Follicular Lymphoma of the Gallbladder in an Octogenarian: A Case Report and Literature Review.

IF 0.8 Q3 MEDICINE, GENERAL & INTERNAL
Mikayla Myers, Bassel Dakkak, Swapna Sirigireddy, Ibrahim Shanti, Drew Ferguson, Abdelwahap Elghezewi, Mustafa Ben Khayal, Zakaria Alagha, Ahmed Sherif, Eva-Pattont Tackett
{"title":"Follicular Lymphoma of the Gallbladder in an Octogenarian: A Case Report and Literature Review.","authors":"Mikayla Myers, Bassel Dakkak, Swapna Sirigireddy, Ibrahim Shanti, Drew Ferguson, Abdelwahap Elghezewi, Mustafa Ben Khayal, Zakaria Alagha, Ahmed Sherif, Eva-Pattont Tackett","doi":"10.1177/23247096251342035","DOIUrl":null,"url":null,"abstract":"<p><p>Primary follicular lymphoma (PFL) is an indolent subtype of non-Hodgkin lymphoma that typically involves lymphoid tissues. Gallbladder involvement is exceedingly rare and poses significant diagnostic challenges. Few cases in the literature describe gallbladder follicular lymphoma, particularly in elderly male patients, leaving notable gaps in clinical understanding and management. Herein, we present the case of an 82-year-old male who presented with acute abdominal pain and unintentional weight loss. Initial imaging, including contrast-enhanced computed tomography, ultrasound, and magnetic resonance imaging, revealed a suspicious gallbladder mass with wall thickening and regional lymphadenopathy, raising concern for malignancy. Endoscopic ultrasound-guided fine needle aspiration and subsequent immunophenotyping confirmed a diagnosis of PFL. The patient underwent radical cholecystectomy with lymphadenectomy, and histopathological examination corroborated the diagnosis of gallbladder follicular lymphoma. During follow-up, the patient developed complications, yet no evidence of lymphoma recurrence was observed. A literature review identified 8 similar cases, further emphasizing the rarity of this presentation. Future research should focus on optimizing diagnostic techniques, refining therapeutic strategies, and conducting longer-term follow-up studies to better assess patient outcomes in such a rare disease. This case highlights the need for heightened clinical suspicion and comprehensive evaluation in atypical presentations of extranodal lymphoma.</p>","PeriodicalId":16198,"journal":{"name":"Journal of investigative medicine high impact case reports","volume":"13 ","pages":"23247096251342035"},"PeriodicalIF":0.8000,"publicationDate":"2025-01-01","publicationTypes":"Journal Article","fieldsOfStudy":null,"isOpenAccess":false,"openAccessPdf":"https://www.ncbi.nlm.nih.gov/pmc/articles/PMC12117230/pdf/","citationCount":"0","resultStr":null,"platform":"Semanticscholar","paperid":null,"PeriodicalName":"Journal of investigative medicine high impact case reports","FirstCategoryId":"1085","ListUrlMain":"https://doi.org/10.1177/23247096251342035","RegionNum":0,"RegionCategory":null,"ArticlePicture":[],"TitleCN":null,"AbstractTextCN":null,"PMCID":null,"EPubDate":"2025/5/27 0:00:00","PubModel":"Epub","JCR":"Q3","JCRName":"MEDICINE, GENERAL & INTERNAL","Score":null,"Total":0}
引用次数: 0

Abstract

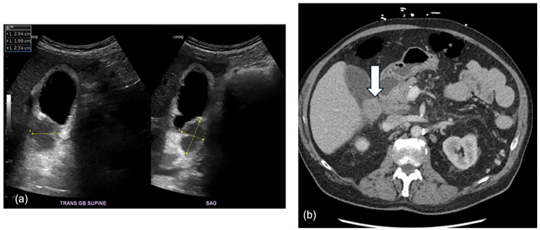
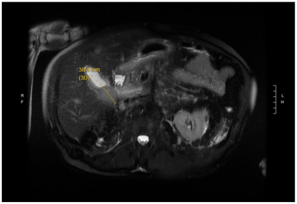
Primary follicular lymphoma (PFL) is an indolent subtype of non-Hodgkin lymphoma that typically involves lymphoid tissues. Gallbladder involvement is exceedingly rare and poses significant diagnostic challenges. Few cases in the literature describe gallbladder follicular lymphoma, particularly in elderly male patients, leaving notable gaps in clinical understanding and management. Herein, we present the case of an 82-year-old male who presented with acute abdominal pain and unintentional weight loss. Initial imaging, including contrast-enhanced computed tomography, ultrasound, and magnetic resonance imaging, revealed a suspicious gallbladder mass with wall thickening and regional lymphadenopathy, raising concern for malignancy. Endoscopic ultrasound-guided fine needle aspiration and subsequent immunophenotyping confirmed a diagnosis of PFL. The patient underwent radical cholecystectomy with lymphadenectomy, and histopathological examination corroborated the diagnosis of gallbladder follicular lymphoma. During follow-up, the patient developed complications, yet no evidence of lymphoma recurrence was observed. A literature review identified 8 similar cases, further emphasizing the rarity of this presentation. Future research should focus on optimizing diagnostic techniques, refining therapeutic strategies, and conducting longer-term follow-up studies to better assess patient outcomes in such a rare disease. This case highlights the need for heightened clinical suspicion and comprehensive evaluation in atypical presentations of extranodal lymphoma.

Abstract Image

Abstract Image

Abstract Image

八旬老人胆囊滤泡性淋巴瘤一例报告及文献复习。
原发性滤泡性淋巴瘤(PFL)是非霍奇金淋巴瘤的一种惰性亚型,通常累及淋巴组织。胆囊受累是非常罕见的,并提出了重大的诊断挑战。文献中很少有病例描述胆囊滤泡性淋巴瘤,特别是老年男性患者,在临床认识和管理上存在明显差距。在这里,我们提出的情况下,82岁的男性谁提出了急性腹痛和无意的体重下降。初步影像学包括增强计算机断层扫描、超声和磁共振成像,显示可疑胆囊肿块伴壁增厚和局部淋巴结病变,提高对恶性肿瘤的关注。内镜超声引导下的细针穿刺和随后的免疫分型证实了PFL的诊断。患者行根治性胆囊切除术合并淋巴结切除术,病理组织学检查证实胆囊滤泡性淋巴瘤。随访期间,患者出现并发症,但未见淋巴瘤复发的迹象。文献回顾确定了8个类似的病例,进一步强调了这种表现的罕见性。未来的研究应侧重于优化诊断技术,完善治疗策略,并进行长期随访研究,以更好地评估这种罕见疾病的患者预后。本病例强调了在结外淋巴瘤的非典型表现中需要加强临床怀疑和全面评估。
本文章由计算机程序翻译,如有差异,请以英文原文为准。
求助全文
约1分钟内获得全文 求助全文
来源期刊
CiteScore
1.90
自引率
0.00%
发文量
165
审稿时长
12 weeks
期刊介绍: The AFMR is committed to enhancing the training and career development of our members and to furthering its mission to facilitate the conduct of research to improve medical care. Case reports represent an important avenue for trainees (interns, residents, and fellows) and early-stage faculty to demonstrate productive, scholarly activity.
×
引用
GB/T 7714-2015
复制
MLA
复制
APA
复制
导出至
BibTeX EndNote RefMan NoteFirst NoteExpress
×
提示
您的信息不完整,为了账户安全,请先补充。
现在去补充
×
提示
您因"违规操作"
具体请查看互助需知
我知道了
×
提示
确定
请完成安全验证×
copy
已复制链接
快去分享给好友吧!
我知道了
右上角分享
点击右上角分享
0
联系我们:info@booksci.cn Book学术提供免费学术资源搜索服务,方便国内外学者检索中英文文献。致力于提供最便捷和优质的服务体验。 Copyright © 2023 布克学术 All rights reserved.
京ICP备2023020795号-1
ghs 京公网安备 11010802042870号
Book学术文献互助
Book学术文献互助群
群 号:604180095
Book学术官方微信