A diagnostic model based on magnetic resonance imaging for Menière’s disease: a multicentre study

IF 1.7 4区 医学 Q3 RADIOLOGY, NUCLEAR MEDICINE & MEDICAL IMAGING
Diagnostic and interventional radiology Pub Date : 2025-07-08 Epub Date: 2025-05-29 DOI:10.4274/dir.2025.253293
Xinyi Chen, Yanfeng Zhao, Yunchong Han, Kai Wei, Shufang Cheng, Yongjun Ye, Jie Feng, Xinchen Huang, Jingjing Xu
{"title":"A diagnostic model based on magnetic resonance imaging for Menière’s disease: a multicentre study","authors":"Xinyi Chen, Yanfeng Zhao, Yunchong Han, Kai Wei, Shufang Cheng, Yongjun Ye, Jie Feng, Xinchen Huang, Jingjing Xu","doi":"10.4274/dir.2025.253293","DOIUrl":null,"url":null,"abstract":"<p><strong>Purpose: </strong>To evaluate the diagnostic performance of delayed post-gadolinium enhancement magnetic resonance imaging (DEMRI) in diagnosing Menière’s disease (MD) and to establish an effective MRI-based diagnostic model.</p><p><strong>Methods: </strong>This retrospective multicenter study assessed DEMRI descriptors in patients presenting with Ménièriform symptoms who were examined consecutively between May 2022 and May 2024. A total of 162 ears (95 with MD, 67 controls) were included. Each ear was randomly assigned to either a training set (n = 98) or a validation set (n = 64). In the training cohort, diagnostic models for MD were developed using logistic regression. The area under the curve (AUC) was used to evaluate the diagnostic performance of the different models. The Delong test was applied to compare AUC estimates between models.</p><p><strong>Results: </strong>The proposed DEMRI diagnostic model demonstrated strong diagnostic performance in both the training cohort (AUC: 0.907) and the validation cohort (AUC: 0.887), outperforming the clinical diagnostic model (<i>P</i> = 0.01231; 95% confidence interval: 0.033–0.269) in the validation cohort. The AUC of the DEMRI model was also higher than that of the combined DEMRI-clinical model (AUC: 0.796), although the difference was not statistically significant (<i>P</i> = 0.054). In the training set, the sensitivity and specificity of the DEMRI model were 78.9% and 88.5%, respectively.</p><p><strong>Conclusion: </strong>A diagnostic model based on DEMRI features for MD is more effective than one based solely on clinical variables. DEMRI should, therefore, be recommended when MD is suspected, given its significant diagnostic potential.</p><p><strong>Clinical significance: </strong>This model may improve the accuracy and timeliness of MD diagnosis, as it is less influenced by the attending physician’s level of inquiry or the patient’s self-reporting ability. It may also contribute to more effective disease management in patients with MD.</p>","PeriodicalId":11341,"journal":{"name":"Diagnostic and interventional radiology","volume":" ","pages":"347-358"},"PeriodicalIF":1.7000,"publicationDate":"2025-07-08","publicationTypes":"Journal Article","fieldsOfStudy":null,"isOpenAccess":false,"openAccessPdf":"https://www.ncbi.nlm.nih.gov/pmc/articles/PMC12239533/pdf/","citationCount":"0","resultStr":null,"platform":"Semanticscholar","paperid":null,"PeriodicalName":"Diagnostic and interventional radiology","FirstCategoryId":"3","ListUrlMain":"https://doi.org/10.4274/dir.2025.253293","RegionNum":4,"RegionCategory":"医学","ArticlePicture":[],"TitleCN":null,"AbstractTextCN":null,"PMCID":null,"EPubDate":"2025/5/29 0:00:00","PubModel":"Epub","JCR":"Q3","JCRName":"RADIOLOGY, NUCLEAR MEDICINE & MEDICAL IMAGING","Score":null,"Total":0}
引用次数: 0

Abstract

Purpose: To evaluate the diagnostic performance of delayed post-gadolinium enhancement magnetic resonance imaging (DEMRI) in diagnosing Menière’s disease (MD) and to establish an effective MRI-based diagnostic model.

Methods: This retrospective multicenter study assessed DEMRI descriptors in patients presenting with Ménièriform symptoms who were examined consecutively between May 2022 and May 2024. A total of 162 ears (95 with MD, 67 controls) were included. Each ear was randomly assigned to either a training set (n = 98) or a validation set (n = 64). In the training cohort, diagnostic models for MD were developed using logistic regression. The area under the curve (AUC) was used to evaluate the diagnostic performance of the different models. The Delong test was applied to compare AUC estimates between models.

Results: The proposed DEMRI diagnostic model demonstrated strong diagnostic performance in both the training cohort (AUC: 0.907) and the validation cohort (AUC: 0.887), outperforming the clinical diagnostic model (P = 0.01231; 95% confidence interval: 0.033–0.269) in the validation cohort. The AUC of the DEMRI model was also higher than that of the combined DEMRI-clinical model (AUC: 0.796), although the difference was not statistically significant (P = 0.054). In the training set, the sensitivity and specificity of the DEMRI model were 78.9% and 88.5%, respectively.

Conclusion: A diagnostic model based on DEMRI features for MD is more effective than one based solely on clinical variables. DEMRI should, therefore, be recommended when MD is suspected, given its significant diagnostic potential.

Clinical significance: This model may improve the accuracy and timeliness of MD diagnosis, as it is less influenced by the attending physician’s level of inquiry or the patient’s self-reporting ability. It may also contribute to more effective disease management in patients with MD.

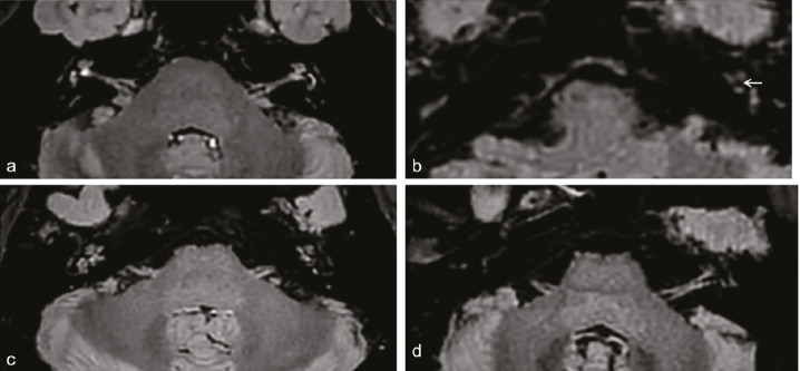
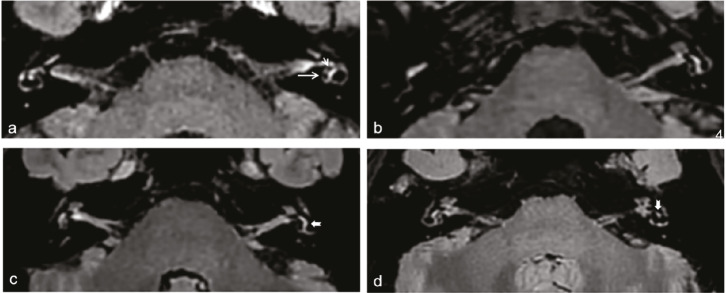
Abstract Image

Abstract Image

Abstract Image

基于磁共振成像的meni病诊断模型:一项多中心研究
目的:评价延迟钆后增强磁共振成像(DEMRI)对meni病(MD)的诊断价值,建立一种有效的基于mri的诊断模型。方法:这项回顾性的多中心研究评估了在2022年5月至2024年5月期间连续检查的有mims症状的患者的DEMRI描述符。共纳入162只耳(MD 95只,对照组67只)。每只耳朵被随机分配到训练集(n = 98)或验证集(n = 64)。在培训队列中,使用逻辑回归建立MD的诊断模型。采用曲线下面积(AUC)评价不同模型的诊断效果。采用Delong检验比较模型间的AUC估计值。结果:所建立的DEMRI诊断模型在训练队列(AUC: 0.907)和验证队列(AUC: 0.887)中均表现出较强的诊断性能,优于临床诊断模型(P = 0.01231;95%可信区间:0.033-0.269)。DEMRI模型的AUC也高于DEMRI-临床联合模型(AUC: 0.796),但差异无统计学意义(P = 0.054)。在训练集中,DEMRI模型的敏感性和特异性分别为78.9%和88.5%。结论:基于DEMRI特征的MD诊断模型比仅基于临床变量的诊断模型更有效。因此,考虑到其重要的诊断潜力,当怀疑患有MD时,应推荐行DEMRI检查。临床意义:该模型受主治医师问诊水平和患者自我报告能力的影响较小,可提高MD诊断的准确性和及时性。它也可能有助于MD患者更有效的疾病管理。
本文章由计算机程序翻译,如有差异,请以英文原文为准。
求助全文
约1分钟内获得全文 求助全文
来源期刊
Diagnostic and interventional radiology
Diagnostic and interventional radiology Medicine-Radiology, Nuclear Medicine and Imaging
自引率
4.80%
发文量
0
期刊介绍: Diagnostic and Interventional Radiology (Diagn Interv Radiol) is the open access, online-only official publication of Turkish Society of Radiology. It is published bimonthly and the journal’s publication language is English. The journal is a medium for original articles, reviews, pictorial essays, technical notes related to all fields of diagnostic and interventional radiology.
×
引用
GB/T 7714-2015
复制
MLA
复制
APA
复制
导出至
BibTeX EndNote RefMan NoteFirst NoteExpress
×
提示
您的信息不完整,为了账户安全,请先补充。
现在去补充
×
提示
您因"违规操作"
具体请查看互助需知
我知道了
×
提示
确定
请完成安全验证×
copy
已复制链接
快去分享给好友吧!
我知道了
右上角分享
点击右上角分享
0
联系我们:info@booksci.cn Book学术提供免费学术资源搜索服务,方便国内外学者检索中英文文献。致力于提供最便捷和优质的服务体验。 Copyright © 2023 布克学术 All rights reserved.
京ICP备2023020795号-1
ghs 京公网安备 11010802042870号
Book学术文献互助
Book学术文献互助群
群 号:604180095
Book学术官方微信