Mutational analysis and protein expression of PI3K/AKT pathway in four mucinous cystadenocarcinoma of the breast.

IF 2.3 3区 医学 Q2 PATHOLOGY
Yan Zheng, Huaxiao Tang, Qian Liu, Yujie Zhang, Peng Zhao, Shukun Zhang, Chengqin Wang
{"title":"Mutational analysis and protein expression of PI3K/AKT pathway in four mucinous cystadenocarcinoma of the breast.","authors":"Yan Zheng, Huaxiao Tang, Qian Liu, Yujie Zhang, Peng Zhao, Shukun Zhang, Chengqin Wang","doi":"10.1186/s13000-025-01650-1","DOIUrl":null,"url":null,"abstract":"<p><strong>Introduction: </strong>Primary mucinous cystadenocarcinoma of the breast (BMCA) is a rare neoplasm with few reports in the literature. Its molecular characteristics, prognosis, and treatment protocols are not well understood, and there is a lack of consensus concerning the optimal management of this condition.</p><p><strong>Methods: </strong>Four cases of clinical and pathological data were collected from 2018 to 2024. Next generation sequencing with a 654 cancer-associated gene panel was utilized to detect gene mutations. Immunohistochemistry was carried out to evaluate protein expression levels.</p><p><strong>Results: </strong>Firstly, we combined clinical imaging examinations and IHC to exclude the possibility of metastasis from ovarian or pancreatic origins. BMCA was composed of cystically dilated ducts lined by tall columnar mucin-containing epithelium. The morphological spectrum of MCA varied from MCA alone to MCA combined with carcinoma in situ (CIS) to MCA associated with invasive ductal carcinoma (IDC). ER/PR/HER2 and CK20 were all negative, while CK7 and GATA3 were positive by IHC in four cases. Although the prognosis of the other three patients was favorable during the follow-up periods of 13, 10, and 3 months, respectively, case 2# experienced a recurrence of the primary focus after 42 months. No lymphatic metastasis was identified in cases 1-4#. In addition, next-generation sequencing (NGS) identified 17 mutated genes and 25 mutation sites in four cases. TP53, PIK3CA, AKT, PTEN, and RB1 were the highest frequency mutated genes. Given that AKT mutations typically refer to AKT1(E17K) rather than AKT2 or AKT3, AKT protein expression was detected only in Case 2# (AKT1, E17K). PTEN protein was expressed in case 4# (corresponded to missense mutation), loss of PTEN expression were corresponding with splicing mutation in case1#. In brief, AKT and PTEN protein expression could be corresponded to gene mutation in a certain extent. However, PIK3CA protein expression was positive in Case 2# but negative in Case 1#, which did not fully accordance with the NGS-detected missense mutations. No associated germline variations were detected. Additionally, neither PDL-1 expression nor microsatellite instability-high (MSI-H) status was identified.</p><p><strong>Conclusion: </strong>The tumorigenesis and development of BMCA may be regulated to the PI3K/AKT pathway. Consequently, a comprehensive genetic analysis of more cases could elucidate the molecular mechanisms underlying this rare tumor.</p>","PeriodicalId":11237,"journal":{"name":"Diagnostic Pathology","volume":"20 1","pages":"68"},"PeriodicalIF":2.3000,"publicationDate":"2025-05-28","publicationTypes":"Journal Article","fieldsOfStudy":null,"isOpenAccess":false,"openAccessPdf":"https://www.ncbi.nlm.nih.gov/pmc/articles/PMC12121189/pdf/","citationCount":"0","resultStr":null,"platform":"Semanticscholar","paperid":null,"PeriodicalName":"Diagnostic Pathology","FirstCategoryId":"3","ListUrlMain":"https://doi.org/10.1186/s13000-025-01650-1","RegionNum":3,"RegionCategory":"医学","ArticlePicture":[],"TitleCN":null,"AbstractTextCN":null,"PMCID":null,"EPubDate":"","PubModel":"","JCR":"Q2","JCRName":"PATHOLOGY","Score":null,"Total":0}
引用次数: 0

Abstract

Introduction: Primary mucinous cystadenocarcinoma of the breast (BMCA) is a rare neoplasm with few reports in the literature. Its molecular characteristics, prognosis, and treatment protocols are not well understood, and there is a lack of consensus concerning the optimal management of this condition.

Methods: Four cases of clinical and pathological data were collected from 2018 to 2024. Next generation sequencing with a 654 cancer-associated gene panel was utilized to detect gene mutations. Immunohistochemistry was carried out to evaluate protein expression levels.

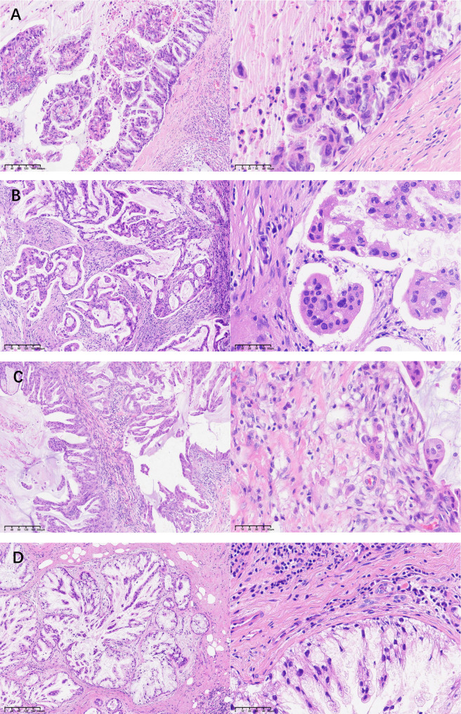
Results: Firstly, we combined clinical imaging examinations and IHC to exclude the possibility of metastasis from ovarian or pancreatic origins. BMCA was composed of cystically dilated ducts lined by tall columnar mucin-containing epithelium. The morphological spectrum of MCA varied from MCA alone to MCA combined with carcinoma in situ (CIS) to MCA associated with invasive ductal carcinoma (IDC). ER/PR/HER2 and CK20 were all negative, while CK7 and GATA3 were positive by IHC in four cases. Although the prognosis of the other three patients was favorable during the follow-up periods of 13, 10, and 3 months, respectively, case 2# experienced a recurrence of the primary focus after 42 months. No lymphatic metastasis was identified in cases 1-4#. In addition, next-generation sequencing (NGS) identified 17 mutated genes and 25 mutation sites in four cases. TP53, PIK3CA, AKT, PTEN, and RB1 were the highest frequency mutated genes. Given that AKT mutations typically refer to AKT1(E17K) rather than AKT2 or AKT3, AKT protein expression was detected only in Case 2# (AKT1, E17K). PTEN protein was expressed in case 4# (corresponded to missense mutation), loss of PTEN expression were corresponding with splicing mutation in case1#. In brief, AKT and PTEN protein expression could be corresponded to gene mutation in a certain extent. However, PIK3CA protein expression was positive in Case 2# but negative in Case 1#, which did not fully accordance with the NGS-detected missense mutations. No associated germline variations were detected. Additionally, neither PDL-1 expression nor microsatellite instability-high (MSI-H) status was identified.

Conclusion: The tumorigenesis and development of BMCA may be regulated to the PI3K/AKT pathway. Consequently, a comprehensive genetic analysis of more cases could elucidate the molecular mechanisms underlying this rare tumor.

Abstract Image

Abstract Image

Abstract Image

4种乳腺粘液囊腺癌中PI3K/AKT通路的突变分析及蛋白表达
简介:原发性乳腺粘液囊腺癌(BMCA)是一种罕见的肿瘤,文献报道很少。其分子特征、预后和治疗方案尚不清楚,对这种情况的最佳管理缺乏共识。方法:收集2018 ~ 2024年4例患者的临床及病理资料。下一代测序与654癌症相关基因面板被用于检测基因突变。免疫组化检测蛋白表达水平。结果:首先,我们结合临床影像学检查和免疫组化检查,排除了卵巢或胰腺转移的可能性。BMCA由囊性扩张的导管组成,内衬高柱状含黏液上皮。从单纯MCA到合并原位癌(CIS),再到合并浸润性导管癌(IDC), MCA的形态谱各不相同。ER/PR/HER2、CK20均为阴性,4例免疫组化检测结果为CK7、GATA3阳性。虽然其他3例患者分别在随访13个月、10个月和3个月期间预后良好,但病例2#在42个月后出现原发病灶复发。1 ~ 4例未发现淋巴转移。此外,新一代测序(NGS)在4例中鉴定出17个突变基因和25个突变位点。TP53、PIK3CA、AKT、PTEN和RB1是频率最高的突变基因。鉴于AKT突变通常是指AKT1(E17K)而不是AKT2或AKT3,因此仅在病例2# (AKT1, E17K)中检测到AKT蛋白表达。病例4#表达PTEN蛋白(对应错义突变),病例1#缺失PTEN蛋白表达与剪接突变相对应。总之,AKT和PTEN蛋白的表达可能在一定程度上对应于基因突变。然而,PIK3CA蛋白在病例2#中呈阳性表达,而在病例1#中呈阴性表达,这与ngs检测到的错义突变不完全一致。未检测到相关的种系变异。此外,没有发现PDL-1表达或微卫星不稳定性高(MSI-H)状态。结论:BMCA的发生发展可能受PI3K/AKT通路的调控。因此,对更多病例进行全面的遗传分析可以阐明这种罕见肿瘤的分子机制。
本文章由计算机程序翻译,如有差异,请以英文原文为准。
求助全文
约1分钟内获得全文 求助全文
来源期刊
Diagnostic Pathology
Diagnostic Pathology 医学-病理学
CiteScore
4.60
自引率
0.00%
发文量
93
审稿时长
1 months
期刊介绍: Diagnostic Pathology is an open access, peer-reviewed, online journal that considers research in surgical and clinical pathology, immunology, and biology, with a special focus on cutting-edge approaches in diagnostic pathology and tissue-based therapy. The journal covers all aspects of surgical pathology, including classic diagnostic pathology, prognosis-related diagnosis (tumor stages, prognosis markers, such as MIB-percentage, hormone receptors, etc.), and therapy-related findings. The journal also focuses on the technological aspects of pathology, including molecular biology techniques, morphometry aspects (stereology, DNA analysis, syntactic structure analysis), communication aspects (telecommunication, virtual microscopy, virtual pathology institutions, etc.), and electronic education and quality assurance (for example interactive publication, on-line references with automated updating, etc.).
×
引用
GB/T 7714-2015
复制
MLA
复制
APA
复制
导出至
BibTeX EndNote RefMan NoteFirst NoteExpress
×
提示
您的信息不完整,为了账户安全,请先补充。
现在去补充
×
提示
您因"违规操作"
具体请查看互助需知
我知道了
×
提示
确定
请完成安全验证×
copy
已复制链接
快去分享给好友吧!
我知道了
右上角分享
点击右上角分享
0
联系我们:info@booksci.cn Book学术提供免费学术资源搜索服务,方便国内外学者检索中英文文献。致力于提供最便捷和优质的服务体验。 Copyright © 2023 布克学术 All rights reserved.
京ICP备2023020795号-1
ghs 京公网安备 11010802042870号
Book学术文献互助
Book学术文献互助群
群 号:604180095
Book学术官方微信