The use of imaging in the diagnosis and treatment of thromboembolic pulmonary hypertension.

Cardiology journal Pub Date : 2025-01-01 Epub Date: 2025-05-29 DOI:10.5603/cj.102716
Konstantin Szewczuk, Olga Dzikowska-Diduch, Marek Gołębiowski
{"title":"The use of imaging in the diagnosis and treatment of thromboembolic pulmonary hypertension.","authors":"Konstantin Szewczuk, Olga Dzikowska-Diduch, Marek Gołębiowski","doi":"10.5603/cj.102716","DOIUrl":null,"url":null,"abstract":"<p><p>Chronic thromboembolic pulmonary hypertension (CTEPH) is a potentially life-threatening condition, classified as group 4 pulmonary hypertension (PH), caused by stenosis or occlusion of the pulmonary arteries due to unresolved thromboembolic material. The prognosis for untreated CTEPH patients is poor because it leads to elevated pulmonary artery pressure and right heart failure. Early and accurate diagnosis of CTEPH is crucial because it remains the only form of PH that is potentially curable. However, diagnosing CTEPH is often challenging and frequently delayed or misdiagnosed. This review discusses the current role of multimodal imaging in diagnosing CTEPH, guiding clinical decision-making, and monitoring post-treatment outcomes. The characteristic findings, strengths, and limitations of various imaging modalities, such as computed tomography, ventilation-perfusion lung scintigraphy, digital subtraction pulmonary angiography, and magnetic resonance imaging, are evaluated. Additionally, the role of artificial intelligence in improving the diagnosis and treatment outcomes of CTEPH is explored. Optimal patient assessment and therapeutic decision-making should ideally be conducted in specialized centers by a multidisciplinary team, utilizing data from imaging, pulmonary hemodynamics, and patient comorbidities.</p>","PeriodicalId":93923,"journal":{"name":"Cardiology journal","volume":" ","pages":"392-406"},"PeriodicalIF":0.0000,"publicationDate":"2025-01-01","publicationTypes":"Journal Article","fieldsOfStudy":null,"isOpenAccess":false,"openAccessPdf":"https://www.ncbi.nlm.nih.gov/pmc/articles/PMC12410944/pdf/","citationCount":"0","resultStr":null,"platform":"Semanticscholar","paperid":null,"PeriodicalName":"Cardiology journal","FirstCategoryId":"1085","ListUrlMain":"https://doi.org/10.5603/cj.102716","RegionNum":0,"RegionCategory":null,"ArticlePicture":[],"TitleCN":null,"AbstractTextCN":null,"PMCID":null,"EPubDate":"2025/5/29 0:00:00","PubModel":"Epub","JCR":"","JCRName":"","Score":null,"Total":0}
引用次数: 0

Abstract

Chronic thromboembolic pulmonary hypertension (CTEPH) is a potentially life-threatening condition, classified as group 4 pulmonary hypertension (PH), caused by stenosis or occlusion of the pulmonary arteries due to unresolved thromboembolic material. The prognosis for untreated CTEPH patients is poor because it leads to elevated pulmonary artery pressure and right heart failure. Early and accurate diagnosis of CTEPH is crucial because it remains the only form of PH that is potentially curable. However, diagnosing CTEPH is often challenging and frequently delayed or misdiagnosed. This review discusses the current role of multimodal imaging in diagnosing CTEPH, guiding clinical decision-making, and monitoring post-treatment outcomes. The characteristic findings, strengths, and limitations of various imaging modalities, such as computed tomography, ventilation-perfusion lung scintigraphy, digital subtraction pulmonary angiography, and magnetic resonance imaging, are evaluated. Additionally, the role of artificial intelligence in improving the diagnosis and treatment outcomes of CTEPH is explored. Optimal patient assessment and therapeutic decision-making should ideally be conducted in specialized centers by a multidisciplinary team, utilizing data from imaging, pulmonary hemodynamics, and patient comorbidities.

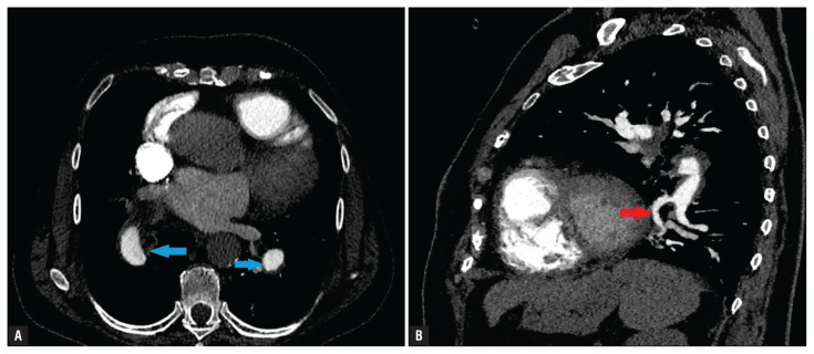
Abstract Image

Abstract Image

Abstract Image

影像学在血栓栓塞性肺动脉高压诊断和治疗中的应用。
慢性血栓栓塞性肺动脉高压(CTEPH)是一种潜在的危及生命的疾病,被归类为第4组肺动脉高压(PH),由未解决的血栓栓塞物质引起的肺动脉狭窄或闭塞引起。未经治疗的CTEPH患者预后较差,因为它会导致肺动脉压升高和右心衰。CTEPH的早期和准确诊断至关重要,因为它仍然是唯一可能治愈的PH形式。然而,诊断CTEPH通常具有挑战性,并且经常被延误或误诊。这篇综述讨论了目前多模态成像在诊断CTEPH、指导临床决策和监测治疗后结果中的作用。本文评估了计算机断层扫描、通气灌注肺显像、数字减影肺血管造影和磁共振成像等不同成像方式的特点、优势和局限性。此外,还探讨了人工智能在改善CTEPH诊断和治疗效果中的作用。理想情况下,最佳患者评估和治疗决策应在专业中心由多学科团队进行,利用影像学、肺血流动力学和患者合并症的数据。
本文章由计算机程序翻译,如有差异,请以英文原文为准。
求助全文
约1分钟内获得全文 求助全文
来源期刊
自引率
0.00%
发文量
0
×
引用
GB/T 7714-2015
复制
MLA
复制
APA
复制
导出至
BibTeX EndNote RefMan NoteFirst NoteExpress
×
提示
您的信息不完整,为了账户安全,请先补充。
现在去补充
×
提示
您因"违规操作"
具体请查看互助需知
我知道了
×
提示
确定
请完成安全验证×
copy
已复制链接
快去分享给好友吧!
我知道了
右上角分享
点击右上角分享
0
联系我们:info@booksci.cn Book学术提供免费学术资源搜索服务,方便国内外学者检索中英文文献。致力于提供最便捷和优质的服务体验。 Copyright © 2023 布克学术 All rights reserved.
京ICP备2023020795号-1
ghs 京公网安备 11010802042870号
Book学术文献互助
Book学术文献互助群
群 号:604180095
Book学术官方微信