Pembrolizumab-Associated Multiorgan Sarcoid-Like Reaction: A Case Report and Review of Literature.

IF 0.7 Q3 MEDICINE, GENERAL & INTERNAL
Case Reports in Medicine Pub Date : 2025-05-20 eCollection Date: 2025-01-01 DOI:10.1155/carm/9915002
Majd Enayah, Tameem Al-Aqtash
{"title":"Pembrolizumab-Associated Multiorgan Sarcoid-Like Reaction: A Case Report and Review of Literature.","authors":"Majd Enayah, Tameem Al-Aqtash","doi":"10.1155/carm/9915002","DOIUrl":null,"url":null,"abstract":"<p><p><b>Background:</b> Immune checkpoints are molecules that serve to augment or inhibit the immune response. The treatment landscape for numerous tumors now relies significantly on immune checkpoint inhibitors (ICIs). Pembrolizumab, a subset of ICIs specifically focused on the programmed cell death 1 (PD-1) molecule. By blocking PD-1, these inhibitors enhance the ability of the immune system to fight cancer cells. Although PD-1 inhibitors are critical in cancer treatment, their use can be associated with immune-related adverse events, such as ICI-related sarcoid-like reaction. <b>Case Presentation:</b> This report describes a 49-year-old female patient with stage IIIA breast cancer breast cancer who developed ICI-related sarcoid-like reaction after starting a neoadjuvant chemoimmunotherapy regimen that included Pembrolizumab. After 4 months of ongoing treatment, she started having significant nausea and vomiting. Computed tomography (CT) scans performed during hospitalization revealed multiple pathologically enlarged thoracic lymph nodes, suspicious for disease progression. Initially, the laboratory workup and cultures were unrevealing. However, esophagogastroduodenoscopy and bronchoscopy were performed, showing noncaseating granulomas in both the stomach and thoracic lymph node biopsy samples. The patient was diagnosed with a sarcoidosis-like reaction to Pembrolizumab. Notably, her symptoms rapidly improved upon initiating systemic corticosteroids. Follow-up CT scan showed a significant improvement in lymphadenopathy after discontinuing Pembrolizumab. <b>Conclusion:</b> This case emphasizes the significance of acknowledging sarcoid-like reactions as possible adverse effects of Pembrolizumab. Given the rising utilization of PD-1 inhibitors, it becomes imperative to be mindful of such adverse events. This awareness helps avoid misdiagnosing disease progression and aids in making informed decisions about ongoing treatment with ICIs.</p>","PeriodicalId":9627,"journal":{"name":"Case Reports in Medicine","volume":"2025 ","pages":"9915002"},"PeriodicalIF":0.7000,"publicationDate":"2025-05-20","publicationTypes":"Journal Article","fieldsOfStudy":null,"isOpenAccess":false,"openAccessPdf":"https://www.ncbi.nlm.nih.gov/pmc/articles/PMC12116203/pdf/","citationCount":"0","resultStr":null,"platform":"Semanticscholar","paperid":null,"PeriodicalName":"Case Reports in Medicine","FirstCategoryId":"1085","ListUrlMain":"https://doi.org/10.1155/carm/9915002","RegionNum":0,"RegionCategory":null,"ArticlePicture":[],"TitleCN":null,"AbstractTextCN":null,"PMCID":null,"EPubDate":"2025/1/1 0:00:00","PubModel":"eCollection","JCR":"Q3","JCRName":"MEDICINE, GENERAL & INTERNAL","Score":null,"Total":0}
引用次数: 0

Abstract

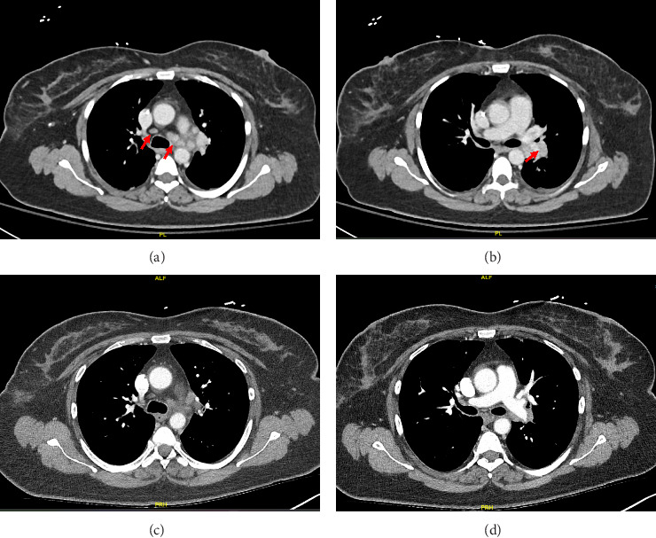
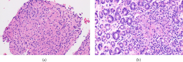
Background: Immune checkpoints are molecules that serve to augment or inhibit the immune response. The treatment landscape for numerous tumors now relies significantly on immune checkpoint inhibitors (ICIs). Pembrolizumab, a subset of ICIs specifically focused on the programmed cell death 1 (PD-1) molecule. By blocking PD-1, these inhibitors enhance the ability of the immune system to fight cancer cells. Although PD-1 inhibitors are critical in cancer treatment, their use can be associated with immune-related adverse events, such as ICI-related sarcoid-like reaction. Case Presentation: This report describes a 49-year-old female patient with stage IIIA breast cancer breast cancer who developed ICI-related sarcoid-like reaction after starting a neoadjuvant chemoimmunotherapy regimen that included Pembrolizumab. After 4 months of ongoing treatment, she started having significant nausea and vomiting. Computed tomography (CT) scans performed during hospitalization revealed multiple pathologically enlarged thoracic lymph nodes, suspicious for disease progression. Initially, the laboratory workup and cultures were unrevealing. However, esophagogastroduodenoscopy and bronchoscopy were performed, showing noncaseating granulomas in both the stomach and thoracic lymph node biopsy samples. The patient was diagnosed with a sarcoidosis-like reaction to Pembrolizumab. Notably, her symptoms rapidly improved upon initiating systemic corticosteroids. Follow-up CT scan showed a significant improvement in lymphadenopathy after discontinuing Pembrolizumab. Conclusion: This case emphasizes the significance of acknowledging sarcoid-like reactions as possible adverse effects of Pembrolizumab. Given the rising utilization of PD-1 inhibitors, it becomes imperative to be mindful of such adverse events. This awareness helps avoid misdiagnosing disease progression and aids in making informed decisions about ongoing treatment with ICIs.

Abstract Image

Abstract Image

派姆单抗相关的多器官结节样反应:1例报告及文献回顾。
背景:免疫检查点是用于增强或抑制免疫反应的分子。目前,许多肿瘤的治疗前景主要依赖于免疫检查点抑制剂(ICIs)。Pembrolizumab是ICIs的一个子集,专门针对程序性细胞死亡1 (PD-1)分子。通过阻断PD-1,这些抑制剂增强了免疫系统对抗癌细胞的能力。虽然PD-1抑制剂在癌症治疗中至关重要,但它们的使用可能与免疫相关的不良事件相关,如ici相关的肉瘤样反应。病例介绍:本报告描述了一位49岁的IIIA期乳腺癌女性患者,在开始包括派姆单抗在内的新辅助化疗免疫治疗方案后出现ici相关的肉瘤样反应。持续治疗4个月后,她开始出现明显的恶心和呕吐。住院期间进行的计算机断层扫描(CT)显示多个病理性肿大的胸部淋巴结,怀疑疾病进展。最初,实验室检查和培养结果并不能说明问题。然而,食管胃十二指肠镜和支气管镜检查显示胃和胸部淋巴结活检样本中均有非干酪化肉芽肿。患者被诊断为对派姆单抗有结节病样反应。值得注意的是,她的症状在开始使用全身皮质类固醇后迅速改善。随访CT扫描显示停药后淋巴结病变明显改善。结论:该病例强调了承认肉瘤样反应是派姆单抗可能的不良反应的重要性。鉴于PD-1抑制剂的使用率越来越高,必须注意这些不良事件。这种认识有助于避免误诊疾病进展,并有助于对正在进行的ici治疗做出明智的决定。
本文章由计算机程序翻译,如有差异,请以英文原文为准。
求助全文
约1分钟内获得全文 求助全文
来源期刊
Case Reports in Medicine
Case Reports in Medicine MEDICINE, GENERAL & INTERNAL-
CiteScore
1.70
自引率
0.00%
发文量
53
审稿时长
13 weeks
×
引用
GB/T 7714-2015
复制
MLA
复制
APA
复制
导出至
BibTeX EndNote RefMan NoteFirst NoteExpress
×
提示
您的信息不完整,为了账户安全,请先补充。
现在去补充
×
提示
您因"违规操作"
具体请查看互助需知
我知道了
×
提示
确定
请完成安全验证×
copy
已复制链接
快去分享给好友吧!
我知道了
右上角分享
点击右上角分享
0
联系我们:info@booksci.cn Book学术提供免费学术资源搜索服务,方便国内外学者检索中英文文献。致力于提供最便捷和优质的服务体验。 Copyright © 2023 布克学术 All rights reserved.
京ICP备2023020795号-1
ghs 京公网安备 11010802042870号
Book学术文献互助
Book学术文献互助群
群 号:604180095
Book学术官方微信