Chikungunya and Dengue Encephalitis: A Critical Narrative Review.

IF 1.8 4区 医学 Q3 CLINICAL NEUROLOGY
Annals of Indian Academy of Neurology Pub Date : 2025-05-01 Epub Date: 2025-05-27 DOI:10.4103/aian.aian_28_25
Rajesh Verma, Rajarshi Chakraborty, Ankit Khetan
{"title":"Chikungunya and Dengue Encephalitis: A Critical Narrative Review.","authors":"Rajesh Verma, Rajarshi Chakraborty, Ankit Khetan","doi":"10.4103/aian.aian_28_25","DOIUrl":null,"url":null,"abstract":"<p><strong>Abstract: </strong>Viral encephalitis is one of the leading presenting features of neurologic emergencies in tropical and subtropical areas. Chikungunya encephalitis (CE) and dengue encephalitis (DE) are important neurologic disorders of the central nervous system (CNS) with increased morbidity and mortality. This review discusses the pathogenesis, clinical features, diagnostic workup, and management of CE and DE, and provides insights into the vector-borne diseases with the help of literature obtained from clinical studies, reviews, and case series/reports. Chikungunya, as well as dengue viruses, are spread by the bite of Aedes aegypti and Aedes albopictus . The pathogenesis includes either direct invasion of the nervous system and/or immune-mediated CNS injury. It starts with fever, body aches/myalgia, and arthralgia (more in chikungunya) and may progress to encephalitis, if not treated properly during the initial stages. Laboratory investigations show leukopenia/thrombocytopenia, immunoglobulin M (serum and cerebrospinal fluid) positivity, and real-time polymerase chain reaction positivity. Brain imaging does not have any specific diagnostic clue. However, chikungunya has a predilection for the medulla oblongata, while dengue may affect the thalamus to show the classical double doughnut sign. Treatment is invariably medical, with adequate hydration and additional supportive care, although steroids and immunoglobulins have also been tried. CE and DE are critical vector-borne illnesses of CNS with guarded prognosis. The exact pathogenesis needs further research insights. A high index of clinical suspicion and aggressive management can lead to better outcomes. No specific therapy or immunization is available for CE or DE. However, these can be controlled by cleaning and eliminating all potential vector-breeding places.</p>","PeriodicalId":8036,"journal":{"name":"Annals of Indian Academy of Neurology","volume":" ","pages":"314-322"},"PeriodicalIF":1.8000,"publicationDate":"2025-05-01","publicationTypes":"Journal Article","fieldsOfStudy":null,"isOpenAccess":false,"openAccessPdf":"https://www.ncbi.nlm.nih.gov/pmc/articles/PMC12192396/pdf/","citationCount":"0","resultStr":null,"platform":"Semanticscholar","paperid":null,"PeriodicalName":"Annals of Indian Academy of Neurology","FirstCategoryId":"3","ListUrlMain":"https://doi.org/10.4103/aian.aian_28_25","RegionNum":4,"RegionCategory":"医学","ArticlePicture":[],"TitleCN":null,"AbstractTextCN":null,"PMCID":null,"EPubDate":"2025/5/27 0:00:00","PubModel":"Epub","JCR":"Q3","JCRName":"CLINICAL NEUROLOGY","Score":null,"Total":0}
引用次数: 0

Abstract

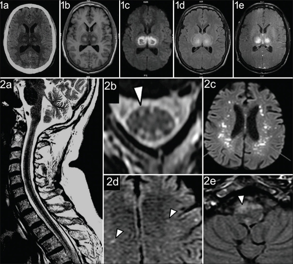
Abstract: Viral encephalitis is one of the leading presenting features of neurologic emergencies in tropical and subtropical areas. Chikungunya encephalitis (CE) and dengue encephalitis (DE) are important neurologic disorders of the central nervous system (CNS) with increased morbidity and mortality. This review discusses the pathogenesis, clinical features, diagnostic workup, and management of CE and DE, and provides insights into the vector-borne diseases with the help of literature obtained from clinical studies, reviews, and case series/reports. Chikungunya, as well as dengue viruses, are spread by the bite of Aedes aegypti and Aedes albopictus . The pathogenesis includes either direct invasion of the nervous system and/or immune-mediated CNS injury. It starts with fever, body aches/myalgia, and arthralgia (more in chikungunya) and may progress to encephalitis, if not treated properly during the initial stages. Laboratory investigations show leukopenia/thrombocytopenia, immunoglobulin M (serum and cerebrospinal fluid) positivity, and real-time polymerase chain reaction positivity. Brain imaging does not have any specific diagnostic clue. However, chikungunya has a predilection for the medulla oblongata, while dengue may affect the thalamus to show the classical double doughnut sign. Treatment is invariably medical, with adequate hydration and additional supportive care, although steroids and immunoglobulins have also been tried. CE and DE are critical vector-borne illnesses of CNS with guarded prognosis. The exact pathogenesis needs further research insights. A high index of clinical suspicion and aggressive management can lead to better outcomes. No specific therapy or immunization is available for CE or DE. However, these can be controlled by cleaning and eliminating all potential vector-breeding places.

Abstract Image

Abstract Image

Abstract Image

基孔肯雅热和登革脑炎:一个关键的叙事回顾。
摘要:病毒性脑炎是热带和亚热带地区神经系统急症的主要表现之一。基孔肯雅脑炎(CE)和登革热脑炎(DE)是重要的中枢神经系统(CNS)神经系统疾病,发病率和死亡率较高。本文综述了CE和DE的发病机制、临床特征、诊断检查和治疗,并结合临床研究、综述和病例系列/报告的文献,对媒介传播疾病进行了深入的探讨。基孔肯雅病毒以及登革热病毒通过埃及伊蚊和白纹伊蚊的叮咬传播。其发病机制包括直接侵袭神经系统和/或免疫介导的中枢神经系统损伤。它以发热、身体疼痛/肌痛和关节痛(在基孔肯雅病中更多)开始,如果在最初阶段治疗不当,可能发展为脑炎。实验室调查显示白细胞减少/血小板减少,免疫球蛋白M(血清和脑脊液)阳性,实时聚合酶链反应阳性。脑成像没有任何具体的诊断线索。然而,基孔肯雅热偏爱延髓,而登革热可能影响丘脑,显示经典的双甜甜圈征。治疗方法始终是药物治疗,给予充分的水合作用和额外的支持性护理,尽管也尝试过类固醇和免疫球蛋白。CE和DE是中枢神经系统的重要病媒传播疾病,预后谨慎。确切的发病机制有待进一步研究。高临床怀疑指数和积极的管理可以导致更好的结果。没有针对CE或DE的特异性治疗或免疫。然而,这些可以通过清洁和消除所有潜在的媒介滋生场所来控制。
本文章由计算机程序翻译,如有差异,请以英文原文为准。
求助全文
约1分钟内获得全文 求助全文
来源期刊
Annals of Indian Academy of Neurology
Annals of Indian Academy of Neurology Nervous System Diseases-
CiteScore
2.20
自引率
11.80%
发文量
293
审稿时长
29 weeks
期刊介绍: The journal has a clinical foundation and has been utilized most by clinical neurologists for improving the practice of neurology. While the focus is on neurology in India, the journal publishes manuscripts of high value from all parts of the world. Journal publishes reviews of various types, original articles, short communications, interesting images and case reports. The journal respects the scientific submission of its authors and believes in following an expeditious double-blind peer review process and endeavors to complete the review process within scheduled time frame. A significant effort from the author and the journal perhaps enables to strike an equilibrium to meet the professional expectations of the peers in the world of scientific publication. AIAN believes in safeguarding the privacy rights of human subjects. In order to comply with it, the journal instructs all authors when uploading the manuscript to also add the ethical clearance (human/animals)/ informed consent of subject in the manuscript. This applies to the study/case report that involves animal/human subjects/human specimens e.g. extracted tooth part/soft tissue for biopsy/in vitro analysis.
×
引用
GB/T 7714-2015
复制
MLA
复制
APA
复制
导出至
BibTeX EndNote RefMan NoteFirst NoteExpress
×
提示
您的信息不完整,为了账户安全,请先补充。
现在去补充
×
提示
您因"违规操作"
具体请查看互助需知
我知道了
×
提示
确定
请完成安全验证×
copy
已复制链接
快去分享给好友吧!
我知道了
右上角分享
点击右上角分享
0
联系我们:info@booksci.cn Book学术提供免费学术资源搜索服务,方便国内外学者检索中英文文献。致力于提供最便捷和优质的服务体验。 Copyright © 2023 布克学术 All rights reserved.
京ICP备2023020795号-1
ghs 京公网安备 11010802042870号
Book学术文献互助
Book学术文献互助群
群 号:604180095
Book学术官方微信