Inability to Perform Retrograde Ureteroscopic Stone Treatment: A Postoperative Anatomical Change After Fleur-de-Lis Abdominoplasty.

Case Reports in Urology Pub Date : 2025-05-21 eCollection Date: 2025-01-01 DOI:10.1155/criu/4992363
Parker L Heger, Thomas F Rashid, Lucas B Vergamini, Bristol B Whiles, Aaron Tverye, Wilson R Molina
{"title":"Inability to Perform Retrograde Ureteroscopic Stone Treatment: A Postoperative Anatomical Change After Fleur-de-Lis Abdominoplasty.","authors":"Parker L Heger, Thomas F Rashid, Lucas B Vergamini, Bristol B Whiles, Aaron Tverye, Wilson R Molina","doi":"10.1155/criu/4992363","DOIUrl":null,"url":null,"abstract":"<p><p>Abdominoplasty is a frequently performed elective procedure, often indicated for patients after substantial weight loss resulting in significant redundant skin. Closing techniques and the lifting of the mons pubis during abdominoplasty have been proposed to alleviate symptoms of stress urinary incontinence by elevating and supporting the urethra. Despite these observations, the impact of abdominoplasty on pelvic anatomy and subsequent endoscopic procedures remains underexplored and underreported. We present a case where cystoscope passage as part of endoscopic laser lithotripsy for nephrolithiasis was impeded by altered anatomy in a patient with a history of Fleur-de-Lis abdominoplasty.</p>","PeriodicalId":30323,"journal":{"name":"Case Reports in Urology","volume":"2025 ","pages":"4992363"},"PeriodicalIF":0.0000,"publicationDate":"2025-05-21","publicationTypes":"Journal Article","fieldsOfStudy":null,"isOpenAccess":false,"openAccessPdf":"https://www.ncbi.nlm.nih.gov/pmc/articles/PMC12119170/pdf/","citationCount":"0","resultStr":null,"platform":"Semanticscholar","paperid":null,"PeriodicalName":"Case Reports in Urology","FirstCategoryId":"1085","ListUrlMain":"https://doi.org/10.1155/criu/4992363","RegionNum":0,"RegionCategory":null,"ArticlePicture":[],"TitleCN":null,"AbstractTextCN":null,"PMCID":null,"EPubDate":"2025/1/1 0:00:00","PubModel":"eCollection","JCR":"","JCRName":"","Score":null,"Total":0}
引用次数: 0

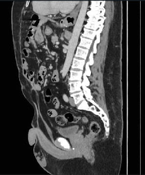
Abstract

Abdominoplasty is a frequently performed elective procedure, often indicated for patients after substantial weight loss resulting in significant redundant skin. Closing techniques and the lifting of the mons pubis during abdominoplasty have been proposed to alleviate symptoms of stress urinary incontinence by elevating and supporting the urethra. Despite these observations, the impact of abdominoplasty on pelvic anatomy and subsequent endoscopic procedures remains underexplored and underreported. We present a case where cystoscope passage as part of endoscopic laser lithotripsy for nephrolithiasis was impeded by altered anatomy in a patient with a history of Fleur-de-Lis abdominoplasty.

Abstract Image

Abstract Image

Abstract Image

无法进行逆行输尿管镜下结石治疗:百合腹部成形术后的解剖改变。
腹部成形术是一种常用的选择性手术,通常用于体重减轻导致皮肤明显多余的患者。在腹部成形术中,闭合技术和提升耻骨可以通过抬高和支撑尿道来缓解压力性尿失禁的症状。尽管有这些观察结果,腹部成形术对骨盆解剖和随后的内窥镜手术的影响仍然未被充分探索和报道。我们提出了一个病例,其中膀胱镜通过作为肾结石的内镜激光碎石术的一部分,被改变的解剖结构阻碍了患者的历史鸢尾花腹部成形术。
本文章由计算机程序翻译,如有差异,请以英文原文为准。
求助全文
约1分钟内获得全文 求助全文
来源期刊
自引率
0.00%
发文量
28
审稿时长
13 weeks
×
引用
GB/T 7714-2015
复制
MLA
复制
APA
复制
导出至
BibTeX EndNote RefMan NoteFirst NoteExpress
×
提示
您的信息不完整,为了账户安全,请先补充。
现在去补充
×
提示
您因"违规操作"
具体请查看互助需知
我知道了
×
提示
确定
请完成安全验证×
copy
已复制链接
快去分享给好友吧!
我知道了
右上角分享
点击右上角分享
0
联系我们:info@booksci.cn Book学术提供免费学术资源搜索服务,方便国内外学者检索中英文文献。致力于提供最便捷和优质的服务体验。 Copyright © 2023 布克学术 All rights reserved.
京ICP备2023020795号-1
ghs 京公网安备 11010802042870号
Book学术文献互助
Book学术文献互助群
群 号:604180095
Book学术官方微信