Case Series of Blowhole Creation with or without Negative Pressure Wound Therapy for Severe Subcutaneous Emphysema.

IF 1.3
Toshiko Kamata, Shigetoshi Yoshida, Yuki Hirai, Ryo Karita, Yuki Onozato, Hironobu Wada, Takashi Anayama
{"title":"Case Series of Blowhole Creation with or without Negative Pressure Wound Therapy for Severe Subcutaneous Emphysema.","authors":"Toshiko Kamata, Shigetoshi Yoshida, Yuki Hirai, Ryo Karita, Yuki Onozato, Hironobu Wada, Takashi Anayama","doi":"10.5761/atcs.cr.25-00034","DOIUrl":null,"url":null,"abstract":"<p><p>Severe subcutaneous emphysema that is refractory to chest tube drainage can result in significant patient discomfort, airway compromise, and hemodynamic instability. Various interventional approaches, including subcutaneous drain insertion and the blowhole technique, with or without negative pressure wound therapy (NPWT), have been proposed to manage this condition. In this case series, we describe 10 patients who developed severe subcutaneous emphysema following surgery or pneumothorax and were treated using the blowhole technique, with or without NPWT. A Wound Protector/Retractor XXS or LapProtector was used to maintain the patency of the blowhole, facilitating continuous decompression. In cases with more extensive emphysema, the application of NPWT led to rapid respiratory improvement, thereby enabling additional invasive interventions to address the underlying pulmonary air leak. These findings highlight the potential utility of a structured approach incorporating NPWT for the management of severe subcutaneous emphysema, particularly in cases refractory to conventional chest tube drainage.</p>","PeriodicalId":93877,"journal":{"name":"Annals of thoracic and cardiovascular surgery : official journal of the Association of Thoracic and Cardiovascular Surgeons of Asia","volume":"31 1","pages":""},"PeriodicalIF":1.3000,"publicationDate":"2025-01-01","publicationTypes":"Journal Article","fieldsOfStudy":null,"isOpenAccess":false,"openAccessPdf":"https://www.ncbi.nlm.nih.gov/pmc/articles/PMC12127076/pdf/","citationCount":"0","resultStr":null,"platform":"Semanticscholar","paperid":null,"PeriodicalName":"Annals of thoracic and cardiovascular surgery : official journal of the Association of Thoracic and Cardiovascular Surgeons of Asia","FirstCategoryId":"1085","ListUrlMain":"https://doi.org/10.5761/atcs.cr.25-00034","RegionNum":0,"RegionCategory":null,"ArticlePicture":[],"TitleCN":null,"AbstractTextCN":null,"PMCID":null,"EPubDate":"","PubModel":"","JCR":"","JCRName":"","Score":null,"Total":0}
引用次数: 0

Abstract

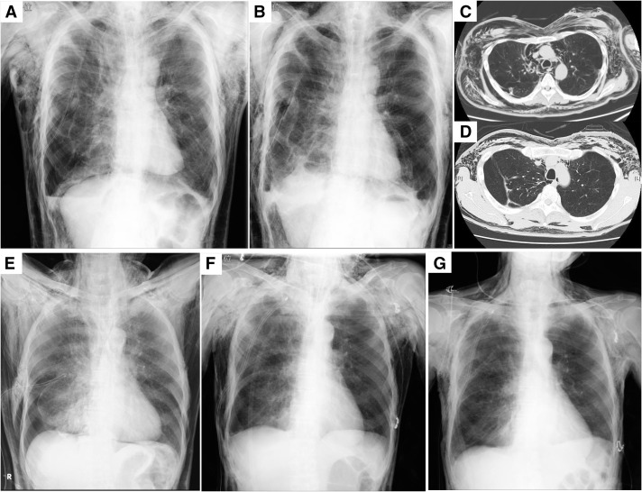
Severe subcutaneous emphysema that is refractory to chest tube drainage can result in significant patient discomfort, airway compromise, and hemodynamic instability. Various interventional approaches, including subcutaneous drain insertion and the blowhole technique, with or without negative pressure wound therapy (NPWT), have been proposed to manage this condition. In this case series, we describe 10 patients who developed severe subcutaneous emphysema following surgery or pneumothorax and were treated using the blowhole technique, with or without NPWT. A Wound Protector/Retractor XXS or LapProtector was used to maintain the patency of the blowhole, facilitating continuous decompression. In cases with more extensive emphysema, the application of NPWT led to rapid respiratory improvement, thereby enabling additional invasive interventions to address the underlying pulmonary air leak. These findings highlight the potential utility of a structured approach incorporating NPWT for the management of severe subcutaneous emphysema, particularly in cases refractory to conventional chest tube drainage.

Abstract Image

Abstract Image

Abstract Image

造气孔加或不加负压创面治疗严重皮下肺气肿的病例系列。
严重的皮下肺气肿对胸管引流有难治性,可导致患者明显不适、气道受损和血流动力学不稳定。各种介入方法,包括皮下引流插入和通气孔技术,有或没有负压伤口治疗(NPWT),已被提出来处理这种情况。在这个病例系列中,我们描述了10例在手术或气胸后出现严重皮下肺气肿的患者,并使用通气孔技术治疗,有或没有NPWT。使用伤口保护器/牵开器XXS或LapProtector保持通气孔通畅,促进持续减压。在更广泛的肺气肿病例中,NPWT的应用导致呼吸系统的快速改善,从而使额外的侵入性干预能够解决潜在的肺漏气。这些发现强调了结合NPWT的结构化方法治疗严重皮下肺气肿的潜在效用,特别是在传统胸管引流难治的病例中。
本文章由计算机程序翻译,如有差异,请以英文原文为准。
求助全文
约1分钟内获得全文 求助全文
来源期刊
自引率
0.00%
发文量
0
×
引用
GB/T 7714-2015
复制
MLA
复制
APA
复制
导出至
BibTeX EndNote RefMan NoteFirst NoteExpress
×
提示
您的信息不完整,为了账户安全,请先补充。
现在去补充
×
提示
您因"违规操作"
具体请查看互助需知
我知道了
×
提示
确定
请完成安全验证×
copy
已复制链接
快去分享给好友吧!
我知道了
右上角分享
点击右上角分享
0
联系我们:info@booksci.cn Book学术提供免费学术资源搜索服务,方便国内外学者检索中英文文献。致力于提供最便捷和优质的服务体验。 Copyright © 2023 布克学术 All rights reserved.
京ICP备2023020795号-1
ghs 京公网安备 11010802042870号
Book学术文献互助
Book学术文献互助群
群 号:604180095
Book学术官方微信