Advanced ActivePure Technology: The Opportunity for Risk Assessment Using Murine Model

IF 4.3 2区 环境科学与生态学 Q1 CONSTRUCTION & BUILDING TECHNOLOGY
Indoor air Pub Date : 2025-05-30 DOI:10.1155/ina/9916852
Tomasz Niemiec, Wiesław Świderek, Małgorzata Rzepkowska, Magdalena Fajkowska, Marta Gajewska, Karolina Wnęk-Auguścik, Malwina Sosnowska, Magdalena Matusiewicz, Andrzej Łozicki, Klara Piotrowska
{"title":"Advanced ActivePure Technology: The Opportunity for Risk Assessment Using Murine Model","authors":"Tomasz Niemiec,&nbsp;Wiesław Świderek,&nbsp;Małgorzata Rzepkowska,&nbsp;Magdalena Fajkowska,&nbsp;Marta Gajewska,&nbsp;Karolina Wnęk-Auguścik,&nbsp;Malwina Sosnowska,&nbsp;Magdalena Matusiewicz,&nbsp;Andrzej Łozicki,&nbsp;Klara Piotrowska","doi":"10.1155/ina/9916852","DOIUrl":null,"url":null,"abstract":"<p>This study evaluates the effects of Advanced ActivePure technology, a photocatalytic air purification system, on the health status of mice housed in a controlled environment. This novel technology is promising due to its ability to eliminate the risk of ozone release into the environment, making it safer compared to other photocatalytic oxidation technologies. Utilizing 300 6-month-old mice over a period of 3 months, this research investigated various health parameters, including haematological, serum biochemical, redox, and inflammatory indicators. The experiment demonstrated no significant alteration in the majority of tested parameters between the control and Advanced ActivePure-exposed groups. Until now, no study has analyzed the health safety of living organisms exposed to Advanced ActivePure in such a detailed manner. Histopathological analyses of nasal and eye tissues showed no adverse changes attributable to Advanced ActivePure exposure. These findings suggest that Advanced ActivePure technology does not negatively impact the overall health of mice, including biochemical markers and respiratory histopathology.</p>","PeriodicalId":13529,"journal":{"name":"Indoor air","volume":"2025 1","pages":""},"PeriodicalIF":4.3000,"publicationDate":"2025-05-30","publicationTypes":"Journal Article","fieldsOfStudy":null,"isOpenAccess":false,"openAccessPdf":"https://onlinelibrary.wiley.com/doi/epdf/10.1155/ina/9916852","citationCount":"0","resultStr":null,"platform":"Semanticscholar","paperid":null,"PeriodicalName":"Indoor air","FirstCategoryId":"93","ListUrlMain":"https://onlinelibrary.wiley.com/doi/10.1155/ina/9916852","RegionNum":2,"RegionCategory":"环境科学与生态学","ArticlePicture":[],"TitleCN":null,"AbstractTextCN":null,"PMCID":null,"EPubDate":"","PubModel":"","JCR":"Q1","JCRName":"CONSTRUCTION & BUILDING TECHNOLOGY","Score":null,"Total":0}
引用次数: 0

Abstract

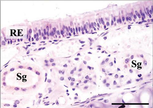
This study evaluates the effects of Advanced ActivePure technology, a photocatalytic air purification system, on the health status of mice housed in a controlled environment. This novel technology is promising due to its ability to eliminate the risk of ozone release into the environment, making it safer compared to other photocatalytic oxidation technologies. Utilizing 300 6-month-old mice over a period of 3 months, this research investigated various health parameters, including haematological, serum biochemical, redox, and inflammatory indicators. The experiment demonstrated no significant alteration in the majority of tested parameters between the control and Advanced ActivePure-exposed groups. Until now, no study has analyzed the health safety of living organisms exposed to Advanced ActivePure in such a detailed manner. Histopathological analyses of nasal and eye tissues showed no adverse changes attributable to Advanced ActivePure exposure. These findings suggest that Advanced ActivePure technology does not negatively impact the overall health of mice, including biochemical markers and respiratory histopathology.

Abstract Image

先进的ActivePure技术:利用小鼠模型进行风险评估的机会
本研究评估了Advanced ActivePure技术(一种光催化空气净化系统)对置于受控环境中的小鼠健康状况的影响。这项新技术很有前景,因为它能够消除臭氧释放到环境中的风险,与其他光催化氧化技术相比,它更安全。在3个月的时间里,本研究利用300只6个月大的小鼠,研究了各种健康参数,包括血液学、血清生化、氧化还原和炎症指标。实验表明,在对照组和Advanced activepure暴露组之间,大多数测试参数没有显着变化。到目前为止,还没有研究以如此详细的方式分析暴露于Advanced ActivePure的生物体的健康安全性。对鼻和眼组织的组织病理学分析显示,暴露于Advanced ActivePure后没有出现不良变化。这些发现表明,Advanced ActivePure技术不会对小鼠的整体健康产生负面影响,包括生化指标和呼吸组织病理学。
本文章由计算机程序翻译,如有差异,请以英文原文为准。
求助全文
约1分钟内获得全文 求助全文
来源期刊
Indoor air
Indoor air 环境科学-工程:环境
CiteScore
10.80
自引率
10.30%
发文量
175
审稿时长
3 months
期刊介绍: The quality of the environment within buildings is a topic of major importance for public health. Indoor Air provides a location for reporting original research results in the broad area defined by the indoor environment of non-industrial buildings. An international journal with multidisciplinary content, Indoor Air publishes papers reflecting the broad categories of interest in this field: health effects; thermal comfort; monitoring and modelling; source characterization; ventilation and other environmental control techniques. The research results present the basic information to allow designers, building owners, and operators to provide a healthy and comfortable environment for building occupants, as well as giving medical practitioners information on how to deal with illnesses related to the indoor environment.
×
引用
GB/T 7714-2015
复制
MLA
复制
APA
复制
导出至
BibTeX EndNote RefMan NoteFirst NoteExpress
×
提示
您的信息不完整,为了账户安全,请先补充。
现在去补充
×
提示
您因"违规操作"
具体请查看互助需知
我知道了
×
提示
确定
请完成安全验证×
copy
已复制链接
快去分享给好友吧!
我知道了
右上角分享
点击右上角分享
0
联系我们:info@booksci.cn Book学术提供免费学术资源搜索服务,方便国内外学者检索中英文文献。致力于提供最便捷和优质的服务体验。 Copyright © 2023 布克学术 All rights reserved.
京ICP备2023020795号-1
ghs 京公网安备 11010802042870号
Book学术文献互助
Book学术文献互助群
群 号:604180095
Book学术官方微信