Comparative evaluation of the efficiency of segmental maxillary canine retraction using Burstone T-loops versus elastomeric chains: a split-mouth randomized clinical trial.

Q2 Medicine
Dental Press Journal of Orthodontics Pub Date : 2025-05-23 eCollection Date: 2025-01-01 DOI:10.1590/2177-6709.30.2.e2524233.oar
Mohammed Abd-Elaziz Abd-Elaziz Younes, Nehal Fouad Albelasy, Ahmed Maher Fouda
{"title":"Comparative evaluation of the efficiency of segmental maxillary canine retraction using Burstone T-loops versus elastomeric chains: a split-mouth randomized clinical trial.","authors":"Mohammed Abd-Elaziz Abd-Elaziz Younes, Nehal Fouad Albelasy, Ahmed Maher Fouda","doi":"10.1590/2177-6709.30.2.e2524233.oar","DOIUrl":null,"url":null,"abstract":"<p><strong>Objective: </strong>The aim of this study was to evaluate and compare the effectiveness of elastomeric power chains and T-loop springs in retracting the maxillary canine with a time frame of four months.</p><p><strong>Material and methods: </strong>The study included 16 patients (8 women and 8 men), with a mean age of 19.06±2.22 years. These patients were recommended to bilateral maxillary first premolars extraction. A split-mouth design was used to randomly assign opposing quadrants to either power chains or T-loops. Study models and panoramic radiographs were acquired before and after canines retraction. The rate of canine retraction, rotation, tipping (primary outcome), and molar anchorage loss (secondary outcome) were measured using study models and panoramic radiograph, after retraction. All data was subjected to appropriate statistical analysis.</p><p><strong>Results: </strong>The average retraction for T-loops was 4.76 ± 1.02 mm, while for power chains it was 4.28 ± 0.81 mm. T-loops showed faster canine retraction (1.19 ± 0.08 mm/month) than power chains (1.07 ± 0.06 mm/month). T-loops had a significantly higher canine rotation (17.28±2.62°) than power chains (10.62±4.15°) (p<0.005). The sliding side showed greater tipping than the loop side, with statistically significant difference. Anchorage loss was not statistically different between both mechanics.</p><p><strong>Conclusion: </strong>T-loops offered the highest degree of canine retraction with minimal tipping, while power chains used for sectional canine retraction resulted in less canine rotation. However, there was no significant difference in the amount of anchorage loss between both mechanics.</p>","PeriodicalId":38720,"journal":{"name":"Dental Press Journal of Orthodontics","volume":"30 2","pages":"e2524233"},"PeriodicalIF":0.0000,"publicationDate":"2025-05-23","publicationTypes":"Journal Article","fieldsOfStudy":null,"isOpenAccess":false,"openAccessPdf":"https://www.ncbi.nlm.nih.gov/pmc/articles/PMC12101828/pdf/","citationCount":"0","resultStr":null,"platform":"Semanticscholar","paperid":null,"PeriodicalName":"Dental Press Journal of Orthodontics","FirstCategoryId":"1085","ListUrlMain":"https://doi.org/10.1590/2177-6709.30.2.e2524233.oar","RegionNum":0,"RegionCategory":null,"ArticlePicture":[],"TitleCN":null,"AbstractTextCN":null,"PMCID":null,"EPubDate":"2025/1/1 0:00:00","PubModel":"eCollection","JCR":"Q2","JCRName":"Medicine","Score":null,"Total":0}
引用次数: 0

Abstract

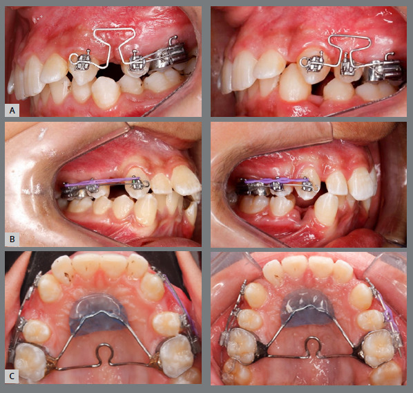
Objective: The aim of this study was to evaluate and compare the effectiveness of elastomeric power chains and T-loop springs in retracting the maxillary canine with a time frame of four months.

Material and methods: The study included 16 patients (8 women and 8 men), with a mean age of 19.06±2.22 years. These patients were recommended to bilateral maxillary first premolars extraction. A split-mouth design was used to randomly assign opposing quadrants to either power chains or T-loops. Study models and panoramic radiographs were acquired before and after canines retraction. The rate of canine retraction, rotation, tipping (primary outcome), and molar anchorage loss (secondary outcome) were measured using study models and panoramic radiograph, after retraction. All data was subjected to appropriate statistical analysis.

Results: The average retraction for T-loops was 4.76 ± 1.02 mm, while for power chains it was 4.28 ± 0.81 mm. T-loops showed faster canine retraction (1.19 ± 0.08 mm/month) than power chains (1.07 ± 0.06 mm/month). T-loops had a significantly higher canine rotation (17.28±2.62°) than power chains (10.62±4.15°) (p<0.005). The sliding side showed greater tipping than the loop side, with statistically significant difference. Anchorage loss was not statistically different between both mechanics.

Conclusion: T-loops offered the highest degree of canine retraction with minimal tipping, while power chains used for sectional canine retraction resulted in less canine rotation. However, there was no significant difference in the amount of anchorage loss between both mechanics.

Abstract Image

Abstract Image

Abstract Image

使用Burstone t型环和弹性链对上颌犬段性牵出效率的比较评价:一项分口随机临床试验。
目的:本研究的目的是评估和比较弹性动力链和t型环弹簧在上颌尖牙缩回中的有效性,时间框架为4个月。材料与方法:16例患者(女8例,男8例),平均年龄19.06±2.22岁。建议患者行双侧上颌第一前磨牙拔除术。采用开口设计,将相对的象限随机分配给动力链或t型环。拔牙前后分别获得研究模型和全景x线片。使用研究模型和全景x线片测量拔牙后犬牙的缩回、旋转、倾斜(主要结果)和磨牙支抗丢失(次要结果)的速率。所有数据都经过适当的统计分析。结果:t型环的平均内收为4.76±1.02 mm,动力链的平均内收为4.28±0.81 mm。t型环的犬齿回缩速度(1.19±0.08 mm/月)快于动力链(1.07±0.06 mm/月)。t型环的犬齿旋转度(17.28±2.62°)明显高于动力链(10.62±4.15°)(p结论:t型环的犬齿内收程度最高,倾斜程度最小,而动力链用于局部犬齿内收的犬齿旋转度较小。然而,两种力学方法在锚固损失量上没有显著差异。
本文章由计算机程序翻译,如有差异,请以英文原文为准。
求助全文
约1分钟内获得全文 求助全文
来源期刊
Dental Press Journal of Orthodontics
Dental Press Journal of Orthodontics Dentistry-Orthodontics
CiteScore
2.00
自引率
0.00%
发文量
40
审稿时长
27 weeks
期刊介绍: The Dental Press Journal of Orthodontics publishes scientific research articles, significant reviews, clinical and technical case reports, brief communications, and other materials related to Orthodontics and Facial Orthopedics.
×
引用
GB/T 7714-2015
复制
MLA
复制
APA
复制
导出至
BibTeX EndNote RefMan NoteFirst NoteExpress
×
提示
您的信息不完整,为了账户安全,请先补充。
现在去补充
×
提示
您因"违规操作"
具体请查看互助需知
我知道了
×
提示
确定
请完成安全验证×
copy
已复制链接
快去分享给好友吧!
我知道了
右上角分享
点击右上角分享
0
联系我们:info@booksci.cn Book学术提供免费学术资源搜索服务,方便国内外学者检索中英文文献。致力于提供最便捷和优质的服务体验。 Copyright © 2023 布克学术 All rights reserved.
京ICP备2023020795号-1
ghs 京公网安备 11010802042870号
Book学术文献互助
Book学术文献互助群
群 号:604180095
Book学术官方微信