同时发生的非创伤性溃疡穿孔在文献中是前所未有的。以前的报道认为肠内容物可以穿过腹膜后筋膜平面和腹膜缺损到达远处的解剖部位,这可能是这些并发症的机制。本病例强调了PUD非典型表现的可能性,以及综合评估、早期识别和及时手术干预的重要性。
本文章由计算机程序翻译,如有差异,请以英文原文为准。
求助全文
约1分钟内获得全文 求助全文
来源期刊
自引率
0.00%
发文量
60
审稿时长
13 weeks
×
引用
GB/T 7714-2015
复制
MLA
复制
APA
复制
导出至
BibTeX EndNote RefMan NoteFirst NoteExpress
×
提示
您的信息不完整,为了账户安全,请先补充。
现在去补充
×
提示
您因"违规操作"
具体请查看互助需知
我知道了
×
提示
确定
请完成安全验证×
copy
已复制链接
快去分享给好友吧!
我知道了
右上角分享
点击右上角分享
0
联系我们:info@booksci.cn Book学术提供免费学术资源搜索服务,方便国内外学者检索中英文文献。致力于提供最便捷和优质的服务体验。 Copyright © 2023 布克学术 All rights reserved.
京ICP备2023020795号-1
ghs 京公网安备 11010802042870号
Book学术文献互助
Book学术文献互助群
群 号:604180095
Book学术官方微信