Real-world use of a hydrophilic curcumin-based oral formulation in the management of macular oedema: a collection of clinical experiences.

IF 2.8 Q2 Pharmacology, Toxicology and Pharmaceutics
Drugs in Context Pub Date : 2025-05-22 eCollection Date: 2025-01-01 DOI:10.7573/dic.2025-3-3
Davide Allegrini, Giuseppe Covello, Alessandra Mancini, Antonino Mancini, Maura Mancini, Mary Romano, Aldo Vecchiarelli, Mario R Romano
{"title":"Real-world use of a hydrophilic curcumin-based oral formulation in the management of macular oedema: a collection of clinical experiences.","authors":"Davide Allegrini, Giuseppe Covello, Alessandra Mancini, Antonino Mancini, Maura Mancini, Mary Romano, Aldo Vecchiarelli, Mario R Romano","doi":"10.7573/dic.2025-3-3","DOIUrl":null,"url":null,"abstract":"<p><p>This is a collection of clinical experiences exploring the real-world effectiveness of a hydrophilic curcumin-based oral formulation (CHC, Diabec<sup>®</sup>) in the management of macular oedema across diverse retinal conditions, including diabetic macular oedema, central serous chorioretinopathy, branch retinal vein occlusion and Irvine-Gass syndrome. Eight cases reported significant improvements in best-corrected visual acuity and central macular thickness, with complete resolution of oedema in some instances. CHC was well tolerated, with no adverse effects reported. These findings suggest that CHC is a safe and effective adjunct or standalone therapy for chronic or refractory macular oedema, enhancing anatomical and functional outcomes in real-world settings.</p>","PeriodicalId":11362,"journal":{"name":"Drugs in Context","volume":"14 ","pages":""},"PeriodicalIF":2.8000,"publicationDate":"2025-05-22","publicationTypes":"Journal Article","fieldsOfStudy":null,"isOpenAccess":false,"openAccessPdf":"https://www.ncbi.nlm.nih.gov/pmc/articles/PMC12108699/pdf/","citationCount":"0","resultStr":null,"platform":"Semanticscholar","paperid":null,"PeriodicalName":"Drugs in Context","FirstCategoryId":"1085","ListUrlMain":"https://doi.org/10.7573/dic.2025-3-3","RegionNum":0,"RegionCategory":null,"ArticlePicture":[],"TitleCN":null,"AbstractTextCN":null,"PMCID":null,"EPubDate":"2025/1/1 0:00:00","PubModel":"eCollection","JCR":"Q2","JCRName":"Pharmacology, Toxicology and Pharmaceutics","Score":null,"Total":0}
引用次数: 0

Abstract

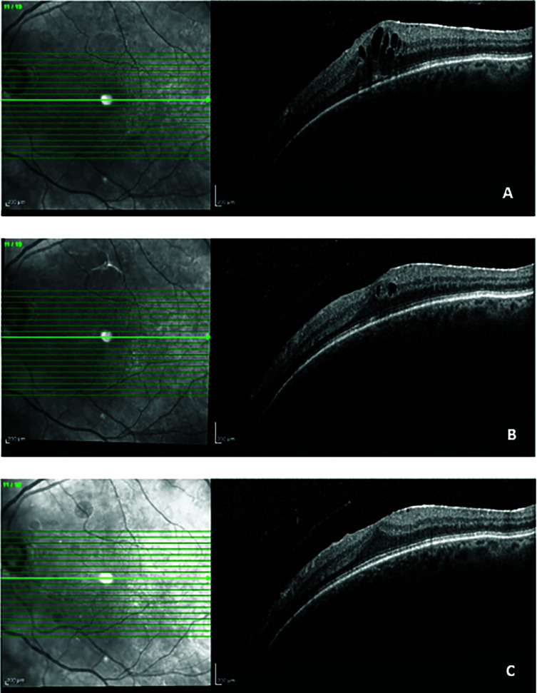
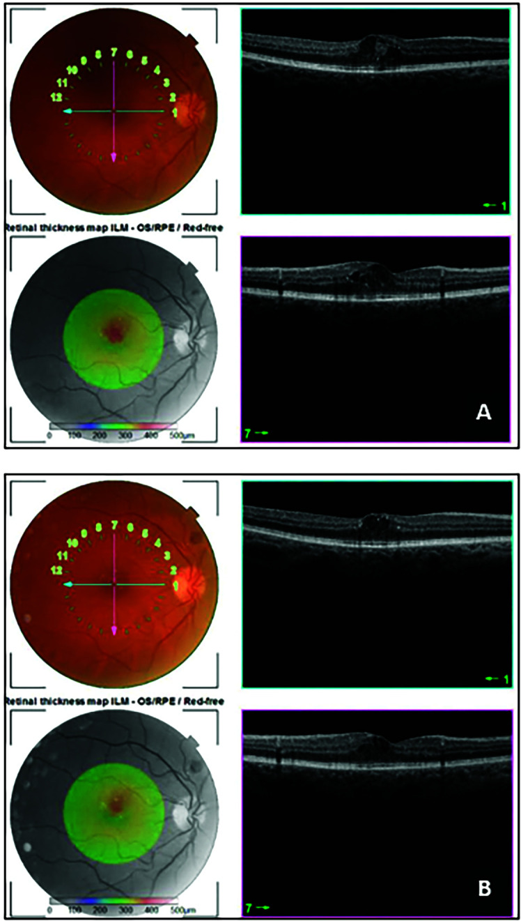
This is a collection of clinical experiences exploring the real-world effectiveness of a hydrophilic curcumin-based oral formulation (CHC, Diabec®) in the management of macular oedema across diverse retinal conditions, including diabetic macular oedema, central serous chorioretinopathy, branch retinal vein occlusion and Irvine-Gass syndrome. Eight cases reported significant improvements in best-corrected visual acuity and central macular thickness, with complete resolution of oedema in some instances. CHC was well tolerated, with no adverse effects reported. These findings suggest that CHC is a safe and effective adjunct or standalone therapy for chronic or refractory macular oedema, enhancing anatomical and functional outcomes in real-world settings.

Abstract Image

Abstract Image

Abstract Image

实际使用的亲水性姜黄素为基础的口服制剂在黄斑水肿的管理:临床经验的集合。
这是一项临床经验的集合,探索基于亲水姜黄素的口服制剂(CHC, Diabec®)在各种视网膜疾病(包括糖尿病性黄斑水肿、中央浆液性脉络膜视网膜病变、视网膜分支静脉闭塞和Irvine-Gass综合征)治疗黄斑水肿的实际有效性。8例患者的最佳矫正视力和中央黄斑厚度均有显著改善,部分患者水肿完全消失。CHC耐受性良好,无不良反应报道。这些研究结果表明,CHC是一种安全有效的慢性或难治性黄斑水肿辅助或独立治疗方法,可改善现实环境中的解剖和功能结果。
本文章由计算机程序翻译,如有差异,请以英文原文为准。
求助全文
约1分钟内获得全文 求助全文
来源期刊
Drugs in Context
Drugs in Context Medicine-Medicine (all)
CiteScore
5.90
自引率
0.00%
发文量
63
审稿时长
9 weeks
期刊介绍: Covers all phases of original research: laboratory, animal and human/clinical studies, health economics and outcomes research, and postmarketing studies. Original research that shows positive or negative results are welcomed. Invited review articles may cover single-drug reviews, drug class reviews, latest advances in drug therapy, therapeutic-area reviews, place-in-therapy reviews, new pathways and classes of drugs. In addition, systematic reviews and meta-analyses are welcomed and may be published as original research if performed per accepted guidelines. Editorials of key topics and issues in drugs and therapeutics are welcomed. The Editor-in-Chief will also consider manuscripts of interest in areas such as technologies that support diagnosis, assessment and treatment. EQUATOR Network reporting guidelines should be followed for each article type. GPP3 Guidelines should be followed for any industry-sponsored manuscripts. Other Editorial sections may include Editorial, Case Report, Conference Report, Letter-to-the-Editor, Educational Section.
×
引用
GB/T 7714-2015
复制
MLA
复制
APA
复制
导出至
BibTeX EndNote RefMan NoteFirst NoteExpress
×
提示
您的信息不完整,为了账户安全,请先补充。
现在去补充
×
提示
您因"违规操作"
具体请查看互助需知
我知道了
×
提示
确定
请完成安全验证×
copy
已复制链接
快去分享给好友吧!
我知道了
右上角分享
点击右上角分享
0
联系我们:info@booksci.cn Book学术提供免费学术资源搜索服务,方便国内外学者检索中英文文献。致力于提供最便捷和优质的服务体验。 Copyright © 2023 布克学术 All rights reserved.
京ICP备2023020795号-1
ghs 京公网安备 11010802042870号
Book学术文献互助
Book学术文献互助群
群 号:604180095
Book学术官方微信