Reversal of Chorea Hyperglycemia Basal Ganglia Syndrome With Glycemic Control: A Case Report.

IF 0.6 Q3 MEDICINE, GENERAL & INTERNAL
Clinical Medicine Insights. Case Reports Pub Date : 2025-05-26 eCollection Date: 2025-01-01 DOI:10.1177/11795476251345877
Sumanth Gundraju, Jaideep Menda, Tarun Kumar Suvvari, Anupama Kumudavalli Pindi, Prudhvi Kumar Davala, Tejinder Singh, Vimal Thomas
{"title":"Reversal of Chorea Hyperglycemia Basal Ganglia Syndrome With Glycemic Control: A Case Report.","authors":"Sumanth Gundraju, Jaideep Menda, Tarun Kumar Suvvari, Anupama Kumudavalli Pindi, Prudhvi Kumar Davala, Tejinder Singh, Vimal Thomas","doi":"10.1177/11795476251345877","DOIUrl":null,"url":null,"abstract":"<p><p>Chorea Hyperglycemia Basal Ganglia Syndrome (CHBG) is an uncommon neurological complication arising in diabetic patients with severe, non-ketotic hyperglycemia. This case report describes a 50-year-old woman presenting with new-onset, choreiform movements in her extremities. Initial workup revealed uncontrolled diabetes (plasma glucose 410 mg/dl, HbA1c 11.2%) with negative serum ketones. Brain MRI findings supported the diagnosis, demonstrating characteristic T1 hyperintensity in the right basal ganglia. Implementation of gradual glycemic control over 48 hours led to significant improvement of her symptoms. This case emphasizes the importance of considering CHBG in the differential diagnosis of movement disorders in patients with uncontrolled diabetes. Early recognition and prompt glycemic management can lead to complete resolution of symptoms, highlighting the crucial role of maintaining proper blood sugar control in diabetic patients.</p>","PeriodicalId":10357,"journal":{"name":"Clinical Medicine Insights. Case Reports","volume":"18 ","pages":"11795476251345877"},"PeriodicalIF":0.6000,"publicationDate":"2025-05-26","publicationTypes":"Journal Article","fieldsOfStudy":null,"isOpenAccess":false,"openAccessPdf":"https://www.ncbi.nlm.nih.gov/pmc/articles/PMC12107003/pdf/","citationCount":"0","resultStr":null,"platform":"Semanticscholar","paperid":null,"PeriodicalName":"Clinical Medicine Insights. Case Reports","FirstCategoryId":"1085","ListUrlMain":"https://doi.org/10.1177/11795476251345877","RegionNum":0,"RegionCategory":null,"ArticlePicture":[],"TitleCN":null,"AbstractTextCN":null,"PMCID":null,"EPubDate":"2025/1/1 0:00:00","PubModel":"eCollection","JCR":"Q3","JCRName":"MEDICINE, GENERAL & INTERNAL","Score":null,"Total":0}
引用次数: 0

Abstract

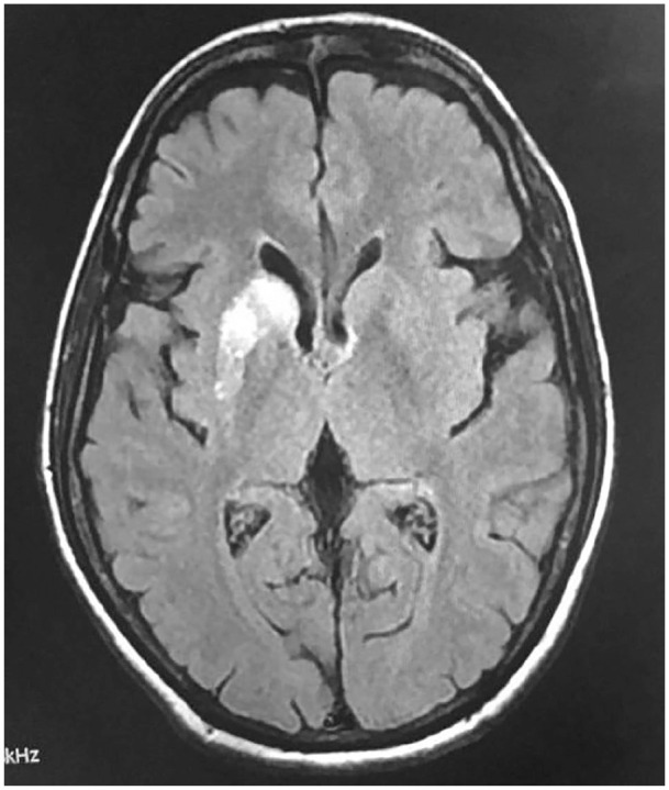
Chorea Hyperglycemia Basal Ganglia Syndrome (CHBG) is an uncommon neurological complication arising in diabetic patients with severe, non-ketotic hyperglycemia. This case report describes a 50-year-old woman presenting with new-onset, choreiform movements in her extremities. Initial workup revealed uncontrolled diabetes (plasma glucose 410 mg/dl, HbA1c 11.2%) with negative serum ketones. Brain MRI findings supported the diagnosis, demonstrating characteristic T1 hyperintensity in the right basal ganglia. Implementation of gradual glycemic control over 48 hours led to significant improvement of her symptoms. This case emphasizes the importance of considering CHBG in the differential diagnosis of movement disorders in patients with uncontrolled diabetes. Early recognition and prompt glycemic management can lead to complete resolution of symptoms, highlighting the crucial role of maintaining proper blood sugar control in diabetic patients.

Abstract Image

Abstract Image

血糖控制逆转舞蹈病高血糖基底神经节综合征1例报告。
高血糖舞蹈病基底神经节综合征(CHBG)是一种罕见的神经系统并发症,出现在糖尿病患者严重的,非酮症高血糖。本病例报告描述了一名50岁的女性,她的四肢出现了新发的舞蹈动作。初步检查显示糖尿病未控制(血糖410 mg/dl,糖化血红蛋白11.2%),血清酮阴性。脑部MRI结果支持诊断,显示右侧基底节特征性T1高强度。在48小时内实施渐进式血糖控制使她的症状显著改善。本病例强调了在未控制的糖尿病患者的运动障碍鉴别诊断中考虑CHBG的重要性。早期识别和及时的血糖管理可以导致症状的完全解决,强调了维持适当的血糖控制在糖尿病患者中的关键作用。
本文章由计算机程序翻译,如有差异,请以英文原文为准。
求助全文
约1分钟内获得全文 求助全文
来源期刊
Clinical Medicine Insights. Case Reports
Clinical Medicine Insights. Case Reports MEDICINE, GENERAL & INTERNAL-
CiteScore
1.10
自引率
0.00%
发文量
57
审稿时长
8 weeks
×
引用
GB/T 7714-2015
复制
MLA
复制
APA
复制
导出至
BibTeX EndNote RefMan NoteFirst NoteExpress
×
提示
您的信息不完整,为了账户安全,请先补充。
现在去补充
×
提示
您因"违规操作"
具体请查看互助需知
我知道了
×
提示
确定
请完成安全验证×
copy
已复制链接
快去分享给好友吧!
我知道了
右上角分享
点击右上角分享
0
联系我们:info@booksci.cn Book学术提供免费学术资源搜索服务,方便国内外学者检索中英文文献。致力于提供最便捷和优质的服务体验。 Copyright © 2023 布克学术 All rights reserved.
京ICP备2023020795号-1
ghs 京公网安备 11010802042870号
Book学术文献互助
Book学术文献互助群
群 号:604180095
Book学术官方微信