Mesenchymal stem cells reduce the genotoxic effect of lead acetate in the testis of male rats and induce testicular cellular proliferation indicated by 16S rRNA sequence, increase the proliferation marker Ki-67 and a reduction in the apoptosis marker caspase-3.

IF 4.6 2区 生物学 Q1 BIOLOGY
Mohamed Allam, Yahia A Amin, Samer S Fouad, Rana A Ali, Mariam A Fawy, Maha Abd-El Baki Ahmed, Rana Toghan, Lobna A Ali
{"title":"Mesenchymal stem cells reduce the genotoxic effect of lead acetate in the testis of male rats and induce testicular cellular proliferation indicated by 16S rRNA sequence, increase the proliferation marker Ki-67 and a reduction in the apoptosis marker caspase-3.","authors":"Mohamed Allam, Yahia A Amin, Samer S Fouad, Rana A Ali, Mariam A Fawy, Maha Abd-El Baki Ahmed, Rana Toghan, Lobna A Ali","doi":"10.1186/s40659-025-00614-5","DOIUrl":null,"url":null,"abstract":"<p><strong>Background: </strong>Lead is a ubiquitous environmental and industrial pollutant with worldwide health problems. Lead acetate toxicity induces both genotoxic effects and apoptosis. The present study aimed to investigate the usage of mesenchymal stem cells (MSCs) in the treatment of the genotoxic effect of lead acetate (LA) in the testis and its effect on the expression of the apoptosis marker caspase-3 and the proliferation marker Ki-67 in the injured testicular tissue.</p><p><strong>Methods: </strong>Twenty-one adult male rats were used in this investigation (7 rats/group). Group I received saline and served as the control group (ctrl group); Group II received lead acetate (100 mg/kg) and was called the LA group; Group III received both lead acetate (100 mg/kg) and MSCs (1 × 10<sup>6</sup> cells/rat) and was called the LA-MSCs group. Body and testis weight, plus semen analysis, were performed in all groups. Reproductive hormones, serotonin, and cortisol were determined in sera. Additionally, oxidative/antioxidative status and lead acetate-induced genetic variations were investigated. Immunohistochemical staining for the proliferation marker Ki-67 and the apoptosis marker caspase-3 was also performed.</p><p><strong>Results: </strong>revealed that the weight of the body and testis and semen parameters (sperm count, viability, and motility) of the LA group exhibited significant reduction compared to the Ctrl and the LA-MSCs group. In addition, the LA group showed reproductive hormonal imbalance and an increase in oxidative stress biomarkers compared to the LA-MSCs group that showed a significant improvement in these parameters. Compared to the ctrl group, the LA group showed a highly genetic distance value (0.0031), while the LA-MSCs group showed a low genetic distance value (0.0019). This illustrated that the LA-MSCs group exhibited reduced genetic variation induced by LA compared to the LA group. Histological evaluation indicated the presence of severe diffuse degeneration and necrosis in the spermatocytes in the LA group compared to the control one, while co-treatment by MSCs induced significant reduction in these degenerative changes. Immunohistochemical investigation revealed increased expression of the caspase-3 antibody in the testicular tissue of the LA group, while it is significantly decreased in the LA- MSCs group. In contrast, the KI67 antibody revealed a significant decrease in its expression in the LA group, while it was significantly increased in the LA-MSCs group after treatment by MSCs.</p><p><strong>Conclusions: </strong>It can be concluded that the MSCs are a potential therapeutic for the treatment of testicular dysfunction induced by LA through the reduction of oxidative stress, genotoxic effect, and apoptosis marker caspase-3, and an increase in the proliferation marker Ki-67 in the testicular tissue associated with restoration of hormonal imbalance.</p>","PeriodicalId":9084,"journal":{"name":"Biological Research","volume":"58 1","pages":"29"},"PeriodicalIF":4.6000,"publicationDate":"2025-05-27","publicationTypes":"Journal Article","fieldsOfStudy":null,"isOpenAccess":false,"openAccessPdf":"https://www.ncbi.nlm.nih.gov/pmc/articles/PMC12117784/pdf/","citationCount":"0","resultStr":null,"platform":"Semanticscholar","paperid":null,"PeriodicalName":"Biological Research","FirstCategoryId":"99","ListUrlMain":"https://doi.org/10.1186/s40659-025-00614-5","RegionNum":2,"RegionCategory":"生物学","ArticlePicture":[],"TitleCN":null,"AbstractTextCN":null,"PMCID":null,"EPubDate":"","PubModel":"","JCR":"Q1","JCRName":"BIOLOGY","Score":null,"Total":0}
引用次数: 0

Abstract

Background: Lead is a ubiquitous environmental and industrial pollutant with worldwide health problems. Lead acetate toxicity induces both genotoxic effects and apoptosis. The present study aimed to investigate the usage of mesenchymal stem cells (MSCs) in the treatment of the genotoxic effect of lead acetate (LA) in the testis and its effect on the expression of the apoptosis marker caspase-3 and the proliferation marker Ki-67 in the injured testicular tissue.

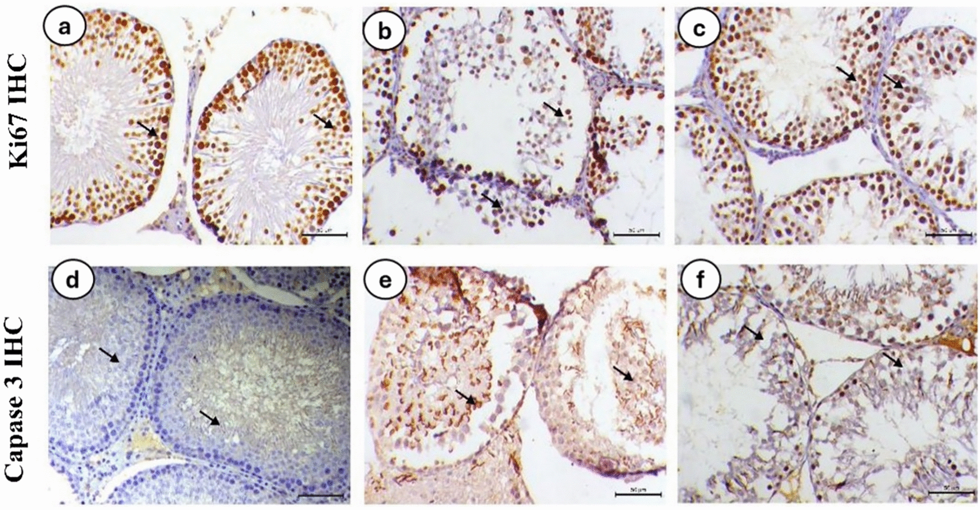
Methods: Twenty-one adult male rats were used in this investigation (7 rats/group). Group I received saline and served as the control group (ctrl group); Group II received lead acetate (100 mg/kg) and was called the LA group; Group III received both lead acetate (100 mg/kg) and MSCs (1 × 106 cells/rat) and was called the LA-MSCs group. Body and testis weight, plus semen analysis, were performed in all groups. Reproductive hormones, serotonin, and cortisol were determined in sera. Additionally, oxidative/antioxidative status and lead acetate-induced genetic variations were investigated. Immunohistochemical staining for the proliferation marker Ki-67 and the apoptosis marker caspase-3 was also performed.

Results: revealed that the weight of the body and testis and semen parameters (sperm count, viability, and motility) of the LA group exhibited significant reduction compared to the Ctrl and the LA-MSCs group. In addition, the LA group showed reproductive hormonal imbalance and an increase in oxidative stress biomarkers compared to the LA-MSCs group that showed a significant improvement in these parameters. Compared to the ctrl group, the LA group showed a highly genetic distance value (0.0031), while the LA-MSCs group showed a low genetic distance value (0.0019). This illustrated that the LA-MSCs group exhibited reduced genetic variation induced by LA compared to the LA group. Histological evaluation indicated the presence of severe diffuse degeneration and necrosis in the spermatocytes in the LA group compared to the control one, while co-treatment by MSCs induced significant reduction in these degenerative changes. Immunohistochemical investigation revealed increased expression of the caspase-3 antibody in the testicular tissue of the LA group, while it is significantly decreased in the LA- MSCs group. In contrast, the KI67 antibody revealed a significant decrease in its expression in the LA group, while it was significantly increased in the LA-MSCs group after treatment by MSCs.

Conclusions: It can be concluded that the MSCs are a potential therapeutic for the treatment of testicular dysfunction induced by LA through the reduction of oxidative stress, genotoxic effect, and apoptosis marker caspase-3, and an increase in the proliferation marker Ki-67 in the testicular tissue associated with restoration of hormonal imbalance.

Abstract Image

Abstract Image

Abstract Image

间充质干细胞可降低醋酸铅对雄性大鼠睾丸的遗传毒性作用,通过16S rRNA序列显示可诱导睾丸细胞增殖,增加增殖标志物Ki-67,降低凋亡标志物caspase-3。
背景:铅是一种普遍存在的环境污染物和工业污染物,是世界性的健康问题。醋酸铅毒性诱导细胞凋亡和基因毒性作用。本研究旨在探讨间充质干细胞(MSCs)治疗醋酸铅(LA)对睾丸损伤组织中凋亡标志物caspase-3和增殖标志物Ki-67表达的影响。方法:选用成年雄性大鼠21只(7只/组)。第一组给予生理盐水治疗,作为对照组(ctrl组);II组给予醋酸铅(100 mg/kg),称为LA组;III组同时给予醋酸铅(100 mg/kg)和MSCs (1 × 106个细胞/大鼠),称为LA-MSCs组。各组均进行体重、睾丸重及精液分析。测定血清中的生殖激素、血清素和皮质醇。此外,还研究了氧化/抗氧化状态和醋酸铅诱导的遗传变异。同时对增殖标志物Ki-67和凋亡标志物caspase-3进行免疫组化染色。结果:与对照组和LA- mscs组相比,LA组的体重、睾丸和精液参数(精子数量、活力和活动力)均显著降低。此外,与LA- mscs组相比,LA组表现出生殖激素失衡和氧化应激生物标志物的增加,LA- mscs组在这些参数上显示出显着改善。与对照组相比,LA组遗传距离值高(0.0031),LA- mscs组遗传距离值低(0.0019)。这说明LA- mscs组与LA组相比,LA诱导的遗传变异减少。组织学评估显示,与对照组相比,LA组的精母细胞存在严重的弥漫性变性和坏死,而MSCs联合治疗可显著减少这些退行性变化。免疫组化结果显示,LA组睾丸组织中caspase-3抗体的表达增加,而LA- MSCs组则明显降低。相比之下,KI67抗体在LA组中表达显著降低,而在LA-MSCs组中经MSCs处理后表达显著升高。结论:MSCs通过降低氧化应激、基因毒性效应、凋亡标志物caspase-3、增加睾丸组织中与激素失衡恢复相关的增殖标志物Ki-67,是治疗LA所致睾丸功能障碍的潜在药物。
本文章由计算机程序翻译,如有差异,请以英文原文为准。
求助全文
约1分钟内获得全文 求助全文
来源期刊
Biological Research
Biological Research 生物-生物学
CiteScore
10.10
自引率
0.00%
发文量
33
审稿时长
>12 weeks
期刊介绍: Biological Research is an open access, peer-reviewed journal that encompasses diverse fields of experimental biology, such as biochemistry, bioinformatics, biotechnology, cell biology, cancer, chemical biology, developmental biology, evolutionary biology, genetics, genomics, immunology, marine biology, microbiology, molecular biology, neuroscience, plant biology, physiology, stem cell research, structural biology and systems biology.
×
引用
GB/T 7714-2015
复制
MLA
复制
APA
复制
导出至
BibTeX EndNote RefMan NoteFirst NoteExpress
×
提示
您的信息不完整,为了账户安全,请先补充。
现在去补充
×
提示
您因"违规操作"
具体请查看互助需知
我知道了
×
提示
确定
请完成安全验证×
copy
已复制链接
快去分享给好友吧!
我知道了
右上角分享
点击右上角分享
0
联系我们:info@booksci.cn Book学术提供免费学术资源搜索服务,方便国内外学者检索中英文文献。致力于提供最便捷和优质的服务体验。 Copyright © 2023 布克学术 All rights reserved.
京ICP备2023020795号-1
ghs 京公网安备 11010802042870号
Book学术文献互助
Book学术文献互助群
群 号:604180095
Book学术官方微信