A Rare Case Report of Pancreatic Hydatid Cyst From Syria: A Diagnostic and Therapeutic Challenge.

IF 0.6 Q3 MEDICINE, GENERAL & INTERNAL
Clinical Medicine Insights. Case Reports Pub Date : 2025-05-26 eCollection Date: 2025-01-01 DOI:10.1177/11795476251342378
Sliman Marina, Sham Zoukar, Mais Basel Alreem Mohaisen, Miriam Laflouf, Mahmoud Alhamadeh Alswij, Ali Al Wynse, Alhamza Khalaf Alali, Mouhammed Sleiay
{"title":"A Rare Case Report of Pancreatic Hydatid Cyst From Syria: A Diagnostic and Therapeutic Challenge.","authors":"Sliman Marina, Sham Zoukar, Mais Basel Alreem Mohaisen, Miriam Laflouf, Mahmoud Alhamadeh Alswij, Ali Al Wynse, Alhamza Khalaf Alali, Mouhammed Sleiay","doi":"10.1177/11795476251342378","DOIUrl":null,"url":null,"abstract":"<p><strong>Introduction and significance: </strong>Hydatid disease, primarily caused by the parasite <i>Echinococcus granulosus</i>, commonly affects the liver and lungs. However, it can also involve other organs, including the pancreas. Pancreatic hydatid cysts are rare, constituting less than 2% of all hydatid cases. Their infrequent occurrence and atypical presentation often pose diagnostic and therapeutic challenges, especially in non-endemic regions.</p><p><strong>Case presentation: </strong>A 42-year-old man with a cystic lesion in his pancreatic tail who had no notable medical history was seen. The diagnosis of a pancreatic hydatid cyst was validated by serological testing and diagnostic imaging techniques.</p><p><strong>Clinical discussion: </strong>Due to their uncommon nature, the differential diagnosis of pancreatic hydatid cysts can be challenging. Imaging modalities such as computed tomography (CT), magnetic resonance imaging (MRI), and ultrasound are important for identifying characteristic features. Serological testing further aids in confirming the diagnosis. Treatment typically involves a combination of medical and surgical approaches. Antiparasitic drugs, such as albendazole or mebendazole, are administered to kill the parasite. Surgical intervention is necessary to remove the cyst and reduce the chance of recurrence and complications.</p><p><strong>Conclusion: </strong>This instance highlights the significance it is to take hydatid disease into consideration when making a differential diagnosis for pancreatic cystic lesions, particularly in people from endemic regions. For the optimal possible patient outcomes and avoiding of complications, early diagnosis and effective treatment are important.</p>","PeriodicalId":10357,"journal":{"name":"Clinical Medicine Insights. Case Reports","volume":"18 ","pages":"11795476251342378"},"PeriodicalIF":0.6000,"publicationDate":"2025-05-26","publicationTypes":"Journal Article","fieldsOfStudy":null,"isOpenAccess":false,"openAccessPdf":"https://www.ncbi.nlm.nih.gov/pmc/articles/PMC12107011/pdf/","citationCount":"0","resultStr":null,"platform":"Semanticscholar","paperid":null,"PeriodicalName":"Clinical Medicine Insights. Case Reports","FirstCategoryId":"1085","ListUrlMain":"https://doi.org/10.1177/11795476251342378","RegionNum":0,"RegionCategory":null,"ArticlePicture":[],"TitleCN":null,"AbstractTextCN":null,"PMCID":null,"EPubDate":"2025/1/1 0:00:00","PubModel":"eCollection","JCR":"Q3","JCRName":"MEDICINE, GENERAL & INTERNAL","Score":null,"Total":0}
引用次数: 0

Abstract

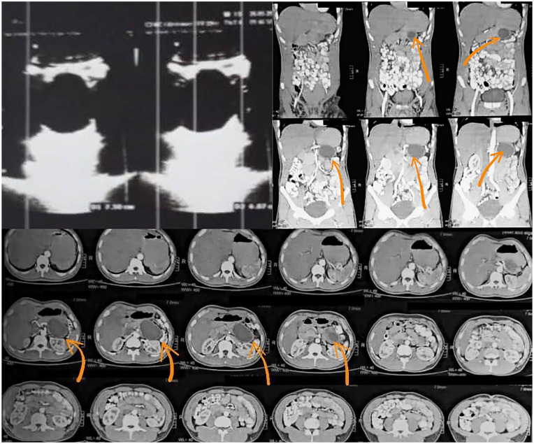
Introduction and significance: Hydatid disease, primarily caused by the parasite Echinococcus granulosus, commonly affects the liver and lungs. However, it can also involve other organs, including the pancreas. Pancreatic hydatid cysts are rare, constituting less than 2% of all hydatid cases. Their infrequent occurrence and atypical presentation often pose diagnostic and therapeutic challenges, especially in non-endemic regions.

Case presentation: A 42-year-old man with a cystic lesion in his pancreatic tail who had no notable medical history was seen. The diagnosis of a pancreatic hydatid cyst was validated by serological testing and diagnostic imaging techniques.

Clinical discussion: Due to their uncommon nature, the differential diagnosis of pancreatic hydatid cysts can be challenging. Imaging modalities such as computed tomography (CT), magnetic resonance imaging (MRI), and ultrasound are important for identifying characteristic features. Serological testing further aids in confirming the diagnosis. Treatment typically involves a combination of medical and surgical approaches. Antiparasitic drugs, such as albendazole or mebendazole, are administered to kill the parasite. Surgical intervention is necessary to remove the cyst and reduce the chance of recurrence and complications.

Conclusion: This instance highlights the significance it is to take hydatid disease into consideration when making a differential diagnosis for pancreatic cystic lesions, particularly in people from endemic regions. For the optimal possible patient outcomes and avoiding of complications, early diagnosis and effective treatment are important.

Abstract Image

Abstract Image

Abstract Image

叙利亚胰腺包虫病罕见病例报告:诊断和治疗的挑战。
简介及意义:包虫病主要由颗粒棘球绦虫引起,通常影响肝脏和肺部。然而,它也可能涉及其他器官,包括胰腺。胰腺包虫囊肿是罕见的,占所有包虫病例的不到2%。其罕见的发生和非典型的表现往往构成诊断和治疗的挑战,特别是在非流行地区。病例介绍:42岁男性,胰腺尾部囊性病变,无明显病史。胰腺包虫囊肿的诊断是通过血清学测试和诊断成像技术验证。临床讨论:由于其罕见的性质,胰腺包虫病的鉴别诊断是具有挑战性的。成像方式,如计算机断层扫描(CT)、磁共振成像(MRI)和超声对识别特征很重要。血清学检测进一步有助于确诊。治疗通常包括内科和外科相结合的方法。抗寄生虫药物,如阿苯达唑或甲苯达唑,被用来杀死寄生虫。手术干预是必要的,以去除囊肿,减少复发和并发症的机会。结论:本病例突出了在对胰腺囊性病变进行鉴别诊断时考虑包虫病的重要性,特别是在流行地区的人群中。早期诊断和有效治疗对患者预后和避免并发症至关重要。
本文章由计算机程序翻译,如有差异,请以英文原文为准。
求助全文
约1分钟内获得全文 求助全文
来源期刊
Clinical Medicine Insights. Case Reports
Clinical Medicine Insights. Case Reports MEDICINE, GENERAL & INTERNAL-
CiteScore
1.10
自引率
0.00%
发文量
57
审稿时长
8 weeks
×
引用
GB/T 7714-2015
复制
MLA
复制
APA
复制
导出至
BibTeX EndNote RefMan NoteFirst NoteExpress
×
提示
您的信息不完整,为了账户安全,请先补充。
现在去补充
×
提示
您因"违规操作"
具体请查看互助需知
我知道了
×
提示
确定
请完成安全验证×
copy
已复制链接
快去分享给好友吧!
我知道了
右上角分享
点击右上角分享
0
联系我们:info@booksci.cn Book学术提供免费学术资源搜索服务,方便国内外学者检索中英文文献。致力于提供最便捷和优质的服务体验。 Copyright © 2023 布克学术 All rights reserved.
京ICP备2023020795号-1
ghs 京公网安备 11010802042870号
Book学术文献互助
Book学术文献互助群
群 号:604180095
Book学术官方微信