Clinical and Radiographic Features of Mandibular Third Molar Gemination: A Case Report and Literature Review.

IF 0.9 Q4 DENTISTRY, ORAL SURGERY & MEDICINE
Case Reports in Dentistry Pub Date : 2025-05-20 eCollection Date: 2025-01-01 DOI:10.1155/crid/8934034
Matteo Pellegrini, Giorgia Creminelli, Pierluigi Guerrieri, Andrea Scribante, Danilo Fraticelli, Luca Creminelli
{"title":"Clinical and Radiographic Features of Mandibular Third Molar Gemination: A Case Report and Literature Review.","authors":"Matteo Pellegrini, Giorgia Creminelli, Pierluigi Guerrieri, Andrea Scribante, Danilo Fraticelli, Luca Creminelli","doi":"10.1155/crid/8934034","DOIUrl":null,"url":null,"abstract":"<p><p><b>Introduction:</b> Gemination and fusion are rare developmental anomalies that can present significant diagnostic challenges. Due to the complexity of distinguishing between these conditions, the term \"double tooth\" is commonly employed in clinical practice. The precise etiology of these anomalies remains uncertain, and their occurrence in permanent dentition-particularly involving molars-is exceptionally rare. This report describes an uncommon case of gemination affecting the mandibular left third molar (tooth 3.8) and provides a comprehensive discussion contextualized within existing literature. The case report was prepared following the CARE guidelines to ensure methodological rigor and completeness. <b>Methods:</b> After an intraoral examination and radiographic assessment-including orthopantomography, periapical radiographs, and cone beam computed tomography (CBCT)-the patient underwent surgical extraction. The procedure involved administering a truncal nerve block to anesthetize the inferior alveolar and lingual nerves, supplemented by local infiltration anesthesia of the buccal nerve. A full-thickness mucoperiosteal flap was elevated, followed by ostectomy and odontotomy to facilitate extraction. The tooth was subsequently removed using a combination of elevators and forceps. <b>Results:</b> Postoperative evaluations conducted at 1.5 and 3 months confirmed complete healing of the surgical site. A detailed analysis of pre- and postoperative radiographic and clinical findings validated the diagnosis of gemination, characterized by coronal continuity with a single root and root canal. <b>Conclusions:</b> Gemination of third molars is exceedingly rare, with only a few cases documented in the literature. To the best of our knowledge, this is the first reported instance of gemination involving the mandibular left third molar (tooth 3.8). This report contributes to the growing body of knowledge on developmental dental anomalies and highlights the importance of thorough differential diagnosis in similar clinical scenarios.</p>","PeriodicalId":46841,"journal":{"name":"Case Reports in Dentistry","volume":"2025 ","pages":"8934034"},"PeriodicalIF":0.9000,"publicationDate":"2025-05-20","publicationTypes":"Journal Article","fieldsOfStudy":null,"isOpenAccess":false,"openAccessPdf":"https://www.ncbi.nlm.nih.gov/pmc/articles/PMC12116212/pdf/","citationCount":"0","resultStr":null,"platform":"Semanticscholar","paperid":null,"PeriodicalName":"Case Reports in Dentistry","FirstCategoryId":"1085","ListUrlMain":"https://doi.org/10.1155/crid/8934034","RegionNum":0,"RegionCategory":null,"ArticlePicture":[],"TitleCN":null,"AbstractTextCN":null,"PMCID":null,"EPubDate":"2025/1/1 0:00:00","PubModel":"eCollection","JCR":"Q4","JCRName":"DENTISTRY, ORAL SURGERY & MEDICINE","Score":null,"Total":0}
引用次数: 0

Abstract

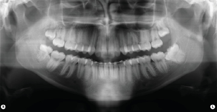
Introduction: Gemination and fusion are rare developmental anomalies that can present significant diagnostic challenges. Due to the complexity of distinguishing between these conditions, the term "double tooth" is commonly employed in clinical practice. The precise etiology of these anomalies remains uncertain, and their occurrence in permanent dentition-particularly involving molars-is exceptionally rare. This report describes an uncommon case of gemination affecting the mandibular left third molar (tooth 3.8) and provides a comprehensive discussion contextualized within existing literature. The case report was prepared following the CARE guidelines to ensure methodological rigor and completeness. Methods: After an intraoral examination and radiographic assessment-including orthopantomography, periapical radiographs, and cone beam computed tomography (CBCT)-the patient underwent surgical extraction. The procedure involved administering a truncal nerve block to anesthetize the inferior alveolar and lingual nerves, supplemented by local infiltration anesthesia of the buccal nerve. A full-thickness mucoperiosteal flap was elevated, followed by ostectomy and odontotomy to facilitate extraction. The tooth was subsequently removed using a combination of elevators and forceps. Results: Postoperative evaluations conducted at 1.5 and 3 months confirmed complete healing of the surgical site. A detailed analysis of pre- and postoperative radiographic and clinical findings validated the diagnosis of gemination, characterized by coronal continuity with a single root and root canal. Conclusions: Gemination of third molars is exceedingly rare, with only a few cases documented in the literature. To the best of our knowledge, this is the first reported instance of gemination involving the mandibular left third molar (tooth 3.8). This report contributes to the growing body of knowledge on developmental dental anomalies and highlights the importance of thorough differential diagnosis in similar clinical scenarios.

Abstract Image

Abstract Image

Abstract Image

下颌第三磨牙的临床及影像学特征:1例报告及文献复习。
生殖和融合是罕见的发育异常,可以提出重大的诊断挑战。由于区分这些情况的复杂性,“双牙”一词通常在临床实践中使用。这些异常的确切病因尚不清楚,在恒牙(尤其是磨牙)中发生的情况极为罕见。本报告描述了一个不常见的影响下颌左第三磨牙(牙3.8)的双颌畸形病例,并在现有文献中提供了一个全面的讨论。病例报告是按照CARE指南编写的,以确保方法的严谨性和完整性。方法:经口腔内检查和放射学评估(包括正位断层扫描、根尖周x线摄影和锥形束计算机断层扫描(CBCT))后,患者接受手术拔牙。手术过程包括用截骨神经阻滞麻醉下牙槽神经和舌神经,辅以局部浸润麻醉颊神经。将全层粘骨膜瓣抬高,然后行骨切除和齿切开术以方便拔牙。随后使用升降机和镊子将牙齿取出。结果:术后1.5个月和3个月的评估证实手术部位完全愈合。术前、术后放射学和临床表现的详细分析证实了双根症的诊断,其特征是冠状连续性的单根和根管。结论:第三磨牙长出极为罕见,文献记载的病例很少。据我们所知,这是第一例涉及下颌左第三磨牙(牙3.8)的结扎病例。本报告有助于对发育性牙齿异常的知识不断增长,并强调了在类似临床情况下彻底鉴别诊断的重要性。
本文章由计算机程序翻译,如有差异,请以英文原文为准。
求助全文
约1分钟内获得全文 求助全文
来源期刊
Case Reports in Dentistry
Case Reports in Dentistry DENTISTRY, ORAL SURGERY & MEDICINE-
CiteScore
1.40
自引率
12.50%
发文量
107
审稿时长
14 weeks
期刊介绍: Case Reports in Dentistry is a peer-reviewed, Open Access journal that publishes case reports and case series in all areas of dentistry, including periodontal diseases, dental implants, oral pathology, as well as oral and maxillofacial surgery.
×
引用
GB/T 7714-2015
复制
MLA
复制
APA
复制
导出至
BibTeX EndNote RefMan NoteFirst NoteExpress
×
提示
您的信息不完整,为了账户安全,请先补充。
现在去补充
×
提示
您因"违规操作"
具体请查看互助需知
我知道了
×
提示
确定
请完成安全验证×
copy
已复制链接
快去分享给好友吧!
我知道了
右上角分享
点击右上角分享
0
联系我们:info@booksci.cn Book学术提供免费学术资源搜索服务,方便国内外学者检索中英文文献。致力于提供最便捷和优质的服务体验。 Copyright © 2023 布克学术 All rights reserved.
京ICP备2023020795号-1
ghs 京公网安备 11010802042870号
Book学术文献互助
Book学术文献互助群
群 号:604180095
Book学术官方微信