Leiomyosarcoma of the Breast: Case Report and Review of the Literature.

IF 1.7 Q4 ONCOLOGY
Amal Alimi, Hafedh Abbassi, Skander Abid, Amrou Dinari, Abdeljlil Khlifi, Samir Hidar, Sassi Boughizane, Hedi Khairi
{"title":"Leiomyosarcoma of the Breast: Case Report and Review of the Literature.","authors":"Amal Alimi, Hafedh Abbassi, Skander Abid, Amrou Dinari, Abdeljlil Khlifi, Samir Hidar, Sassi Boughizane, Hedi Khairi","doi":"10.4274/ejbh.galenos.2025.2024-10-8","DOIUrl":null,"url":null,"abstract":"<p><p>Primary breast leiomyosarcoma is an extremely rare malignancy, accounting for approximately 1% of breast tumors and less than 5% of soft tissue sarcomas. Due to its rarity, standardized treatment guidelines remain unclear. We report the case of a 38-year-old woman who presented with a 3 cm, freely mobile breast nodule, initially classified as American College of Radiology Breast Imaging Reporting and Data System 4 on imaging. Core needle biopsy confirmed primary breast leiomyosarcoma, with histopathological and immunohistochemical analysis revealing strong positivity for α-smooth muscle actin, desmin, and H-caldesmon, consistent with smooth muscle differentiation. Epithelial, neural, and vascular markers were negative, ruling out differential diagnoses. The Ki-67 index was 15%, indicating moderate proliferative activity. Staging classified the tumor as T2N0M0 (Stage IIA, the American Joint Committee on Cancer 8<sup>th</sup> edition), and the patient underwent radical mastectomy with sentinel lymph node exploration, followed by adjuvant radiotherapy. Despite the aggressive nature of leiomyosarcomas, this case exhibited favorable prognostic factors, including small tumor size, intermediate grade, negative margins, and no lymphatic spread, suggesting a less aggressive course. After four years of follow-up, the patient remains free of complications, underscoring the importance of long-term monitoring and the need for further research to refine therapeutic approaches.</p>","PeriodicalId":93996,"journal":{"name":"European journal of breast health","volume":" ","pages":"277-280"},"PeriodicalIF":1.7000,"publicationDate":"2025-06-20","publicationTypes":"Journal Article","fieldsOfStudy":null,"isOpenAccess":false,"openAccessPdf":"https://www.ncbi.nlm.nih.gov/pmc/articles/PMC12180097/pdf/","citationCount":"0","resultStr":null,"platform":"Semanticscholar","paperid":null,"PeriodicalName":"European journal of breast health","FirstCategoryId":"1085","ListUrlMain":"https://doi.org/10.4274/ejbh.galenos.2025.2024-10-8","RegionNum":0,"RegionCategory":null,"ArticlePicture":[],"TitleCN":null,"AbstractTextCN":null,"PMCID":null,"EPubDate":"2025/5/29 0:00:00","PubModel":"Epub","JCR":"Q4","JCRName":"ONCOLOGY","Score":null,"Total":0}
引用次数: 0

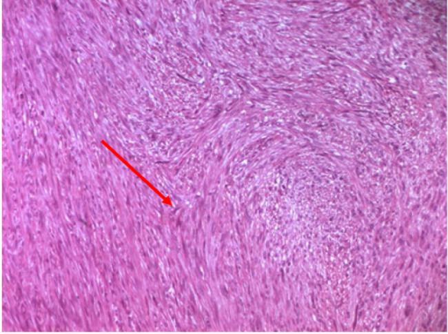
Abstract

Primary breast leiomyosarcoma is an extremely rare malignancy, accounting for approximately 1% of breast tumors and less than 5% of soft tissue sarcomas. Due to its rarity, standardized treatment guidelines remain unclear. We report the case of a 38-year-old woman who presented with a 3 cm, freely mobile breast nodule, initially classified as American College of Radiology Breast Imaging Reporting and Data System 4 on imaging. Core needle biopsy confirmed primary breast leiomyosarcoma, with histopathological and immunohistochemical analysis revealing strong positivity for α-smooth muscle actin, desmin, and H-caldesmon, consistent with smooth muscle differentiation. Epithelial, neural, and vascular markers were negative, ruling out differential diagnoses. The Ki-67 index was 15%, indicating moderate proliferative activity. Staging classified the tumor as T2N0M0 (Stage IIA, the American Joint Committee on Cancer 8th edition), and the patient underwent radical mastectomy with sentinel lymph node exploration, followed by adjuvant radiotherapy. Despite the aggressive nature of leiomyosarcomas, this case exhibited favorable prognostic factors, including small tumor size, intermediate grade, negative margins, and no lymphatic spread, suggesting a less aggressive course. After four years of follow-up, the patient remains free of complications, underscoring the importance of long-term monitoring and the need for further research to refine therapeutic approaches.

Abstract Image

Abstract Image

Abstract Image

乳房平滑肌肉瘤:病例报告及文献复习。
原发性乳腺平滑肌肉瘤是一种极为罕见的恶性肿瘤,约占乳腺肿瘤的1%,占软组织肉瘤的不到5%。由于其罕见,标准化的治疗指南仍不清楚。我们报告一位38岁女性的病例,她表现为一个3厘米,自由移动的乳房结节,最初被归类为美国放射学院乳腺影像学报告和数据系统4。核心穿刺活检证实为原发性乳房平滑肌肉瘤,组织病理学和免疫组织化学分析显示α-平滑肌肌动蛋白、desmin和H-caldesmon阳性,与平滑肌分化一致。上皮、神经和血管标志物均为阴性,排除了鉴别诊断。Ki-67指数为15%,表明增殖活性中等。肿瘤分期为T2N0M0(分期IIA,美国癌症联合委员会第8版),行根治性乳房切除术,前哨淋巴结探查,辅助放疗。尽管平滑肌肉瘤具有侵袭性,但该病例表现出良好的预后因素,包括肿瘤大小小,分级中等,切缘阴性,无淋巴扩散,表明其侵袭性较低。经过四年的随访,患者仍然没有出现并发症,这强调了长期监测的重要性和进一步研究以完善治疗方法的必要性。
本文章由计算机程序翻译,如有差异,请以英文原文为准。
求助全文
约1分钟内获得全文 求助全文
来源期刊
CiteScore
2.60
自引率
0.00%
发文量
0
×
引用
GB/T 7714-2015
复制
MLA
复制
APA
复制
导出至
BibTeX EndNote RefMan NoteFirst NoteExpress
×
提示
您的信息不完整,为了账户安全,请先补充。
现在去补充
×
提示
您因"违规操作"
具体请查看互助需知
我知道了
×
提示
确定
请完成安全验证×
copy
已复制链接
快去分享给好友吧!
我知道了
右上角分享
点击右上角分享
0
联系我们:info@booksci.cn Book学术提供免费学术资源搜索服务,方便国内外学者检索中英文文献。致力于提供最便捷和优质的服务体验。 Copyright © 2023 布克学术 All rights reserved.
京ICP备2023020795号-1
ghs 京公网安备 11010802042870号
Book学术文献互助
Book学术文献互助群
群 号:604180095
Book学术官方微信