New surgery technique for refractory macular hole guided by intraoperative OCT: free internal limiting membrane flap and autologous blood clot.

IF 2.4 Q2 OPHTHALMOLOGY
Thais Marino de Azeredo Bastos, Laís Lauria Neves, Letícia Pinheiro de Freitas, David Leonardo Cruvinel Isaac, Antônio Marcelo Barbante Casella, Marcos Pereira Ávila
{"title":"New surgery technique for refractory macular hole guided by intraoperative OCT: free internal limiting membrane flap and autologous blood clot.","authors":"Thais Marino de Azeredo Bastos, Laís Lauria Neves, Letícia Pinheiro de Freitas, David Leonardo Cruvinel Isaac, Antônio Marcelo Barbante Casella, Marcos Pereira Ávila","doi":"10.1186/s40942-025-00681-6","DOIUrl":null,"url":null,"abstract":"<p><strong>Background: </strong>Present a new surgical technique which involves using pars plana vitrectomy (PPV) combined with a free internal limiting membrane (ILM) flap anchored by an intraoperatively obtained blood clot, assisted by intraoperative optical coherence tomography (i-OCT).</p><p><strong>Methods: </strong>This is a prospective interventional non-comparative study with three cases of recurrent or refractory macular hole treated with a new surgical technique using autologous blood clot obtained from the retinal vessels.</p><p><strong>Results: </strong>This study included 3 eyes of 3 patients. All patients were previously treated with a PPV and internal limiting membrane peeling. One week post-operatively, all operated eyes showed closure of the macular hole. No complications secondary to the surgical technique occurred.</p><p><strong>Conclusion: </strong>This is a small case series that obtained anatomical success in the macular hole closure with a reproducible technique involving the use of i-OCT to position a free ILM flap, anchored by a blood clot obtained from per operatory retinal bleeding. Further controlled research needs to be done to prove the efficacy.</p>","PeriodicalId":14289,"journal":{"name":"International Journal of Retina and Vitreous","volume":"11 1","pages":"60"},"PeriodicalIF":2.4000,"publicationDate":"2025-05-27","publicationTypes":"Journal Article","fieldsOfStudy":null,"isOpenAccess":false,"openAccessPdf":"https://www.ncbi.nlm.nih.gov/pmc/articles/PMC12107886/pdf/","citationCount":"0","resultStr":null,"platform":"Semanticscholar","paperid":null,"PeriodicalName":"International Journal of Retina and Vitreous","FirstCategoryId":"1085","ListUrlMain":"https://doi.org/10.1186/s40942-025-00681-6","RegionNum":0,"RegionCategory":null,"ArticlePicture":[],"TitleCN":null,"AbstractTextCN":null,"PMCID":null,"EPubDate":"","PubModel":"","JCR":"Q2","JCRName":"OPHTHALMOLOGY","Score":null,"Total":0}
引用次数: 0

Abstract

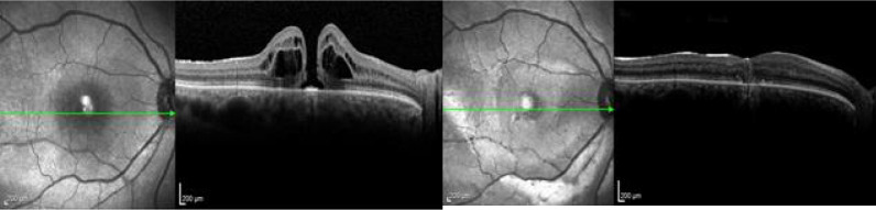
Background: Present a new surgical technique which involves using pars plana vitrectomy (PPV) combined with a free internal limiting membrane (ILM) flap anchored by an intraoperatively obtained blood clot, assisted by intraoperative optical coherence tomography (i-OCT).

Methods: This is a prospective interventional non-comparative study with three cases of recurrent or refractory macular hole treated with a new surgical technique using autologous blood clot obtained from the retinal vessels.

Results: This study included 3 eyes of 3 patients. All patients were previously treated with a PPV and internal limiting membrane peeling. One week post-operatively, all operated eyes showed closure of the macular hole. No complications secondary to the surgical technique occurred.

Conclusion: This is a small case series that obtained anatomical success in the macular hole closure with a reproducible technique involving the use of i-OCT to position a free ILM flap, anchored by a blood clot obtained from per operatory retinal bleeding. Further controlled research needs to be done to prove the efficacy.

Abstract Image

Abstract Image

Abstract Image

术中OCT引导下治疗难治性黄斑裂孔的新技术:游离内限制膜瓣+自体血凝块。
背景:在术中光学相干断层扫描(i-OCT)的辅助下,提出了一种新的手术技术,包括使用玻璃体平坦部切除术(PPV)结合术中获得的血凝块锚定的游离内限制膜(ILM)皮瓣。方法:对3例复发性或难治性黄斑裂孔采用一种新的手术技术,利用从视网膜血管中获取的自体血凝块治疗黄斑裂孔进行前瞻性介入非比较研究。结果:本研究纳入3例患者3只眼。所有患者先前均接受过PPV和内限制膜剥离治疗。术后1周,所有手术眼黄斑孔闭合。无手术技术并发症发生。结论:这是一个小的病例系列,在黄斑孔闭合中获得了解剖学上的成功,使用了一种可重复的技术,包括使用i-OCT定位游离的ILM瓣,由术中视网膜出血产生的血凝块固定。需要进一步的对照研究来证明其有效性。
本文章由计算机程序翻译,如有差异,请以英文原文为准。
求助全文
约1分钟内获得全文 求助全文
来源期刊
CiteScore
3.50
自引率
4.30%
发文量
81
审稿时长
19 weeks
期刊介绍: International Journal of Retina and Vitreous focuses on the ophthalmic subspecialty of vitreoretinal disorders. The journal presents original articles on new approaches to diagnosis, outcomes of clinical trials, innovations in pharmacological therapy and surgical techniques, as well as basic science advances that impact clinical practice. Topical areas include, but are not limited to: -Imaging of the retina, choroid and vitreous -Innovations in optical coherence tomography (OCT) -Small-gauge vitrectomy, retinal detachment, chromovitrectomy -Electroretinography (ERG), microperimetry, other functional tests -Intraocular tumors -Retinal pharmacotherapy & drug delivery -Diabetic retinopathy & other vascular diseases -Age-related macular degeneration (AMD) & other macular entities
×
引用
GB/T 7714-2015
复制
MLA
复制
APA
复制
导出至
BibTeX EndNote RefMan NoteFirst NoteExpress
×
提示
您的信息不完整,为了账户安全,请先补充。
现在去补充
×
提示
您因"违规操作"
具体请查看互助需知
我知道了
×
提示
确定
请完成安全验证×
copy
已复制链接
快去分享给好友吧!
我知道了
右上角分享
点击右上角分享
0
联系我们:info@booksci.cn Book学术提供免费学术资源搜索服务,方便国内外学者检索中英文文献。致力于提供最便捷和优质的服务体验。 Copyright © 2023 布克学术 All rights reserved.
京ICP备2023020795号-1
ghs 京公网安备 11010802042870号
Book学术文献互助
Book学术文献互助群
群 号:604180095
Book学术官方微信